Ответить
|
Re: ложный сустав обеих костей правой голени
Алексей 16 Август 2011, 11:45
|
Удалить сломаный стержень, установить нормальной длины, "зачистить" зону ложного сустава, костная аутопластика, динамизировать и наступать на ногу через 1 месяц.
Я так думаю.
|
[
Ответить ]
|
Re: ложный сустав обеих костей правой голени
Katsevman Efim MD Guinea Ecuatorial Bata La Paz 16 Август 2011, 20:00
|
Ivan, mne kazetsia fixacia gvozdem bila ne stabilnaia, gvozd tonkii i korotkii(unreamed nail verno?) Dumau shto kanal nado rassverlit rimerom i postavit novii gvozd, tolstii i dlinii, pridetsia konechno mesto pereloma otkrit, ne zabit takze Bone Graft.
|
[
Ответить ]
|
Re: ложный сустав обеих костей правой голени
ИВАН 16 Август 2011, 23:04
|
Спасибо за сообщения! Но мне видится что концы отломков большеберцовой кости мертвые. И поэтому мне представляется сомнительным что на гвозде даже с обработкой зоны ложного сустава и костной пластикой что-нибудь срастется. Может я и не прав, но по моему без резекции концов сантиметра на 4 перелом не срастется. Но, опять же, жду советов.
|
[
Ответить ]
|
Re: ложный сустав обеих костей правой голени
Отправитель: Абдурашид 17 Август 2011, 01:18
|
Мне кажется, в первую очередь надо заниматься спицевым остеомиелитом! Надо посмотреть фото голени.
С уважением Абдурашид.
|
[
Ответить ]
|
Re: ложный сустав обеих костей правой голени
Отправитель: Максим Королев 17 Август 2011, 10:38
|
Уважаемый, Иван! Однозначно сказать что концы отломков "мертвые" трудно. Если и делать, то предварительно провести сцинтиографию с технецием и потом решать. Всегда резекцию сделать успеете. Если есть изменения (инфекция) то можно попытаться рассверлить "осиное гнездо" (костную пластику при такой картине я б не советовал-может "вспыхнуть")и исправить аппаратом( восстановить ось)+ штифт с антибактериальным покрытием. В принципе можно оставить и аппарат только за ним очень пристальное внимание. Удачи!
|
[
Ответить ]
|
|
Re: ложный сустав обеих костей правой голени
Аркадий Татуев 17 Август 2011, 04:14
|
Это гипотрофический ложный сустав. Проблем видится несколько:
1. нарушение трофики в месте перелома.
2. после фиксации в аппарате Илизарова на рентгеногнрамме имеются признаки спицевого остеомиелила. В настоящи момент хотя свищей нет с мая 2011 нет опасно ли фиксировать голень стержнем?
Про восстановление кровообращения. Микрохирургически посадить малоберцовую кость? Есть ли у кого опыт?
|
[
Ответить ]
|
Re: ложный сустав обеих костей правой голени
Alexey Semenisty 17 Август 2011, 10:51
|
Да уж! Ни один из 3-х оперативных методов предшествующего лечения не был исполнен правильно. Везде был серьезный брак. Хотя любой из методов вполне мог бы и должен был бы привести к сращению,...если бы, да кабы.. В результате имеем то, что имеем. Что делать? Во-первых - подумать. Во-вторых - еще раз подумать. В третьих - еще больше подумать.
Иван, Вам видится зона перелома мертвой, а мне вовсе нет. Есть ли возможность сделать сцинтиграфию с технецием? Это может доказать нежизнеспособность или воспаление концов. Тогда есть резон для такой "крайней" меры как резекция. Есть ли клинические признаки инфекции в области первичной раны?, п\операционных рубцов?, в местах проведения спиц (нет ли спицевого остеомиелита)?.. В общем, вопросов может быть много.
Если нет данных за инфекцию в зоне перелома мы бы аппараптом дозированно устранили деформацию и, не удаляя дистальный фрагмент сломанного гвоздя, закрыто, после рассверливания заштифтовали бы достаточно толстым и надлежащей длины гвоздем.... Если есть спицевой остеомиелит, то также сначала аппарат, затем рассверливанме и цементный спейсор с а\б согласно посевам, через 2-3 недели удалить спейсор, повторно рассверлить и заштифтовать штифтом, возможно покрытым антибиотиком. А если Вы умело владеете техникой Илизарова, и больной согласен, можете оставить аппарат как окончательный метод фиксации....
В любом случае, если нет инфекции в зоне несращения и кость жизнеспособна, упаси Вас Бог что либо открывать и добавлять свободную костную пластику. Надо попытаться все сделать закрыто. Если откроете, то через пару месяцев, а может и раньше, все закончится резекцией и значительно большей чем 4 см...
Если там инфекция, что не исключено, судя по представленным данным, то вариантов нет - резекция в пределах здоровой кости.
С уважением, А.Семенистый.
ГКБ № 13, Москва.
|
[
Ответить ]
|
Re: ложный сустав обеих костей правой голени
Отправитель: Alexander Chelnokov 17 Август 2011, 15:06
|
Боюсь, кусок гвоздя в канале будет сильно мешать, так что мы бы открыли бы над ним передне-медиальную кожно-надкостнично-костную "крышку", и убрали. То есть не скелетировать чтобы кость даже вдали от несращения.
А так - согласен с Алексеем, аппаратная репозиция (если тугоподвижность - то за несколько дней), зону несращения не открывать, рассверлить, помыть, стержень с антибактериальным цементным покрытием.
Если свищи - может, действительно спейсер на насколько недель сначала.
|
[
Ответить ]
|
Re: ложный сустав обеих костей правой голени
Отправитель: В.Машталов 18 Август 2011, 17:41
|
Приветствую всех!
Уважаемые Алексей и Александр писали:
(АС) Если нет данных за инфекцию в зоне перелома мы бы аппараптом дозированно устранили деформацию и, не удаляя дистальный фрагмент сломанного гвоздя,
(АЧ) Боюсь, кусок гвоздя в канале будет сильно мешать, так что мы бы открыли бы над ним передне-медиальную кожно-надкостнично-костную "крышку", и убрали. То есть не скелетировать чтобы кость даже вдали от несращения.
Подвинуть новый гвоздь обломок сможет, а вот блокировать может не дать. Мы и отломок гвоздя попробовали бы удалить закрыто.

В. Машталов
|
[
Ответить ]
|
Re: ложный сустав обеих костей правой голени
Отправитель: Никита Заднепровский 18 Август 2011, 17:46
|
Выглядит здорово. Полезный и нужный девайс. Обломок самозаклинивается во фрезе, надо полагать?
Спасибо за презентацию.
С уважением, Никита Заднепровский
|
[
Ответить ]
|
Re: ложный сустав обеих костей правой голени
Отправитель: Вячеслав Васюков 01 Сентябрь 2011, 12:46
|
Совершенно с Вами согласен ,Алексей! Открывать зону ложного сустава не обнажать, необходимо использовать межотломковые ткани , как источник регенерации. Внеочаговый остеосинтез !!! Для начала задавить, потом вохможна дистракция! Полная нагрузка на конечность - профилактика остеопороза
|
[
Ответить ]
|
|
Re: ложный сустав обеих костей правой голени
В.Машталов 17 Август 2011, 15:18
|
Ув. коллега!
На основании каких признаков Вы решили, что кость мертвая! Имеется гиперпластический ложный сустав, как результат недостаточно стабильной фиксации ан предыдущих этапах лечения. В данном случае необходимо решение следующих вопросов:
1 наличие инфекция в зоне ложного сустава
2. коррекция оси
3. окончательная стабильная фиксация
4. исключение предыдущих ошибок
5. оценка своих возможностей.
Открытое вмешательтво на зону ложного сустава, по нашему мнению, не только нецелесообразно, но и вредно! По тактике лечения согласен с Алексеем Семенистым, мы избрали такую- же тактику, но этот вопрос для Вас под номером 5.
Нужна помощь -чем сможем.
С уважением В Машталов БСМП 2 Ростов-на-Дону
|
[
Ответить ]
|
Re: ложный сустав обеих костей правой голени
Иван 17 Август 2011, 20:17
|
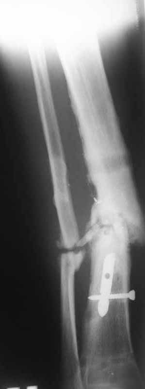
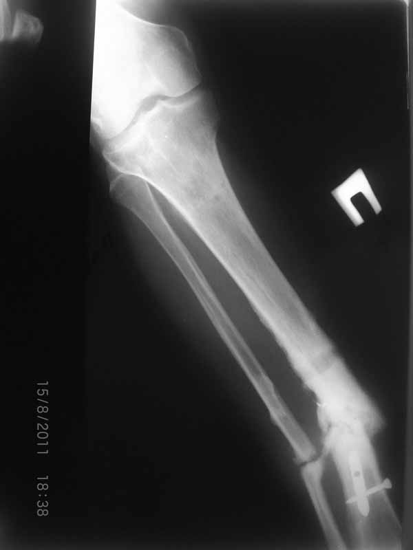
Уважаемые коллеги благодарю Вас за проявленный интерес к данной проблеме! Пересылаю Вам внешний вид правой голени.

|
[
Ответить ]
|
Re: ложный сустав обеих костей правой голени
Никита Заднепровский 17 Август 2011, 23:29
|
Как-то вот нет уже желания открываться в зоне ложного сустава. Мы бы
попытались сделать закрыто. Винт в дистальном отломке удалить через прокол.
Кусок гвоздя оставить. Новый гвоздь (солидный), возможно с покрытием.
Примерная ситуация. Пациент 37 лет. Синтезировали где-то пластинкой. Попал к нам через 2 месяца.
19 апреля убрали через проколы пластину с винтами, пересекли fibula, наложили аппарат.
Немного потянули по оси, убрали вальгус, ротацию. 22 апреля (на 3-е сутки) заштифтовали окончательно. 29 апреля выписали из отделения. На все ушло 10 дней.
С уважением, Никита Заднепровский
|
[
Ответить ]
|
Re: ложный сустав обеих костей правой голени
Аркадий Татуев 19 Август 2011, 09:05
|
Коллеги!
Место ложного сустава не выглядит гипертрофическим. Нет разрастания костной мозоли.
Закрыто все сделать не удасться. Фрагмент стержня нужно удалить, придется трепанировать кортикал и удалять фрагмент конец стежня. Свободная костная пластика - высой риск нагноения. Как вы думаете, может микрохирургически заместить дефект трансплантом из малоберцовой кости на сосудистой ножке это выход? В приложении статья о замещении костных дефектов трансплантатми на сосудистой ножке. описывают васкуляризованную костную пластику при ложных суставах.
PIIS0020138306000982.pdf
227KB (233220 bytes)
|
[
Ответить ]
|
Re: ложный сустав обеих костей правой голени
Doc_ol 19 Август 2011, 20:19
|
Если Вы думаете, что все перечисленные тактики полезны, то глубоко ошибаетесь. В данном случае все зависит от рук хирурга- может ли он помочь больному в данной патологии или нет. Однозначно , не надо итди за происками империализма ( типа интрамедулярный остеосинтез, накостный , на сосудистой ножне и т.д.)однозначно билокальное замещение с краевой резекцией патологически изменненной костью, не надо искоренять "золотые" труды ак.Илизарова. Наш опыт лечения подобной патологии более 30 лет, с очень хорошими результатами( более 95 % сращения)
|
[
Ответить ]
|
Re: ложный сустав обеих костей правой голени
Вадим 30 Август 2011, 17:10
|
пластика по Хахутову, меня ни разу не подводила!
|
[
Ответить ]
|
( Ответить )
|
|