вверх
отправить
поиск
админ
главная
|
Застарелый вывих бедра, перелом вертлужной впадины, перелом головки бедра |
 |
 |
 |
Отправлено Ostanin 06 Сентябрь 2011, 21:46
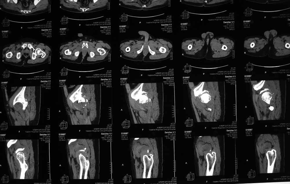
42 года, майор запаса. Травма от 20.06 - ДТП. Лечился в гражданском ЛПУ. Вывих бедра диагностирован только 4 недели спустя. "Тянулся", неоднократно - попытки закрытой репозиции. Попытка открытой репозиции - без результата. Потом опять пытались закрыто, сказали, что вправили, тянулся. После снятия ССВ - опять вывих. Поступил к нам. Сейчас - СРБ больше 10, в ОАК - воспаление. Местно - головка кзади и кверху, укорочение 7, голова подвижна. Отек, незначительная боль в в/3 бедра. Пассивно из наружной ротации выводится, активных движений в ноге нет. Рубец по наружной поверхности верхней трети бедра, без воспаления. Каким образом выполнялось открытое вправление - данных нет. Окончательно снят с вытяжения 2 недели назад.
На мой взгляд, протез + укрепляющее кольцо должны быть оптимальны. Мнения кафедр разделились - пытаться делать реконструкцию впадины, а протез потом? или сразу и все?
<
|
>
|
|
Ответить
|
Re: Застарелый вывих бера, перелом вертлужнойвпадины, перелом головки бедра
Rashid Tikhilov 07 Сентябрь 2011, 22:44
|
Уважаемый Коллега,
Структуру головки не очень хорошо видно, есть перелом нижнего отдела головки БК, сломанный задний край небольшой. Срок после травмы 4 недели, молодой возраст. Есть смысл синтезировать ВВ, а дальше посмотреть. Будут проблемы - легче будет протез ставить, ну а если лет 8-10 сустав поработает, то и это хорошо. Если вы уж решили делать протезирование, не мудрите, вполне можно обойтись стандартной вертлужной впадиной с укреплением ее винтами.
С уважением, Р.Тихилов
|
[
Ответить ]
|
Re: Застарелый вывих бера, перелом вертлужнойвпадины, перелом головки бедра
Valery Ostanin 08 Сентябрь 2011, 12:55
|
Вот еще сканы.

|
[
Ответить ]
|
Re: Застарелый вывих бера, перелом вертлужнойвпадины, перелом головки бедра
Дедок Михаил 08 Сентябрь 2011, 22:30
|
Валерий, привет.
Я бы синтезировал впадину. Хотя это наиболее сложный путь с последующим артрозом, но своим суставом в итоге, хотя, возможно, и на время. К тому же он почти бесплатен. Предложи пациенту оба варианта. Пусть решает сам.
Удачи!
|
[
Ответить ]
|
Re: Застарелый вывих бедра, перелом вертлужной впадины, перелом головки бедра
Maxim Agalakov 19 Сентябрь 2011, 21:16
|
В этой ситуации предпочел бы эндопротез, шансы на жизнеспособность головки в таком сроке вывиха исчезающе малы, попытка синтезировать задний край в этих же сроках (ретракция мышц, рубцы) скорее всего приведут к его девитализации с последующим аваскулярным некрозом. Выбор вертлужного компонента проще планировать после 3D, скорее всего можно будет обойтись стандартными предложением, возможно, с котилопластикой.
С уважением, Максим Агалаков.
|
[
Ответить ]
|
( Ответить )
|
|