ВХОД ДЛЯ ПАЦИЕНТОВ
вверх
поиск
админ
главная
исходное
|
Re: Пилон
послал Андрей Мелёшкин 14 Сентябрь 2011, 14:51
|

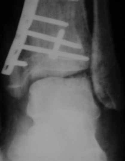
Отчет по "пилону":)))
Извиняюсь пропал - оперировал "пилон". В форуме не хотел обсуждать финансовые возможности пациента. Потянул комбинированную пластину. Опыт общение с пластиной "крест" есть - не очень понравилось - слишком много места занимает, даже с учетом обрезаний лишнего. Сделал доступ огибающий медиальную лодыжку спереди. В переднем крае оказался достаточно крупный отломок - удалось зафиксировать винтом. Дефекта кости не оказалось.
Всем большое спасибо!!!
|
Послать ответ |
Обратите внимание: Поля с жирными названиями обязательны.
Старайтесь отвечать в рамках обсуждаемой темы, а не начинать новые обсуждения.
Указывайте адекватную тему сообщения, чтобы было ясно, о чем оно.
Не послайте сообщений не по теме (оффтопик), раздраженных, грубых или обидных комментариев. Здесь это неуместно.
|