ВХОД ДЛЯ ПАЦИЕНТОВ
вверх
поиск
админ
главная
исходное
последующие
|
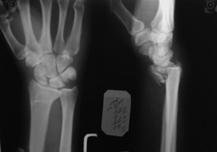
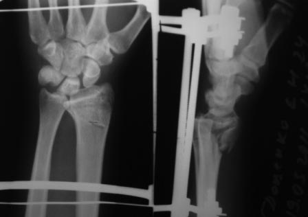
Re: перелом луча
послал Victor Melnikov 14 Октябрь 2011, 01:43
|
Извините за позднее вмешательство в Вашу полемику. Хотелось начать по порядку. На мой субъективный взгляд одномоментного сочетание методов накостного и чрескостного остеосинтеза уменьшают достоинства обоих. Достоинства накостного остеосинтеза: более ранняя социальная реабилитация больного, т.к. не требуется специального ухода (как при использовании ЧКДО). Достоинство аппарата внешней дистракции - меньшая травматичность по сравнению с накостным остеосинтезом.
Касаемо замечаний д-ра Бахтамяна из г-да Ереван: при остеосинтезе пластинами с применением ладонного доступа - ладонный доступ выполняется проекции лучевого, что полностью исключает визуализацию срединного нерва, т.к. это является ошибкой хирурга и влечет за собой невропатию.
Что касается вариантов накостного остеосинтеза: возможно два варианта - остеосинтез волярной пластиной или фрагмент-специфическая фиксация отломков по Мedoff, но в связи с тем что перелом внутрисуставной очень часто требуется артротомия, т.к. наличие даже ЭОПа не обеспечивает точного восстановления суставной поверхности лучевой кости. Второй менее травматичный способ визуализации репозиции внутрисуставных отломков, признаный рутинным в ходе заседания EWAS в рамках FESSH 2010 (конгресс европейского общества хирургов кисти), проходивший в Бухаресте, это артроскопия кистевого сустава. Думаю данный способ вряд ли доступен в данном случае.
Остается как самый уместный способ - чрескостный остеосинтез с применением аппарата внешней фиксации: т.к. он весьма бюджетный и позволяет достичь необходимой репозиции.

Если есть необходимость пишите на мыло, поделюсь опытом и нюансами наложения дистракционного аппарата.
|
Послать ответ |
Обратите внимание: Поля с жирными названиями обязательны.
Старайтесь отвечать в рамках обсуждаемой темы, а не начинать новые обсуждения.
Указывайте адекватную тему сообщения, чтобы было ясно, о чем оно.
Не послайте сообщений не по теме (оффтопик), раздраженных, грубых или обидных комментариев. Здесь это неуместно.
|