ВХОД ДЛЯ ПАЦИЕНТОВ
вверх
поиск
админ
главная
исходное
|
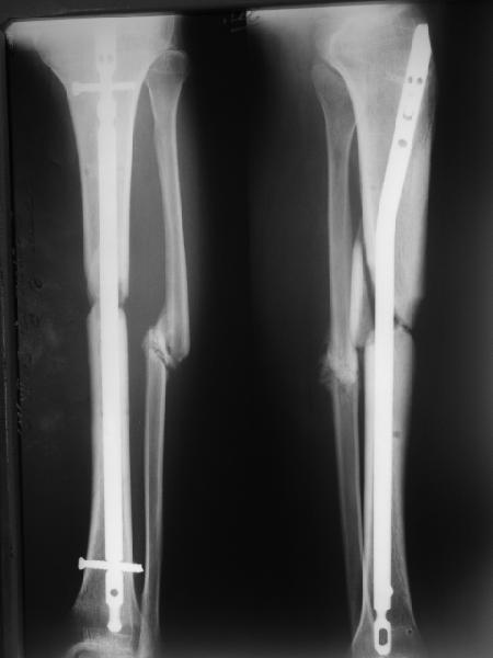
Re: Перелом большеберцовой кости с дефектом дифизарной части
послал Alexander Chelnokov 23 Октябрь 2011, 19:39
|
Внедрение одного отломка в другой приведет к укорочению. Резекция с выращиванием резко удлинит срок лечения, вероятно, потребуются еще какие-то операции после завершения дистракции... А самое главное, это избыточные действия. Ведь дефект не сегментарный, краевой контакт есть.
Вполне достаточно закрытого интрамедуллярного остеосинтеза без открытых вмешательств в зоне стыка. Конечно, с рассверливанием. Если есть опасения насчет инфекции, то на гвоздь нанести цемент с ванкомицином.
Гвоздь тут будет эндопротезом диафиза на достаточное время для образования сращения в зоне имеющегося небольшого контакта. И далее страховкой от рефрактур.

Вот пример, тоже открытый перелом, первичный дефект, пробыл в аппарате 5 мес. Титановый гвоздь, сразу динамический, без покрытия. Больше не делали ничего.
|
| Послать ответ |
Обратите внимание: Поля с жирными названиями обязательны.
Старайтесь отвечать в рамках обсуждаемой темы, а не начинать новые обсуждения.
Указывайте адекватную тему сообщения, чтобы было ясно, о чем оно.
Не послайте сообщений не по теме (оффтопик), раздраженных, грубых или обидных комментариев. Здесь это неуместно.
|