вверх
отправить
поиск
админ
главная
|
Ложный сустав б/ берцовой с инфицированием |
 |
 |
 |
Отправлено Нияз 11 Ноябрь 2011, 02:19
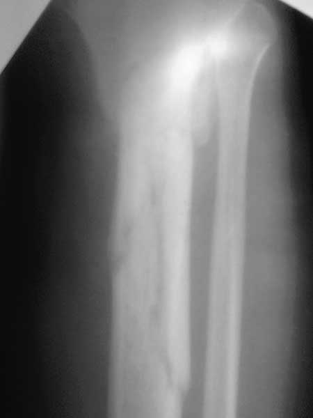
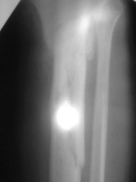
Важны мнения опытных докторов владеющих интрамедуллярным остеосинтезом. Пациент 50 лет.В анамнезе з/оскольч.перелом в/з-с/3 б/б кости. Был в АВФ 9 мес, демонтирован по его словам по поводу спицевой инфекции.также был со слов вскрыт гнойник на передней поверхности голени в зоне ложняка. на данный момент клинически: патол.подвижность в в/з голени и заживающая рана 0,2*4см по передней поверхности голени в зоне ложняка с скудно-умеренным серозным отделяемым( скорее вне зоны проведения спиц). Подвижность -умереннная. Трофических и сосудистых нарушений можно сказать нет. Сгибание в коленном суставе возможно без насилия ок. 50град. Вопрос - как делать? Нам предстваляется два пути: 1.Не дожидаясь заживления раны о/с АВФ,с открыванием ложняка: почистить его+ остеотомия малобрецовой ближе к н/3-с/3 границе. 2.перевязывать рану, после заживления подождать недельки две. Паралельно разрешить приступать на конечность. 2.1Если гной будет то см.вариант1.
2.2 Если гноя нет возможна ли установка штифта ???Т.к. 1) верхнее плечо перелома короткое 2) Риск сломать осколки при штифтовании в связи с разрушением эндостальной мозоли 3) угроза инфицирования, конечно если нагноится то опять см. вар.1. Есть конечно варианты штифта с антибиот покрытием, но это не панацея. У кого был такой опыт поделитесь пожалуйста наблюдениями( лучше с проиллюстрированными R)
<
|
>
|
|
Ответить
|
Re: Ложный сустав б/ берцовой с инфицированием
Бережной Сергей 11 Ноябрь 2011, 10:24
|
А малоберцовую зачем трогать?
Вообще то неплохо было бы вторую проекцию представить. Еще лучше фотографию ноги. И обдумайте лечение в функциональной гипсовой повязке с полной нагрузкой на ногу. Если уверены в отсутствии остеомиелита в зоне несращения. А если не уверены, то предложенные Вами варианты не подходят.
|
[
Ответить ]
|
Re: Ложный сустав б/ берцовой с инфицированием
Константин Никитин 11 Ноябрь 2011, 17:59
|
Странно, что в области губчатой кости возник ложный сустав. И почему первоначальный остеосинтез выполнен АВФ?
|
[
Ответить ]
|
Re: Ложный сустав б/ берцовой с инфицированием
Игорь Девин 12 Ноябрь 2011, 13:45
|
Уважаемый коллега!
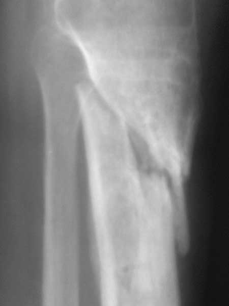
Жаль, что нет фасной проекции. Перелом на 2 уровнях, есть искривление костно-мозгового канала. Проксимальный отломок короткий. Вывод: лучше не штифтовать.
И.Девин
|
[
Ответить ]
|
Re: Ложный сустав б/ берцовой с инфицированием
Нияз 12 Ноябрь 2011, 14:42
|
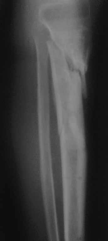
Спасибо за обсуждение.Отправил остальные R, изиняюсь за качество.

1. Есть ли у Вас наблюдения пациентов с ложными суставами голени( не тугоподвижными) пролеченных функциональными повязками и каковы их результаты ?
2.Возникновение раны склонен связывать с эпизодом спицевой инфекции нашедшей себе "уютное место" в плохо васкулизированных интерпонироанных мягких тканях между отломками. Я думаю что нет разницы где ложный сустав( в губчатой или др.) -он будет если там интерпозиция.
3.Перелом на 2 уровнях, есть искривление костно-мозгового канала. Проксимальный отломок короткий.
Отзовитесь рисковые и опытные доктора, обсуждение очень интересно.
|
[
Ответить ]
|
Re: Ложный сустав б/ берцовой с инфицированием
Отправитель: Игорь Девин 14 Ноябрь 2011, 19:32
|
На мой взгляд не стоит переходить к погружным методикам. Повторите внеочаговую фиксацию по Илизарову - дистракционно-компрессионный остеосинтез. Проведите остеотомию малоберцовой кости. В проксимальном отломке следует более тщательно, классически провести спицы: 2 на 1,5 см ниже суставной щели с перекрестом 90, дополнительно проведите 1 спицу на консольных приставках снутри кнаружи во фронтальной плоскости с упором, тотчас над верхушкой промежуточного отломка. 2 кольцо следует расположить под концом проксимального отломка, в нем в дальнейшем провести спицу с упором снаружи кнутри во фронтальной плоскости. До проведения спицы в среднем кольце следует смонтировать аппарат в виде трубы, 3 кольцо с 2 спицами расположить над лодыжками. После компоновки аппарата и натяжения спиц в крайних кольцах следует дать одномоментную дистракцию до напряжения аппарата. Затем следует провести встречно-боковую компрессию спицами на уровне проксимального перелома. Спицы используйте не менее 1,8 мм. В дальнейшем проводите дистракцию по 0,5 - 1 мм в сутки 10-14 дней с целью формирования межотломкового регенерата. Вся "интерпозиция" перестроится в остеогенную ткань. Затем верните аппарат в нейтральное положение (сбросьте дистракцию и убедитесь, что есть встречно-боковая компрессия или повторите ее. Уверен, что через 3 месяца консолидация завершится.
С уважением И.Девин.
|
[
Ответить ]
|
|
Re: Ложный сустав б/ берцовой с инфицированием
Ostanin 12 Ноябрь 2011, 23:26
|
Ни одного снимка, где было бы видно коленный сустав.. Не совсем понимаю столь яростное отрицание стержня, проксимальный отломок не так уж и короток, 3 разнонаправленных винта войти смогут. Учитывая продление на диафиз, если выбирать между здоровенной пластиной и стержнем, ИМХО целесообразнее стержень.
|
[
Ответить ]
|
Re: Ложный сустав б/ берцовой с инфицированием
Зубенко Андрей 16 Ноябрь 2011, 05:06
|
Вы знаете, несколько лет назад у меня был пациент с точно такой же проблемой. Мы этот вопрос решили с использованием аппарата Илизарова. Остеотомию малоберцосвой кости делать нужно обязательно, по поводу канала, то в этой зоне он не так уж выражен, мы обошлись фрактурированием краев раны (декортикацией) и удаления рубцовых конгломератов. Обязательна встречно-боковая компрессия и ранняя нагрузка. У нас консолидация наступила через 4 месяца
|
[
Ответить ]
|
Re: Ложный сустав б/ берцовой с инфицированием
Нияз 29 Ноябрь 2011, 01:05
|

Все таки решились на штифт с антибиотическим покрытием. Выставляю R, в целом считаю неплохо вроде получилось.
|
[
Ответить ]
|
Re: Ложный сустав б/ берцовой с инфицированием
Отправитель: Коваленко А.Н. 09 Декабрь 2011, 10:48
|
Дорогой Нияз Мавлеханович!
Опиши, если не сложно, как прошел послеоперационный период, как долго пациент температурил, было ли отделяемое из раны, проводились ли какие то мероприятия дополнительно, какие были выполнены назначения, с какими рекомендациями по нагрузке выписан пациент. И каков статус пациента на сегодняшний день. Спасибо.
С уважением, Коваленко А.Н.
|
[
Ответить ]
|
Re: Ложный сустав б/ берцовой с инфицированием
Отправитель: Нияз 16 Декабрь 2011, 01:57
|
Уважаемый Коваленко А.Н.!
После операции у пациента два дня был субфебрилитет 37,4 вечером. Т.к. операция все таки травматичная отделяемое было геморрагическое умеренное- обильное около 2-3 дней, в связи с этим НМГ назначили только на 3день в дозе 0,2*2 р/д п/к =10 дней. Хотя сейчас продвигают идею тромбопрофилактики с первых дней- побоялись кровотечения. Пти около 95-105 в динамике.
После чего п/о гематома начала уменьшаться, отек значительно спал.
Также пациент получал цефтриаксон по 1гр*2 р/д №7 и анальгетики 3-5 дней, эластическое бинтование конечностей со 3 дня постоянно ( не было бинта сразу).
Гипсовой лонгеты не ставили.через недельку разрешили ставить ногу на пятку -не опираясь на конечность.
Также через 5-7 дней удалили винт который не попал в штифт под м/а( раньше не получилось-в связи с организационными моментами.
Швы сняли ок.16 дней после операции- с первичным заживлением, отек незначительный - при выписке на голени.Сосудистых и неврологических нарушений при выписке нет.
При выписке рекомендован прием прадаксы 150 мг 1р/д до 20 дней. Нагружать конечность не разрешили до удаления дистального винта блокиратора до 6 нед. с момента операции.
Спасибо за Вашу помощь !
|
[
Ответить ]
|
|
( Ответить )
|
|