вверх
отправить
поиск
админ
главная
|
Лечение переломов трубчатых костей у пациентов с Болезнью Гоше |
 |
 |
 |
Отправлено Евгения 15 Декабрь 2011, 09:02
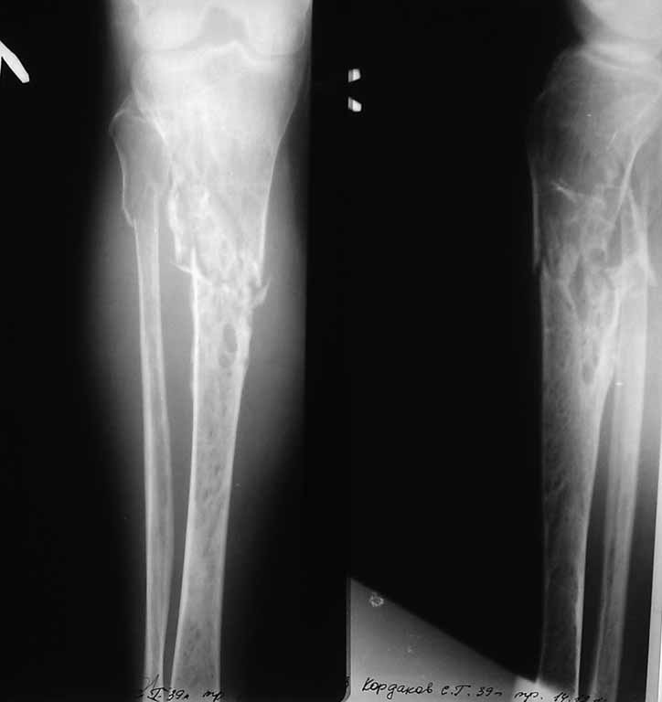
Уважаемые коллеги! Есть ли у кого опыт лечения пациентов с переломами трубчатых костей (в данном случае проксимальный метаэпифиз большеберцовой кости)при болезни Гоше? Пациент мужчина 39 лет.Диагноз:Закрытый, неосложненный, оскольчатый перелом проксимального метаэпифиза большеберцовой кости, верхней трети малоберцовой кости левой голени со смещением. Снимки прилагаются. Как вы считаете, какая тактика будет более рациональна у данного больного, учитывая его сопутствующий диагноз?
<
|
>
|
|
Ответить
|
Re: Лечение переломов трубчатых костей у пациентов с Болезнью Гоше
Евгения 15 Декабрь 2011, 13:02
|

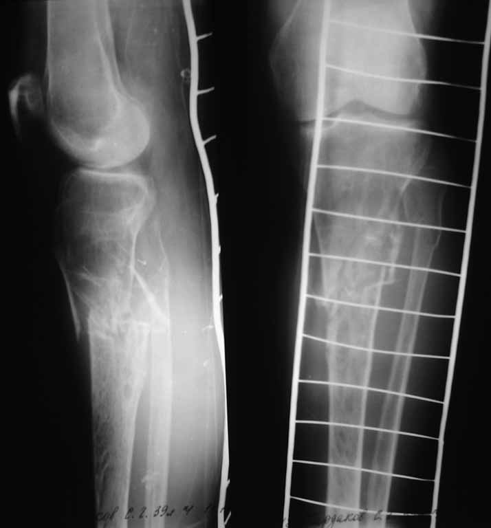
Рентгенологический контроль на скелетном вытяжении прилагается
|
[
Ответить ]
|
Re: Лечение переломов трубчатых костей у пациентов с Болезнью Гоше
Alexander Chelnokov 21 Декабрь 2011, 19:18
|
Надо, видимо, сделать остеосинтез. Мы бы сделали интрамедуллярным стержнем. Вряд ли хирургическая тактика должна быть какой-то другой из-за наличия фонового заболевания.
|
[
Ответить ]
|
Re: Лечение переломов трубчатых костей у пациентов с Болезнью Гоше
Djoldas Kuldjanov, M.D. 22 Декабрь 2011, 01:09
|
Основное проявление заболевания (Gaucher's disease) анемия в результате гепатомегалии, а также риск инфекции. Для фиксации подойдет любой из методов, особенно малоинвазивные. Во время операции применения жгута и переливание крови уменьшает риск, связанный с анемией.
Для переломов голени стандарт - интрамедуллярный гвоздь с рассверливанием, но при остутствии возможности: нет опыта или нет ЭОПа, тогда гипс. На вытяжении около 3х недель, и можно перевести в гипсовую повязку.
|
[
Ответить ]
|
( Ответить )
|
|