вверх
отправить
поиск
админ
главная
|
Периацетабулярная Остеотомия |
 |
 |
 |
Отправлено Djoldas Kuldjanov 31 Декабрь 2011, 01:05
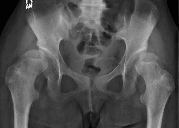
Уважаемые коллеги. Поздравляю всех участников Ортофорума с Наступающим Новым Годом! Пожелаю всем здоровья и счастье в семье. Крепкого здоровья всем!Как завершение уходящего года решил представить результат недавней операции 14 летной пациентки. Известно, что лечение артроза, особенно в молодом возрасте, имеет свои особенности и до сих пор не прекращаются поиски альтернатив Артропластике. Остеотомия таза для периориентировки в тазобедренном суставе в какой то мере помогает избежать преждевременного разрушения сустава в молодом возрасте. И из предложенных множественных остеотомий для лечения артроза более эффективной на сегодня считается периацетабулярная остеотомия.
Жалобы на двухсторонние постоянные боли при нагрузке и неустойчивость. Внутренная ротация конечности в суставе более 40 градусов и на рентгенограмме двухсторонний подвывих головки с нарушением линии Шентона, а на боковом снимке с минусовым покрытием головки. МРТ - удлиненная связка и импинджмент (бугор) в шейке.
Первым этапом сделана подготовка к ротационной межвертельной остеотомии, затем капсулотомия с удалением импинджмента и периацетабулярная остеотомия с 40 градусной экстензией и операция закончена 35 градусной наружной ротацией бедра. Запланированный варус не сделан из-за относительно нормального покрытия головки.
<
|
>
|
|
Ответить
|
Re: Периацетабулярная Остеотомия
Савранский Александр 31 Декабрь 2011, 02:48
|
Здравствуйте, Джолдас!
Ваше представление случая как всегда на высоте.
Есть ощущение будто варуса все-таки не хватает.
Может коррекция при этом была бы более законченной?
Интересно посмотреть более отдаленные результаты.
Также поздравляю с наступающим Новым годом!
|
[
Ответить ]
|
Re: Периацетабулярная Остеотомия
Леонид Сычевский 04 Январь 2012, 04:28
|
Поздравляю, выполнено хорошо. Но,хотя покрытие головки нормальное, латерализация проксимального отдела бедра сохраняется, и, варизация, возможно, была бы уместной. Операция Ганца, как мы убеждаемся (имеем скудный опыт)сама по себе не справляется с этой проблемой (по аналогии с Солтером в более младшем возрасте). И ещё... почему, Джолдас, столько "железа" на тазу? Шесть шурупов и пластина? Насколько я понял, заднюю колонну седалищной кости удалось сохранить. Обычно 3 шурупов бывает достаточно.
С уважением, Леонид
|
[
Ответить ]
|
Re: Периацетабулярная Остеотомия
Отправитель: Djoldas Kuldjanov 06 Январь 2012, 03:07
|
“Есть ощущение будто варуса все-таки не хватает”
“И ещё... почему, Джолдас, столько "железа" на тазу? Шесть шурупов и пластина? Насколько я понял, заднюю колонну седалищной кости удалось сохранить. Обычно 3 шурупов бывает достаточно”
Реконструктивные операции у детей отличаются от операций у взрослых. Если у взрослых без труда можно перемещать и фиксировать костные фрагменты, то у детей упругая надкостница препятствует свободному перемещению фрагмента в пространстве. “Память” мягких тканей, т.е. тенденция восстановить дооперационное состояние у детей выражена больше, и для адаптации к новым условиям, особенно после больших корригирующих операций, требуется время. Поэтому такие операции желательно проводить в несколько этапов, которые предохраняют от нежелательных осложнений.
В данный момент край ацетабулума освободился от прежней нагрузки головкой бедра, и отсутствие нагрузки для растущего организма благоприятно повлияет на процесс восстановления. После ПАО были случаи нормализации покрытия головки без повторной операции. Хотя вариант остеотомии не снимается, и мониторинг ко времени остановки роста (в течение пары лет) покажет, будет ли нужна варусная остеотомия.
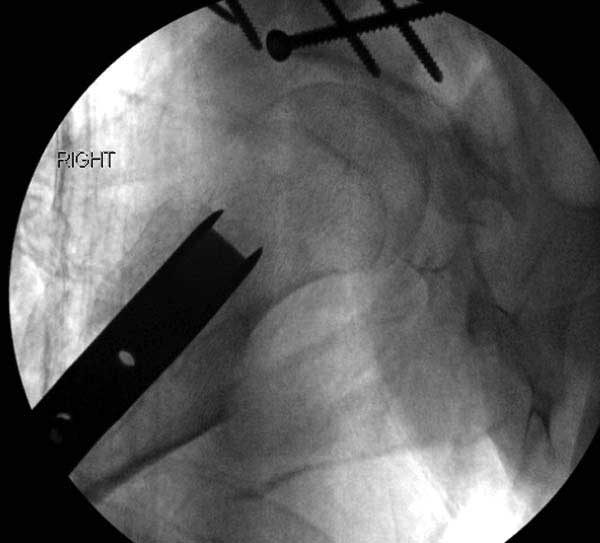
Одним из преимуществ ПАО является сохранение задней колонны, и всю фиксацию в основном делают спереди из крыла подвздошной кости. При реконструкционных операциях по поводу дисплазии редко коррекция превышает 25 градусов, и достаточной бывает фиксация тремя шурупами вертикально сверху вниз, и один между колоннами спереди кзади. Но у нашего пациента серьезные изменения, и для достижения результата надо было около 40 градусов коррекции, из-за чего в линии остеотомии создалась ступенька. Для предупреждения скольжения дополнительно установлена buttress пластина, которая зафиксирована только в одном сегменте, а другие два шурупа удерживают ASIS. Без остеотомии Anterior Superior Iliac Spine невозможен доступ внутри таза.
Меня радует, что тема сохранения сустава волнует многих коллег. И известно, что ПАО успешно применяется многими хирургами для профилактики артроза вместо Артропластики у молодых. Недавно мои партнеры показали результат успешного лечения после ПАО у больного, который за последний 20 лет выдержал уже третью по счету ревизионную артропластику на другой стороне.
Надеюсь, успешный вариант “периацетабулярной остеотомии” имеется у наших коллег, и было бы интересно посмотреть на ваш “скудный опыт”. Из-за сложности темы прошу ограничится только профессиональной репликой, а комментарии типа “я видел в клинической ординатуре, только забыл кто делал и фото не сохранились” считаю неуместными. Спасибо коллегам за комментарии.
Djoldas Kuldjanov, MD
Associate Professor
Department of Orthopedic Surgery
St. Louis University Medical Center
|
[
Ответить ]
|
|
Re: Периацетабулярная Остеотомия
Дедок Михаил 06 Январь 2012, 15:00
|
Лично я вообще не видел и не делал. Снимаю шляпу!
Классно!!
|
[
Ответить ]
|
( Ответить )
|
|