Ответить
|
остеобластокластома
Максим 17 Март 2012, 16:52
|

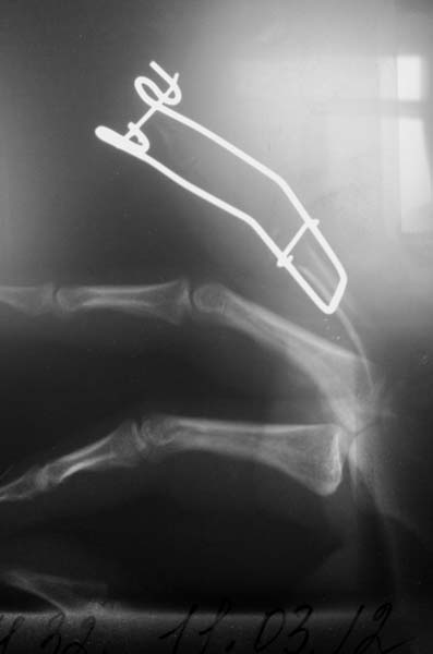
после первой операции
|
[
Ответить ]
|
Re: остеобластокластома
Максим 17 Март 2012, 16:55
|

через 6 месяцев после первой операции
|
[
Ответить ]
|
Re: остеобластокластома
Максим 17 Март 2012, 16:58
|

На данных R- граммах отсутствует практически вся средняя фаланга за исключением головки.
|
[
Ответить ]
|
Re: остеобластокластома
Максим 17 Март 2012, 17:03
|

плохое качество снимков
|
[
Ответить ]
|
Re: остеобластокластома
Мельников В.С. 17 Март 2012, 21:18
|
А какие исследования, кроме рентгенографии, Вы проводили, и выполнялось ли гистологическое исследование после второй операции? Если да то хотелось бы знать его результат.
|
[
Ответить ]
|
Re: остеобластокластома
Отправитель: Максим 18 Март 2012, 15:52
|
Так же проводили рентген обеих кистей и лучезапястных суставов, для выявления других очагов. Другие исследования не проводились.
Данных последнего гистологического исследования пока нет,но как только будут обязательно сообщу.
|
[
Ответить ]
|
|
Re: остеобластокластома
Шведовченко Игорь Владимирович 18 Март 2012, 16:37
|
Добрый день, уважаемый Максим. Если вы хотите сохранить палец любой ценой (мы отбрасываем онкологический аспект проблемы), то вариант с костной пластикой губчато-кортикальным трансплантатом , заимствованным из крыла подвздошной кости, наиболее реалистичен. Удлинение проксимальной фаланги с последующим эндопротезированием-красиво задумано, но несколько фантастично. Хотя я рьяный сторонник метода дистракции в хирургии кисти.
В качестве примера возможности костной пластики-случай неудачного эндопротезирования проксимального межфалангового сустава в одной из клиник страны. Пациентка настаивала на восстановлении длины пальца. Удален эндопротез, наложен дистракционный аппарат, далее пластика значительного по протяженности дефекта губчато-кортикальным трансплантатом. Благополучная перестройка, вид кисти. В данной ситуации речи о эндопротезировании пока не идет, поскольку на данном уровне полностью отсутствует сухожильный аппарат, проблемы с запасом мягких тканей. Имеющаяся в пястно-фаланговом суставе функция удовлетворяет пациентку, пока рассуждаем на тему установки пальца в функционального выгодное положение сгибания на уровне проксимального межфалангового сустава.
endoprotez109.jpg
65KB (66938 bytes)
|
[
Ответить ]
|
Re: остеобластокластома
Отправитель: SAGo 18 Март 2012, 19:26
|
"...с последующим эндопротезированием-красиво задумано, но несколько фантастично." - 100%!
|
[
Ответить ]
|
|
Re: остеобластокластома
Анатолий 19 Март 2012, 13:14
|
Быстрый рецидив опухоли свидетельствует о ее, как минимум,- высокой агрессивности, как максимум,- злокачественном характере. За время "наблюдения в течение нескольких месяцев" я бы проконсультировал микропрепараты у опытных в костной патологии патологоанатомов, в т.ч.- за рубежом (такая возможность сейчас есть). Результат пересмотра может в корне поменять дальнейшую тактику.
|
[
Ответить ]
|
Re: остеобластокластома
Pavel Volykov 19 Март 2012, 15:27
|
Может, проще было на повторной операции резецировать среднюю фалангу в пределах здоровых тканей. Если головка и основание при этом сохранились - сделать костную аутопластику и синтез пластиной. Если основание полностью удалили - костную аутопластику с артродезом пмфс. Это и сейчас можно сделать. Дистракция проксимальной фаланги в аппарате на такую длину - дело неблагодарное.Последующее протезирование - вполне возможно.
|
[
Ответить ]
|
Re: остеобластокластома
наталья 19 Март 2012, 19:44
|
Ждать прекращения роста опухоли не нужно. Это неправильно ждать макимального разрушения сегмента! Требуется выполнить резекцию, аутопластику с артродезом сустава в функционально выгодом положении. Косметика будет при аккуратном обращении с тканями и целостностью сос-нервных пучков (хотя бы одного). Последующее эндопротезирование сустава в данном случае - иллюзия.
|
[
Ответить ]
|
Re: остеобластокластома
Лушников Сергей Петрович 26 Март 2012, 13:46
|
Уважаемый Максим! Вероятно, сейчас сложилась такая ситуация, при которой палец сохранить не удасться. Доводы в пользу злокачественности образования считаю убедительными.
|
[
Ответить ]
|
Re: остеобластокластома
Илья Иофин 02 Апрель 2012, 10:46
|
Гигантоклеточная опухоль известна своей тенденцией к рецидиву. Для этого многие онкологи обрабатывают кость жидким азотом или фенолом после кюретажа. После простого куретажа, вероятность рецидива около 50%. При использовании жидкого азота, вероятность рецидива около 5%. Присутствие патологического перелома при операции также повышает вероятность рецидива. Гигантоклеточная опухоль довольно часто встречается в фалангах пальцев. Так что тут сомнений в диагнозе мало. По рентгенам, похоже, что кости осталось очень мало. Если осталось хоть что-то, то можно попробовать жидкий азот и реконструкцию цементом или костной пластикой. Если делать артродез, то прийдеться сращивать и проксимальный и дистальный межфаланговые суставы. Такой несгибающийся палец хуже ампутации. Ежели ничего не осталось, то делать ампутацию через проксимальный межфаланговый сустав. Опухоль не перейдёт на другие фаланги. И хоть гигантоклеточная опухоль доброкачественна, в редких случаях она пускает метастазы в лёгкие. Имеет смысл следить за лёгкими рентгенами груди.
И напоследок, сейчас проводят исследования с обещающими результатами препарата denosumab. Он даёт хорошие результаты без хирургического вмешательства. Если у вас есть доступ к нему, имеет смысл попробовать. Терять тут нечего.
|
[
Ответить ]
|
Re: остеобластокластома
Отправитель: SAGo 08 Апрель 2012, 02:06
|
"И напоследок, сейчас проводят исследования с обещающими результатами препарата denosumab. Он даёт хорошие результаты без хирургического вмешательства. Если у вас есть доступ к нему, имеет смысл попробовать. Терять тут нечего". - Извините, не понял, для чего в данном случае Вы советуете "попробовать" denosumab? Этот препарат позволит восстановить целостность и форму практически отсутствующей средней фаланги?
|
[
Ответить ]
|
|
( Ответить )
|