Ответить
|
Re: Остеомиелит таза?
Игорь Девин 21 Апрель 2012, 13:59
|
А снимки, СКТ, ЯМРТ??
|
[
Ответить ]
|
Re: Остеомиелит таза?
Алексей В 21 Апрель 2012, 18:27
|
Здравствуйте. Мало информации, подробнее локальный статус, Р-снимки, и клинико лабораторные показатели. не знаю делали или нет - результат пункции.
|
[
Ответить ]
|
Re: Остеомиелит таза?
Alexbone 22 Апрель 2012, 04:19
|

Найден снимок 4-х месячной давности,
left pubic ramus pagetoid
|
[
Ответить ]
|
Re: Остеомиелит таза?
Alexbone 22 Апрель 2012, 04:31
|

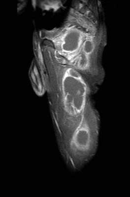
MRT - There is a ring enhancing multilobulated collection mainly
within the left adductor magnus muscle, this measures
approximately 30 cm (CC) X 5cm (AP). The collection extends
superiorly into the pelvis and involves the left obturator
internus muscle. There is abnormal marrow signal within the
posterior left acetabulum and inferior pubic ramus, within
the pubic ramus there appears to be an enhancing tract which
may represent a cloaca. No sinus tracts to the skin are
seen. No definite abnormal signal is seen within the femur.
|
[
Ответить ]
|
Re: Остеомиелит таза?
Alexbone 22 Апрель 2012, 04:36
|

Пункцию взяли - гной, роста нет, микроскопия ничего не нашла.
Какие будут соображения?
Что и откуда натекло?
Pubic rami? Анус?
Чаще бывает Iliopsoas абсцесс, насколько знаю.
|
[
Ответить ]
|
Re: Остеомиелит таза?
Alexbone 22 Апрель 2012, 04:41
|

Хорошо когда есть микробиолог - подсказка.
Аспират направили еще и на PCR (polymerase chain reaction) с подозрением на то, что и нашли - TB.
Чувствителен к рифампицину. Теперь подключаем фтизиатров? Какой есть опыт, господа?
P.S. А если нет PCR - сиди и гадай, что там?
|
[
Ответить ]
|
Re: Остеомиелит таза?
Alexbone 22 Апрель 2012, 04:47
|

Пока в планах MRT таза, спины.
Какие будут соображения? Что открывать, как далеко лезть? Просто открыть - будет течь и течь.
А вообще больной может уйдет по направлению в спецотделение туберкулезников (кстати снимок грудной клетки был чист).
|
[
Ответить ]
|
Re: Остеомиелит таза?
Отправитель: Alexander Chelnokov 23 Апрель 2012, 02:12
|
Недавно был у нас в отделении случай остеосинтеза вертлужной впадины, перелом был какой-то необычный по снимкам, на операции были казеозные массы. Потом перевели пациента в отделение внелегочного туберкулеза. Пока до сих пор туберкулез кажется везде.
|
[
Ответить ]
|
Re: Остеомиелит таза?
Отправитель: Зельский И.А. 24 Апрель 2012, 01:18
|
Наиболее вероятны очаги туб. остита в своде левой вертлужной впадины и в левой седалищной кости.
Рентгенолог УНИИТО Зельский И.А.
|
[
Ответить ]
|
|
Re: Остеомиелит таза?
Алексей В 22 Апрель 2012, 12:09
|
первое правило хирурга - где гной там вскрой. если есть полость с гнойным содержимым, риск развития септической реакции возрастает. Отток, дренирование, возмодно даже с промыванием необходимы. Не исключайте такие простые состояния как нагноение посттравматических гематом, которые протекают асептически(мы неоднократно делали посевы и результат приходил отрицательный). Возьмите на микроскопию, глазом посмотрите, покрасьте по грамму.
|
[
Ответить ]
|
Re: Остеомиелит таза?
Алексей В 22 Апрель 2012, 12:16
|
И еще, если ТВ подтвердили, созвонитесь отделением внелегочного туберкулеза местного противотуберкулезного диспансера и лечите его там, не обсеменяйте свое отделение. как можно быстрее направляйте больного.
|
[
Ответить ]
|
Re: Остеомиелит таза?
Отправитель: Alexbone 23 Апрель 2012, 01:54
|
Больной пока поликлинический. Если и обсеменяет - то окружающих, что вряд ли ( не в легких). А вот партнера может ( если anal tuberculosis)
|
[
Ответить ]
|
|
Re: Остеомиелит таза?
Aslan 23 Апрель 2012, 00:20
|
Слева седалищная кость подозрительная. Еще интересно взглянуть на рентген поясничного отдела.
|
[
Ответить ]
|
Re: Остеомиелит таза?
Alexbone 23 Апрель 2012, 01:44
|
Интересный случай внелегочного туберкулеза. Думал у коллег есть опыт кой-какой. Урок на будущее - если ничего не высеивается это не значит что там ничего нет. А про нагноение гематом - это сплошь и рядом, рутина. А в этом случае если даже направить в спецотделение - подозреваю что закормят АБ и может максимально вскроют абсцесс и залечат так, что пациент получит хронический осеомиелит где-то в тазу или спине, который будет периодически полыхать пока не сьест достаточно кости и не получит перелом. Грустный сценарий...
P.S. Не думаю, что можно санировать костный очаг ВВ АБ-ми.
|
[
Ответить ]
|
Re: Остеомиелит таза?
Alexbone 23 Апрель 2012, 05:34
|
Седалищный бугор безболезнен. А про туберкулез можно сказать, что он в неблагополучных местах пусть даже и развитых стран. Дело происходит в райончике Luton, UK, по соседству с известным аэропортом, где европейца встретишь 1 к 10, т.е. эмигрантский. Поэтому рекомендую если есть PCR или другие методы кроме посевов и микроскопии применять во всех подозрительных случаях. Не могу сказать что пациент был очень асоциального типа.
|
[
Ответить ]
|
Re: Остеомиелит таза?
Djoldas Kuldjanov, M.D. 25 Апрель 2012, 04:34
|
Алекс добро пожаловать на наш сайт. Спасибо за очень редкий и поучительный случай.
В дискусции вклиниваюсь немного поздно и у меня нет личного опыта лечения таких проблем, но раньше, в молодые годы, приходилось встречать подобные состояния. Для полного диагноза информации маловато, но предварительный диагноз уже облегчить заключение.
Просмотрел все предоставленные исследовании и первый МРТ снимок показывает, что ни псоас и не прямая кишка не вовлечены в процесс. Медиальнее от псоас слева имеется абцесс идущий сверху. На втором боковом изображении белое пятно это сердце, потому что находится выше диафрагмы. Спереди передная стенка, а пятно сзади это начало абцесса.Третий и четвертые снимки показывают уровень таза и медиально расположенный многокамеральный абцесс идущий между мышцами.
Обычный снимок позвонка давно бы снял все сомнения, а дополнительные снимки показали бы откуда идет "холодный абцесс" . А сейчась смело можно заключить: ТВС из нижних отделов торокального позвонка.
В лечении, мы обратились бы к нашим интервенционным рентгенологам, которые мини-инвазивно удалили бы не менее 3-4литров гноя, иначе когда либо пробьет где то внизу. Дальнейшее лечение надо координировать со специалистом по инфекционным заболеваниям.
|
[
Ответить ]
|
Re: Остеомиелит таза?
Alexbone 25 Апрель 2012, 22:01
|
Spasibo za kommentarij. Interesno uznat kak radiologi otka4ivajut gnoj i zahotjat li svjazyvatsa s etim :)). Opisanie CXR bylo 4istym. Bolnoj ne javilsja na MRT pelvis & spine - byl na futbole - perezakazali opjat, vot zdjom - snimki prilozu pozze. Indusy wutjat - v Indii kin kamen v tolpu i popadjow v Tuberkuljoznika.
|
[
Ответить ]
|
Re: Остеомиелит таза?
Отправитель: Djoldas Kuldjanov, M.D. 26 Апрель 2012, 00:04
|
Здесь информация в European Journal of Radiology http://www.sciencedirect.com/science/article/pii/S0720048X11002348
Contribution of computed tomography guided percutaneous drainage of tuberculous cold abscesses adjunctive to pharmaceutical anti-tubercular treatment
General Hospital of Chest Diseases of Athens, Department of Medical Imaging and Interventional Radiology, 152 Mesogeion Str, 11527 Athens, Greece
To determine the efficiency and safety of the percutaneous aspiration and drainage of rare tuberculous cold abscesses under CT guidance.
Materials and methods
We retrospectively studied 63 cases of 44 patients, treated in our hospital during the last two years. They suffered from tuberculous infection complicated with tuberculous cold abscesses variously located. All these patients underwent percutaneous aspiration and drainage under CT imaging, following the trocar puncture technique. The catheter remained in place for about a week. A follow up CT scan was performed in all cases before the catheter removal. Some of the patients were under anti tuberculosis medication.
Results All the patients had a successful recovery from the abscesses. There were no major or minor complications observed. No recurrence occurred until today.
CT guided percutaneous aspiration and drainage of tuberculous cold abscesses is a safe, minimal invasive and effective method of treatment. Drainage and specific antituberculosis therapy leads to a satisfactory conclusion.
|
[
Ответить ]
|
|
( Ответить )
|