AOTRAUMA.ORG Центр Илизарова  

Ортопедия и травматология Общие вопросы/General questions Help Информационные технологии в медицине
 вверх
 отправить
 поиск
 админ
 главная


Дробовое ранение - продолжение
Ортопедия и травматология Отправлено Иван 20 Ноябрь 2012, 21:03
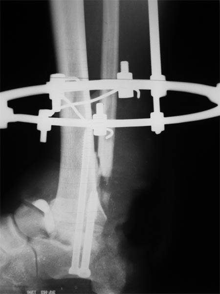
Уважаемые коллеги!Как и обещал, представляю результат лечения пациента с дробовым ранением,который обсуждался в теме http://weborto.net/forum/1350149570/index_html.
Пациенту для закрытия дефекта выполнена резекция таранной кости, пяточно-большебецовый артродез винтами. После укорочения сформировался запас тканей, достаточный для закрытия дефекта. Далее несколько дней повязка с низким давлением и свободная аутодермопластика. Пациент выписан. После окончательного заживления планируем демонтировать аппарат и перейти на циркулярную повязку. Когда по Вашему мнению следует давать нагрузку?

<  |  >

 

  • Сообщения о Ортопедия и травматология
  • Также Иван
  • Связаться с автором
  • Ответить

    Re: Дробовое ранение - продолжение
    Дедок Михаил 22 Ноябрь 2012, 21:53
    Молодцы!
    Пусть наступает сейчас. Все срастется и гипс не нужен.
    [ Ответить ]

    Re: Дробовое ранение - продолжение
    Дедок Михаил 22 Ноябрь 2012, 21:54
    Забыл добавить- дополнительно стабилизируйте стопный компонент аппарата и смело нагружайте.
    [ Ответить ]

    • Re: Дробовое ранение - продолжение
      Отправитель: Бережной Сергей 24 Ноябрь 2012, 13:17
      А на что наступать? На рентгенограмме опорная поверхность стопы не видна. Если там несросшаяся пяточная кость или ее дефект? Срок совсем маленький, ранняя нагрузка приведет к коллапсу. Может быть парциальная нагрузка? Но все равно желательно увидеть целиком дистальный конец.

      [ Ответить ]

     

    ( Ответить )

    Powered by Zope  Squishdot Powered MedLink
    Посетитель: 0301286
      "По форме правильно, а по существу - издевательство" В.И.Ленин
    ©2001-2019Orthoforum Coordinator.
    [ Главная | Отправить сообщение | Поиск | Админ ]