вверх
отправить
поиск
админ
главная
|
последствия травмы надколенника и остеосинтеза плечевой кости |
 |
 |
 |
Отправлено Иван 21 Ноябрь 2012, 16:54
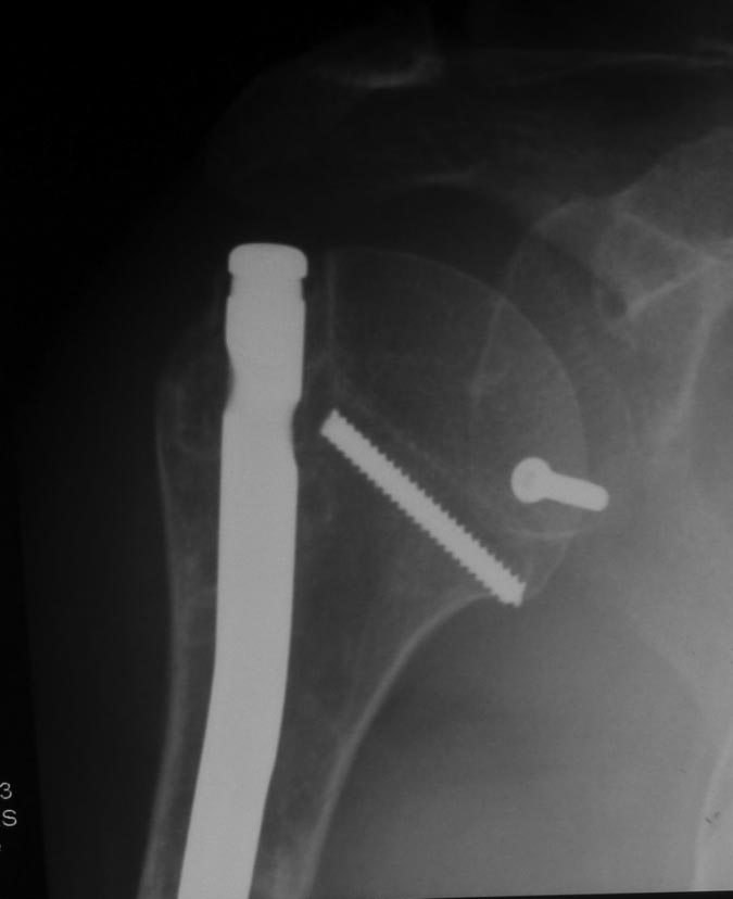
Уважаемые коллеги! Пациент получил травму около 1 года назад, выполнялся остеосинтез по поводу переломов лучевой, бедренной, плечевой костей. Обратился в связи с выраженной контрактурой в коленном суставе (сгибание 10-15 град)и практически отсуствием самостоятельного отведения плеча. Снимки представлены. Планируем выполнить реостеосинтез плеча (скорее всего этим же стержнем, так как другого нет) с коррекцией положения отломков в проксимальном отделе и сближением отломков в области диафиза. По надколеннику пока одна идея - его удаление. Хотелось бы услышать мнение и советы участников форума. - необходима ли будет костная пластика в области диафиза плеча? - адекватен ли по Вашему мнению реостеосинтез стержнем? - какая тактика в отношении ротационной манжеты? - приведет ли удаление надколенника и релиз сустава к существенному улучшению функции? Спасибо.
<
|
>
|
|
Ответить
|
Re: последствия травмы надколенника и остеосинтеза плечевой кости
Бережной Сергей 22 Ноябрь 2012, 00:05
|
Если у Вас ничего, кроме этого гвоздя нет, лучше за такого пациента не браться. А чтобы думать про манжету, нужны, как минимум, качественные рентгенограммы и КТ. И еще нужна информация не только по сгибанию, но и по возможности самостоятельного разгибания колена. Что с функцией разгибательного аппарата? Чем ему поможет удаление надколенника и релиз сустава? Какова опороспособность ноги? Есть ли боли в коленном суставе? Если нет, может оставить все как есть? Чтобы не навредить, не дай бог.
|
[
Ответить ]
|
Re: последствия травмы надколенника и остеосинтеза плечевой кости
женя 23 Ноябрь 2012, 20:41
|
Надколенник-то, когда сломался? Не при редрессации-ли? Синтез плеча изначально сделан сикось-накось, надо переделывать, стержень - слишком длинный (видно вбили что есть), его использовать не удастся. То место, откуда торчит проксимальный конец стержня с винтами к вращательной манжете отношения не имеет - это немного выше, у бугорков. А что за радикализм в отношении надколенника? Удивляет то, что это пока единственная идея, пришедшая в голову автора;). Надо делать синтез, при этом и осуществить артролиз, а дальше видно будет.
|
[
Ответить ]
|
Re: последствия травмы надколенника и остеосинтеза плечевой кости
Отправитель: Иван 23 Ноябрь 2012, 22:48
|
Женя, доброго дня
1. Надколенник сломался при первичной травме, и первоначально фиксировался внешним аппаратом.
2. На счет длины стержня не согласен. если ввести его в типичной точке будет как раз.
3. То что вращательная манжета находится "немного выше" я вообщем то представляю. Вопрос был несколько в другом - с чем связано нарушение отведения плеча: а.- некорректным положением проксимального отломка б. с изначальным повреждением манжеты, не выявленным ранее. Если а. нужно ли вмешиваться на ней?
4.Есть ли у Вас (вашего отделения)литературные данные собственный опыт лечения или застарелых повреждений надколенника. Каким образом резецируются отломки, какой результат лечения в сравнении с тем же удалением? Не хотелось бы основываться на принципе "сделай а дальше видно будет".
Спасибо!
Александр Николаевич, хотелось бы услышать Ваше мнение об особенностях ревизии на плече. Спасибо!
|
[
Ответить ]
|
Re: последствия травмы надколенника и остеосинтеза плечевой кости
Отправитель: Alexander Chelnokov 25 Ноябрь 2012, 23:35
|
Снимки бы почетче в обеих проекциях увидеть, и на всем протяжении - пока одна мутная проекция, дистального конца ни стержня, ни плечевой кости нет. Функциональные снимки делали, в максимальном отведении? Дефицит отведения только за счет варусной деформации, то есть проксимальный отдел плеча отводится нормально?
Насчет манжеты - вряд ли тут было ее повреждение. А вот стойкая контрактура тут запросто может сформироваться. Как восстановительный период проведен - неизвестно. Так что, может, начать с разработки движений, пока фиксация состоятельна.
Насчет реостеосинтеза можно позже подумать, когда хорошие рентгенограммы будут.
|
[
Ответить ]
|
|
Re: последствия травмы надколенника и остеосинтеза плечевой кости
Александр 24 Ноябрь 2012, 09:36
|
Качественные последние рентгенограммы приложите, пожалуйста,если хотите, чтобы Вам помогли, т.к. по представленным можно только догадываться, что там с проксимальным отделом плеча. Кстати какой возраст пациента?
- удаление железа,
- МРТ + УЗИ плеча с определением дальнейшей тактики,
- в проксимальном отделе плеча консолидация (?),
- в дистальной части реостеосинтез пластиной с костной пластикой,
- удаление надколенника не приведет к улучшению функции.
А вот его реконструкция реально сложная задача, т.к. проблема не столько в переломе,сколько в фиброзе. Здесь 4 опции:
1) ничего не делать, оставить так как есть
2) одноэтапная реконструктивная операция: артролиз, V-Y пластика 4-х главной мышцы, остеосинтез надколенника, ранняя реабилитация
3) двухэтапная операция: первый этап - препателлярное вытяжение с целью растянуть мышцу и сблизить отломки надколенника, второй этап - артролиз, остеосинтез надколенника, ранняя реабилитация
4) протезирование
|
[
Ответить ]
|
Re: последствия травмы надколенника и остеосинтеза плечевой кости
Бережной Сергей 24 Ноябрь 2012, 11:11
|
Как бы автор вопроса не убеждал себя, что в ситуации с гвоздем (его длиной, расположением относительно манжеты и бугорков и т.д.) все ясно, при таком качестве представленных рентгенограмм в единственной проекции никакой ясности быть не может.
В качестве примера - случай, который оперировал всего 2 недели назад, после похожего остеосинтеза, выполненного год назад. Пациентке 75 лет, тяжелый РА, легла для решения вопроса о ревизии тазобедренного сустава и заодно пожаловалась на то, что рука "крутиться" сама по себе, не поднимается. И болит, конечно. И посмотрите на разницу в информации на снимках головки плеча в двух противоположных проекциях. Даже комментировать ничего не нужно.
|
[
Ответить ]
|
( Ответить )
|
|