вверх
отправить
поиск
админ
главная
|
еще одна стопа (продолжение) |
 |
 |
 |
Отправлено maxim agalakov 17 Январь 2013, 21:43
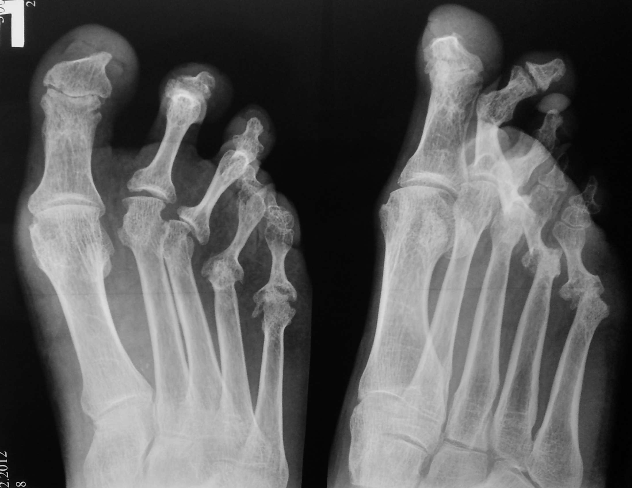
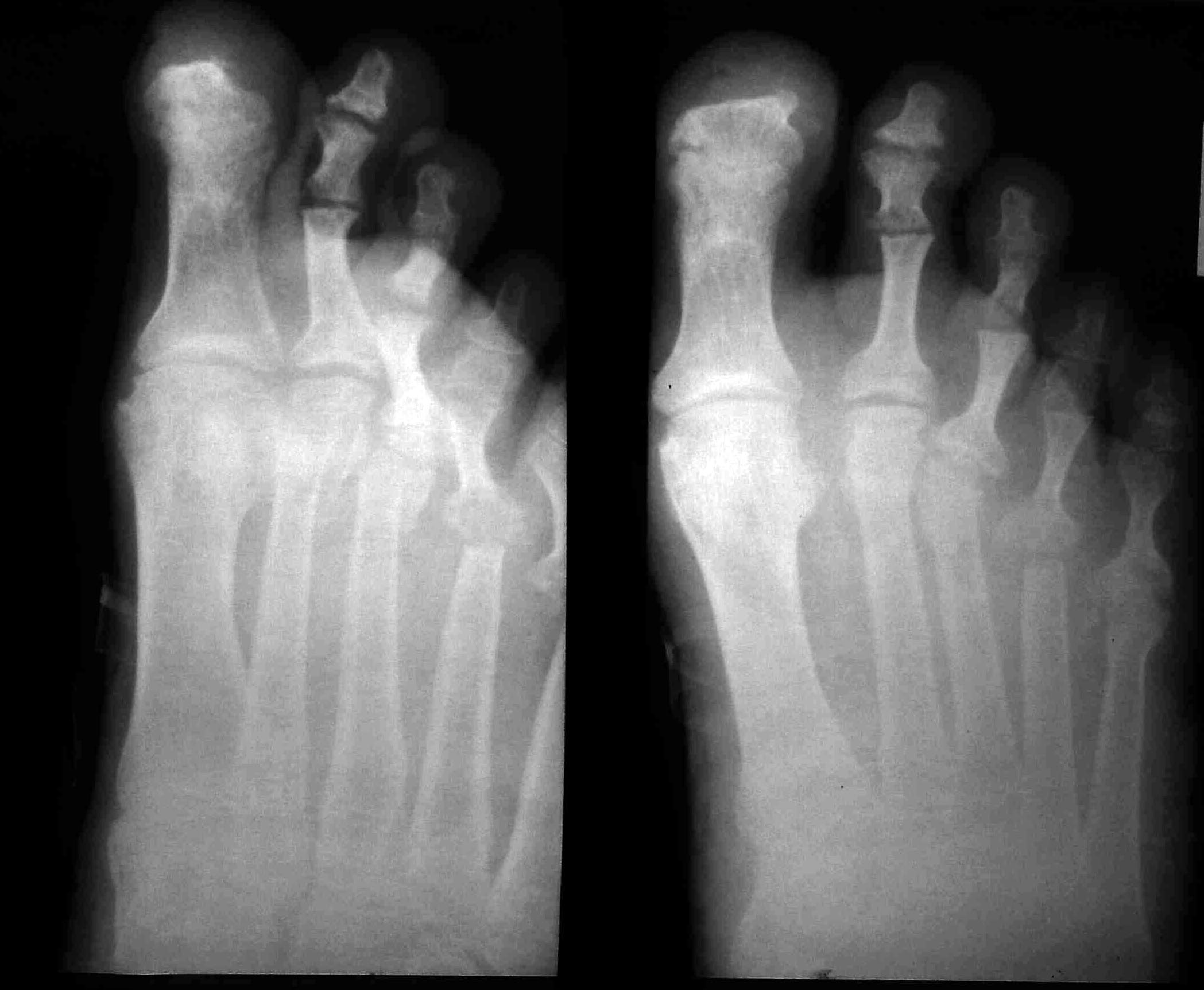
продолжение темы http://weborto.net/forum/1356148170/index_html Послеоперационные снимки (извините за качество), выполнены: Weil - 2,3, резекция головки - 3, резекция проксимальных м/ф суставов(костный анкилоз). Действительно, в первом пальце есть переразгибание, но - не ригидное, пациент на нем вмешиваться отказался. В приложении - предоп рентген в качестве получше и постоп (еще раз сожалею за качество, постараюсь позже выслать получше) Спасибо за советы, надеюсь пригодились.
<
|
>
|
|
Ответить
|
Re: еще одна стопа (продолжение)
Бережной Сергей 18 Январь 2013, 13:28
|
По снимку все хорошо. Еще бы фото стопы приложить.
|
[
Ответить ]
|
Re: еще одна стопа (продолжение)
Отправитель: maxim agalakov 18 Январь 2013, 18:18
|
Пока отек, стопа в повязке по вашим рекомендациям (спасибо! ), немного придет в приемлемый вид-обязательно вышлю
|
[
Ответить ]
|
|
Re: еще одна стопа (продолжение)
Елена 22 Январь 2013, 19:24
|
Здравствуйте! Следила за перепиской по этой теме. У меня есть вопрос. Обязательна ли фиксация спицей, когда выполняется резекция проксимальных межфаланговых суставов? Или, наоборот, этого делать не нужно?
|
[
Ответить ]
|
Re: еще одна стопа (продолжение)
Отправитель: Бережной Сергей 23 Январь 2013, 09:01
|
Методики равнозначны и применение их определяется предпочтениями хирурга, а также ситуацией в каждом конкретном случае.
|
[
Ответить ]
|
|
( Ответить )
|
|