Ответить
|
Re: ложный сустав б/берцовой кости на БИОС
Alexander Chelnokov 28 Июнь 2013, 00:45
|
> клинически больную ничего не беспокоит.
Вот это ключевая информация для принятия решения. То есть раз уже восстановлена полная безболезненная опороспособность, никаких операций делать не надо.
Единственное, что стоило бы сделать - это снимки хорошего качества. Очень вероятно, что там увиденное можно будет трактовать как сращение.
|
[
Ответить ]
|
Re: ложный сустав б/берцовой кости на БИОС
Андрей 28 Июнь 2013, 02:00
|
Здравствуйте! Присоединяюсь к мнению Александра Челнокова. ИМХО: на рентгене - перифокальная костная мозоль. Думаю, что нужно оставить всё, как есть и продолжить нагружать конечность. А если всем после БИОС рубить малоберцовые кости (т.к. они срастаются задолго до момента динамизации стержня), то, что тогда получится? Спасибо.
|
[
Ответить ]
|
Re: ложный сустав б/берцовой кости на БИОС
Максим 28 Июнь 2013, 10:03
|

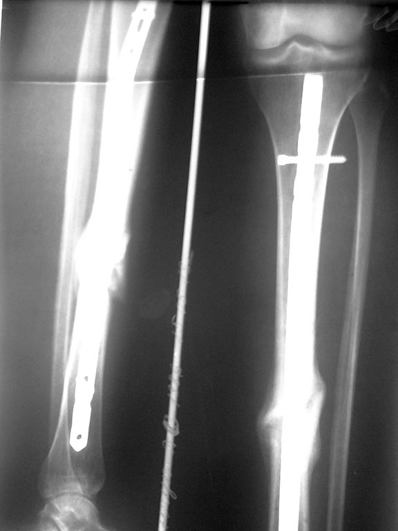
общаяя картинка, выложенная щель между отломками прослеживается на протяжении всего периода сращения.
|
[
Ответить ]
|
Re: ложный сустав б/берцовой кости на БИОС
Alexey Semenisty 28 Июнь 2013, 10:19
|
Категорически присоединяюсь к сказанному Александром Николаевичем!
|
[
Ответить ]
|
Re: ложный сустав б/берцовой кости на БИОС
Максим 28 Июнь 2013, 13:38
|

есть прицельно сфотографированный участок перелома
|
[
Ответить ]
|
Re: ложный сустав б/берцовой кости на БИОС
maxim agalakov 28 Июнь 2013, 21:16
|
ничего делать не надо, прицельный снимок это только подтверждает
|
[
Ответить ]
|
Re: ложный сустав б/берцовой кости на БИОС
Дедок Михаил 28 Июнь 2013, 23:14
|
Перелом сросся!
|
[
Ответить ]
|
Re: ложный сустав б/берцовой кости на БИОС
Максим 29 Июнь 2013, 12:57
|

другая проекция прицельного снимка, на мои сомнения направлена стрелка
|
[
Ответить ]
|
Re: ложный сустав б/берцовой кости на БИОС
Зубенко Андрей 01 Июль 2013, 00:55
|
Уважаемый коллега!
Присоединяюсь к выше сказанному: перелом сросся. И ВСЕ!!! снимки показывают на консолидацию.А процесс ремоделирования может занять несколько лет, если уж действительно сомневаетесь, сделайте рентгенконтроль через пару месяцев, сравните динамику, я думаю результат Вас удовлетворит.
|
[
Ответить ]
|
Re: ложный сустав б/берцовой кости на БИОС
Отправитель: Paul 01 Июль 2013, 13:59
|
Если есть сомнения, то выполните динамизацию стержня, а полное удаление конструкций отложите на несколько месяцев.
|
[
Ответить ]
|
|
Re: ложный сустав б/берцовой кости на БИОС
Олег 01 Июль 2013, 12:31
|
Как насчет курса ударно-волновой терапии для ускорения ремоделяции мозоли/определения ситуации по поводу диагноза с цифровым рентген-контролем через пару месяцев
P.S. Поправьте, если неправ...
|
[
Ответить ]
|
( Ответить )
|