вверх
отправить
поиск
админ
главная
|
Re: Два протеза или .........? |
 |
 |
 |
Отправлено Alexander Chelnokov 31 Июль 2013, 21:42
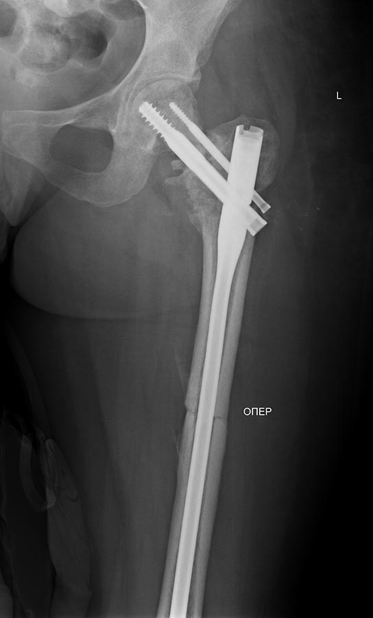
Продолжение истории, начало см. http://weborto.net/forum/1370513039/.Сегодня сделали левое бедро. Сделана аналогичная чрескожная вальгизирующая остеотомия, закрытый интрамедуллярный остеосинтез Affixus. Длинным, с учетом еще и бывшего диафизарного перелома. Были какие-то мысли насчет пластики дефекта шейки - решили воздержаться.
<
|
>
|
|
Ответить
|
Re: Два протеза или .........?
Rashid M. Tikhilov 01 Август 2013, 23:03
|
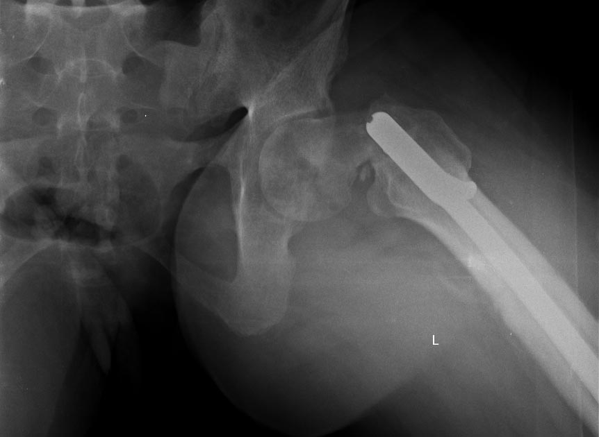
Александр Николаевич, любая попытка сохранить сустав у молодого пациента приветствуется. Смущает ограниченный контакт в зоне перелома, все же надо иметь ввиду несвободную костную пластику на питающей ножке в случае если через1,5-2 месяца Вы не увидите намеков на консолидацию.
С уважением, Р.Тихилов
|
[
Ответить ]
|
Re: Два протеза или .........?
Отправитель: Alexander Chelnokov 01 Август 2013, 23:26
|
Будем надеяться на лучшее и готовиться к худшему.
Какой вариант пластики, на Ваш взгляд, здесь бы подошел? Какой трансплантат откуда взять? Куда разместить? Чем фиксировать?
Еще актуальный на сейчас вопрос - когда и как начинать нагружать нижние конечности?
Будем надеяться, пациентка скоро уедет домой, в Ростов. Коллега Машталов продолжит наблюдение.
|
[
Ответить ]
|
Re: Два протеза или .........?
Отправитель: Рашид М. Тихилов 02 Август 2013, 15:07
|
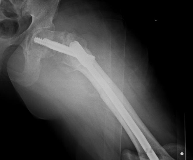
Александр Николаевич, вопросы абсолютно справедливые. Предпочтение отдаются участку крыла подвздошной кости на мышечной ножке. Трансплантат располагается по передней поверхности шейки бедренной кости (во всяком случае там, где она должная быть) слегка внедряется в головку и шейку и фиксируется одним винтом в дистальном отделе в зоне б/вертела. Доступ к суставу проходит между мыщцами и достаточно мало травматичный. На эту тему в институте была защищена диссертация Карелкиным Виталием Вл-чем, в работе детально проработаны все анатомические нюансы забора трансплантата. Что касается нагрузки.... Эвакуация от себя это правильный принцип))) но ведь и позвонить могут... Если по сути, то действительно сложно оптимизировать нагрузку, но и без нее нельзя. Я бы разрешил первые 6 недель с касания пола до веса ноги. Последующая постепенная нагрузка до одного костыля к 4-м месяцам, далее - по ощущениям в зоне комфорности. Избыточная нагрузка опасна, длительная иммобилизация ничего не даст. Контрольная Р-грамма через 2-а месяца, необходимо оценить два момента - смещение имплантата и наличие признаков мозолеобразования. При отсутствии смещения и признаков регенерации целесообразна костная пластика. При наличии миграции имплантата - протезирование.... и далее по тексту. Сроки конечно могут варьировать, но не думаю что очень сильно.
Как-то так,
Р.Тихилов
|
[
Ответить ]
|
|
Re: Два протеза или .........?
В.Машталов 01 Август 2013, 23:04
|
Спасибо Александр! Да, говорить о победе в сохранении суставов у молодой пациентке еще рано .Все ещё должно срастись.
Но сам факт реализации идеи свершился. Большие дебаты на форуме и с коллегами очно склонялись в сторону протезирования как минимум одного сустава. Широкое. шагание протезирования по стране решило много проблем наших пациентов, но и ограничило интерес и доступность реконструктивных сохраняющих операций. клиник где можно сделать протезирование в разы больше, чем где можно сделать реконструкцию. Протез в большинстве случаев рутина, реконструкция творчество. Давайте творить господа!
С уважением В. Машталов
|
[
Ответить ]
|
( Ответить )
|
|