AOTRAUMA.ORG Центр Илизарова  

Ортопедия и травматология Общие вопросы/General questions Help Информационные технологии в медицине
 вверх
 отправить
 поиск
 админ
 главная


Переломы плюсневых костей
Ортопедия и травматология Отправлено Иван 13 Август 2013, 13:02
Хотел бы узнать Ваше мнение о дальнейшей лечебной тактике.
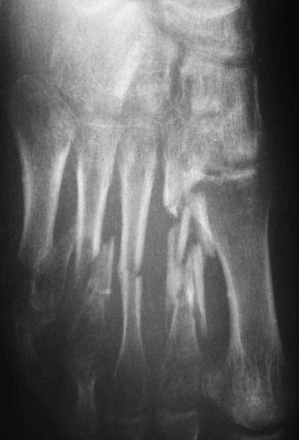
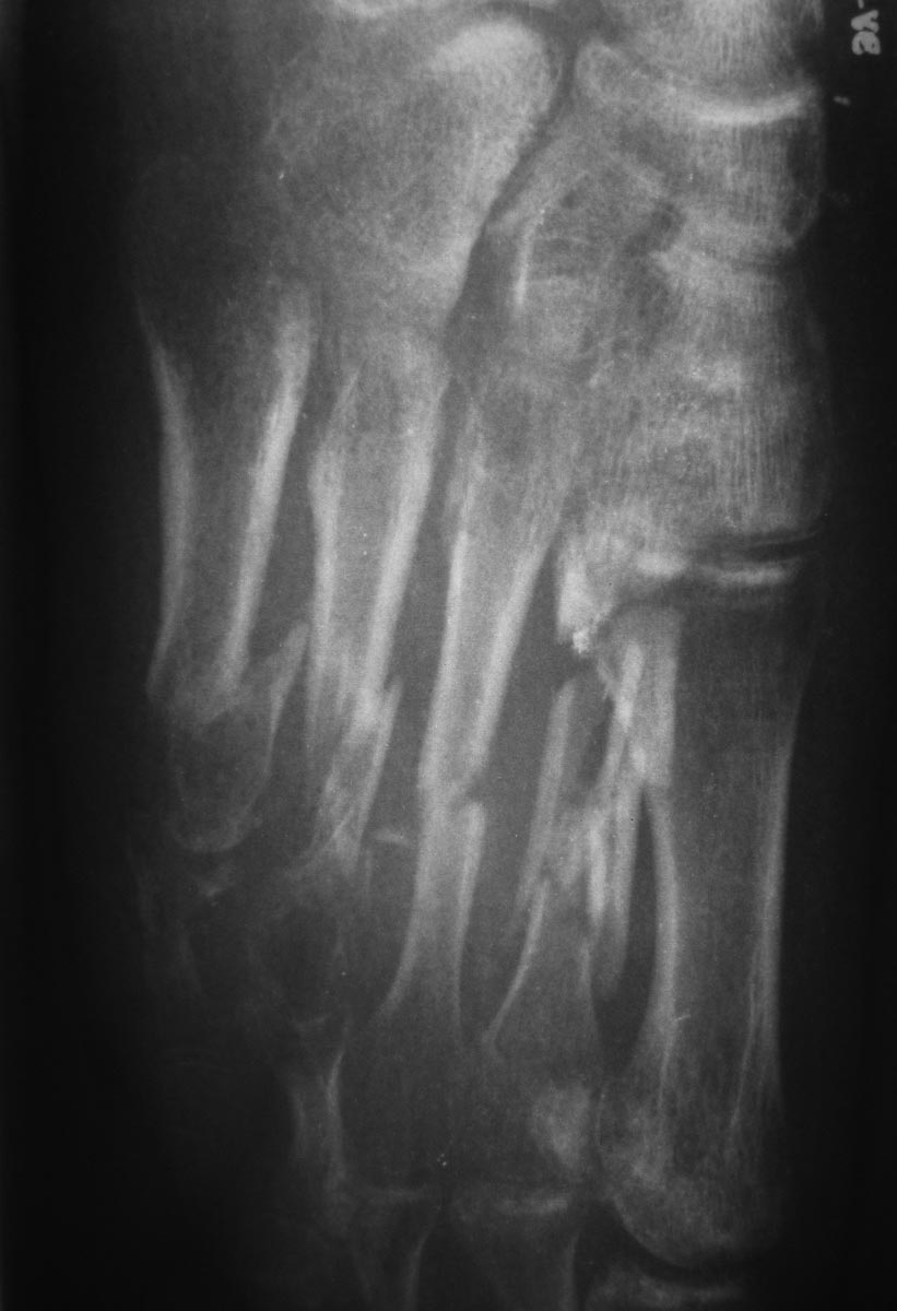
Пациентка 19 лет 11.05.13 получила травму в результате ДТП. диагноз: Открытые 3а степени оскольчатые переломы диафиза 2-5 плюсневых костей, перелом проксимальной фаланги 5 пальца, разрыв сухожилия разгибателя 4 пальца правой стопы.
При поступлении выполнено ПХО открытых переломов, фиксация спицами. Рана тыла стопы заживала без воспаления, однако имелся частичный некроз кожного лоскута. По снятии швов произведена иммобилизация циркулярной повязкой. Снимки стопы через 2,5 мес. иммобилизации.
Прошу помочь в определении дальнейшей тактики:
- разрешить частичную нагрузку и продолжить иммобилизацию - на сколько(?)
- продолжить иммобилизацию без нагрузки
- предложить оперативное лечение?

<  |  >

 

  • Сообщения о Ортопедия и травматология
  • Также Иван
  • Связаться с автором
  • Ответить

    Re: Переломы плюсневых костей
    Александр Петрушин 13 Август 2013, 17:44
    Кроме переломов плюсневых костей, как мне кажется, есть подвывих в суставе Лисфранка (2-3 плюсне-клиновидный) суставы.
    [ Ответить ]

    Re: Переломы плюсневых костей
    Doktorov Alexey 14 Август 2013, 01:08
    Проксимальная головка II плюсневой в вывихе (?), IV-V плюсневые выполнил бы МОС с резекцией костной мозоли. Можно ЧЛХ мини пластинами типа "Конмет". Одновременно шов разгибателя или его пластика поверхностным разгибателем с другого пальца. Случай не простой. Желаю удачи.
    [ Ответить ]

    Re: Переломы плюсневых костей
    Бережной Сергей 14 Август 2013, 01:44
    Мне кажется, что продолжение иммобилизации через такой срок смысла не имеет. Она и так уже привела к развитию резко выраженного остеопороза. Нужно снимать гипс, давать нагрузку на стопу до легко терпимых болезненных ощущений в обуви на жесткой подошве. Если пациентка сможет ходить с полной нагрузкой - пусть ходит. Нагрузка в подобной ситуации должна ускорить сращение и постепенно уменьшить выраженность регионарного остеопороза. И со временем, по мере сращения костей и восстановления опороспособности стопы нужно будет уже решать, нужна ли операция и если нужна, то какая (укорочение ли сохранивших длину 1 и 3 плюсневых, артродез поврежденных суставов среднего отдела стопы или еще что).
    [ Ответить ]

    Re: Переломы плюсневых костей
    Олег Шепета 14 Август 2013, 17:18
    Для формирования продольного свода стопы достаточно сильное смещение отломков 5-й плюсневой кости - возможно именно на это стоит обратить внимание. Все остальное должно срастись без проблем
    Нагрузка должна осуществлятся, как по мне, с прохождением болевого синдрома...
    Удачи
    [ Ответить ]

    Re: Переломы плюсневых костей
    Савранский Александр 15 Август 2013, 01:00
    Здравствуйте! Я бы предложил скотч-кастовую повязку с формированием свода стопы и дозированную увеличивающуюся нагрузку. Через 1-1,5 месяца перевод на ортопедические стельки, ортопедическую обувь. При неудовлетворительном функциональном результате ( не ранее чем через полгода после травмы) решать вопрос об оперативном лечении. Непосредственно сейчас предлагаю сделать КТ, чтобы исключить возможные подвывихи (хотя по снимкам вроде бы нет), их наличие может потребовать операции уже сейчас.
    [ Ответить ]


    ( Ответить )

    Powered by Zope  Squishdot Powered MedLink
    Посетитель: 0301280
      "По форме правильно, а по существу - издевательство" В.И.Ленин
    ©2001-2019Orthoforum Coordinator.
    [ Главная | Отправить сообщение | Поиск | Админ ]