AOTRAUMA.ORG Центр Илизарова  

Ортопедия и травматология Общие вопросы/General questions Help Информационные технологии в медицине
 вверх
 отправить
 поиск
 админ
 главная


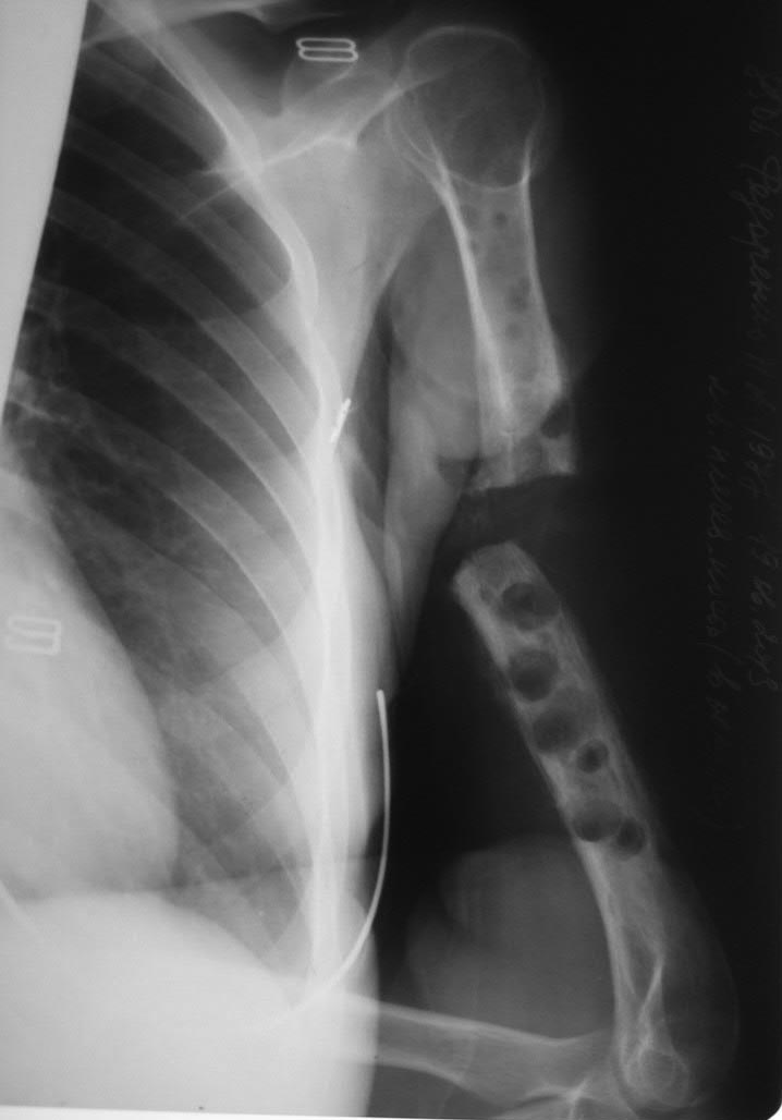
дефект-диастаз левой плечевой кости
Ортопедия и травматология Отправлено Alexander Artemiev 18 Ноябрь 2013, 09:17
Здравствуйте, дорогие коллеги.Хотел бы услышать мнение.
Пациентка лет 40.
Два года назад - перелом плеча.
Последовательно ставили три пластины. На все - отторжение металла.
Сейчас - дефект-диастаз+укорочение. Суммарный дефект около 6 см. Дырки от винтов. Инфекции нет.
Как поступить?

Александр Артемьев

<  |  >

 

  • Сообщения о Ортопедия и травматология
  • Также Alexander Artemiev
  • Связаться с автором
  • Ответить

    Re: дефект-диастаз левой плечевой кости
    Максим Полехин 18 Ноябрь 2013, 10:37
    БИОС, если диаметр канала позволяет, изолируйте стержень цементом с антибиотиком самый тонкий стержень 6 мм. укорочение на плече не принципиально, на руке не ходить, сообщите о результате.
    [ Ответить ]

    Re: дефект-диастаз левой плечевой кости
    Сергей Рыжиков 18 Ноябрь 2013, 14:36
    Метод Masquelet. Резекция концов отломков. Аппарат с цементным спейсером. Через 1,5-2 мес. аутопластика со стержнем. Я бы так попробовал.
    [ Ответить ]

    Re: дефект-диастаз левой плечевой кости
    Юрий 18 Ноябрь 2013, 17:00
    БИОС. Ложный сустав гипертрофический, консолидации не было из-за нестабильного остеосинтеза, поэтому сайты не нужны. Касаемо дефекта - стоит использовать губчатую кость и искусственные матрицы
    [ Ответить ]

    Re: дефект-диастаз левой плечевой кости
    Alexander Chelnokov 19 Ноябрь 2013, 22:20
    Насчет "отторжения металла" - скорее всего, это просто небезупречный остеосинтез, повлекший несостоятельность.
    Что делать сейчас - вариантов много. Надо ли восстанавливать длину? Как насчет аппарата? Этот вариант выглядит не самым простым, уж больно издырявлено все.
    Может, сделать что-то типа impaction grafting, да одномоментно растянуть см на 3, и внутрикостно фиксировать? Я бы подумал о Fixion.

    [ Ответить ]

    Re: дефект-диастаз левой плечевой кости
    Лединников Игорь 21 Ноябрь 2013, 06:37
    В плане размышлений.

    Вариант, что все три накостных синтеза были неадекватны, он возможнен, но не едиственно возможный. Просто для сведения: http://www.ncbi.nlm.nih.gov/pubmed/7164188

    Я бы избегал у такой больной фиксаторов из нержавейки в любом виде (даже спиц в аппарате). Поинтересовался бы, носит ли она бижутерию, часы. Больных, у которых от длительного контакта с любым металлом (включая "золотые" обручальные кольца) возникают тяжелейшие контактные дерматиты, я видел живьём, и даже не один раз.
    [ Ответить ]

    • Re: дефект-диастаз левой плечевой кости
      Отправитель: Alexander Chelnokov 22 Ноябрь 2013, 12:49
      Кто бы знал, что полагали аллергией на металл 40 лет назад. Есть и более современные публикации, немного более конкретные, например, http://www.ncbi.nlm.nih.gov/pubmed/18210082 . Ну и есть бритва Оккама.

      [ Ответить ]
    Re: дефект-диастаз левой плечевой кости
    Павел К. 22 Ноябрь 2013, 21:32
    Коллеги, из всех видов так называемых нами и пациентами "аллергий" на нитки, ... на металл, и на прочие отторгающиеся из раны медицинские изделия, самым распространенным внешним проявлением является ВОСПАЛЕНИЕ. Металлоз, разрушение дебрисом, гнойное расплавление, нестабильность и подвижность металлоконструкции и т.д., на рентгенограммах имеет близкую картину остеолиза. Что и имеется у данной пациентки.
    Если же у нее дествительно имеется "непереносимость" всех металов (плохо верится, но допустить можно), то как вариант можно предложить взять малоберцовую кость, обработать канал в плече до её диаметра и внедрить "костный" стержень без блокирования.

    [ Ответить ]

    Re: дефект-диастаз левой плечевой кости
    Alexander Artemiev 22 Ноябрь 2013, 23:09
    Спасибо за рекомендации. Больная носит металл (серьги, часы и пр.)
    Для чистоты эксперимента засунул ей под ортез плеча стержень от аппарата, несколько дней уже носит, не звонила...:)
    По закону парных случаев, еще подобная больная ждет решения проблемы, операционная сестра.
    О результатах доложу.
    Рассматривается вариант микрохирургического вмешательства.
    Я лично подумывал использовать спицы из углепластика или типа того. Лет 10 назад кто-то мне такие предлагал, постараюсь найти концы...
    С уважением ААА
    [ Ответить ]

    • Re: дефект-диастаз левой плечевой кости
      Отправитель: Arshak Mirzoyan 22 Ноябрь 2013, 23:10
      Саныч, свяжись с Колей Клюшиным из центра Илизарова, через него я лет 7 назад приобрел спицы с углеродным покрытием, при металлозе оправдали себя на все 100. Выпускает какой-то, не помню, завод за Уралом
      Удачи,
      Аршак Мирзоян

      [ Ответить ]
    Re: дефект-диастаз левой плечевой кости
    Djoldas Kuldjanov, M.D. 24 Ноябрь 2013, 16:43
    Разбор результатов образования ложного сустава плеча показывает, что больше, чем половина осложнений являются результатом ошибок врачей. Ошибка в выборе имплантата, размеров, а также грубые манипуляции во время операции приводят к осложнениям. Выбор имплантата также играет важную роль, нп. сравнительные результаты между пластиной и гвоздем показали, что интрамедуллярные гвозди показывают худший результат. Установка гвоздя сравнительно легка, но на самом деле частые осложнения происходят из-за дистракции в месте перелома и повреждений нерва во время блокировки!

    А по поводу металлоза? Для изготовления конструкции применяются различные сплавы. Титан является инертным, но оставляет темные пятна в местах соприкосновения с мягкими тканями. Винты и пластины, изготовленные из нержавеющий стали, чистые, и понятие "металлоз" встречается только в реконструктивной литературе. Возможно, наличие кобальта, аллюминия, хрома и молибдена в составе протеза приводит к появлению химически агрессивного состава? Применение одновременно разных по потенции материалов (титан с нержавейкой) меняет химию среды..

    В данном случае отсутствуют симптомы металлоза, потому что не видны обьективные данные, такие, как наличие боли, образование локальных некротических участков, формация кист и псевдотуморов. Но явно видны следы неудачной фиксации и слабой хирургической техники.

    Прежде, чем искать причину в образовании ложного сустава ношением пирсинга или других предметов и украшений, будет правильным проследить за качеством хирургической техники. Возможно, сегодня улучшился контроль за качеством материалов, и ограничен допуск “гаражных конструкций”. Но мне кажется, что до сих пор на рынке существует остаток различных дешевых “клонов” известных брендов.

    Косметичный вид конечности является важном фактором, но под видом косметичности не стоит отказаться от хирургических доступов, если надо. Современная ортопедия признает гибкость и универсальность специалиста при выборе методов лечения.

    Спор, какой из методов лучший - дело бесполезное. Любой метод хорош, когда специалист владет им в совершенстве и неудобный для кого окажется самым востребованным. Очевидно, Александр выберет более знакомый для него метод Илизарова. Его переубедить так же трудно, как Челнокова заставить отказаться от гвоздя, или Мацукатова от метода Илизарова. Метод Илизарова для плеча неудобный, но при мотивации пациента на выздоровление со временем прывыкают к неудобствам.

    Для успеха, по моему, нет смысла искать специальные титановые или другие спицы. Неправильное введение спиц является главной причиной, и осложнение может случится даже при использовании самых супер “заряженных-квантовыми частицами” спиц.

    Плечо неплохо перенесит укорочение до 3 см, а дефект 6 см лучше заместить. Метод удлинения по Илизарову длителен и трудоемок, а остальные методы без открывания очага не получатся. Возможно, множественные операции повлияли на состояние мягких тканей, и если условия позволяют, тогда я бы поставил гвоздь с титановым или любым другим кейджем. Трубка-кейдж ограничит аутокость изнутри и создаст стабильность после блокировки.


    Djoldas Kuldjanov, MD
    [ Ответить ]

    Re: дефект-диастаз левой плечевой кости
    Александр 25 Ноябрь 2013, 20:04
    БИОС с костной аутопластикой и применением нитиноловых имплантов.
    [ Ответить ]

    Re: дефект-диастаз левой плечевой кости
    Лушников С.П. 14 Декабрь 2013, 19:14
    До 70% осложнений в виде ложного сустава формируется из за нарушения хирургической техники или послеоперационного ведения пациентов. Ваше наблюдение тому пример.
    Полагаю можно выполнить остеосинтез стержнем с блокировкой при любом укорочении сегмента с обязательной костной пластикой кровоснабжаемым костным трансплантатом из лучевой кости на основе лучевой артерии.
    [ Ответить ]


    ( Ответить )

    Powered by Zope  Squishdot Powered MedLink
    Посетитель: 0324294
      "По форме правильно, а по существу - издевательство" В.И.Ленин
    ©2001-2019Orthoforum Coordinator.
    [ Главная | Отправить сообщение | Поиск | Админ ]