вверх
отправить
поиск
админ
главная
|
Закрытый оскольчатый перелом дистального метэпифиза лучевой кости |
 |
 |
 |
Отправлено Николай 30 Ноябрь 2013, 21:03
Доброго времени суток, глубокоуважаемые коллеги! Прошу помощи по лечению суставного перелома дистального метаэпифиза лучевой кости Пациент 22 лет. Травма в результате ДТП 14.11.13. Диагноз: Сочетанная травма. Тупая травма грудной клетки. Закрытый перелом 2, 3, 4 рёбер слева, 4, 5 справа. Ушиб лёгких. Закрытый оскольчатый перелом дистального метаэпифиза левой лучевой кости со смещением отломков, вывихом головки локтевой кости, нейропраксией срединного и локтевого нервов. Ушибленная рана головы. Первично обращался в другое больничное учреждение, где произведено ПХО,закрытая репозиция. От госпитализации отказался. Через 2 дня обратился за помощью по месту жительства. Госпитализирован. Левое предплечье резко отёчно. Выявлена клиника нейропатии срединного и локтевого нервов с чувствительными расстройствами. Произведена повторная закрытая репозиция, которая не увенчалась успехом.Наложен аппарат внешней фиксации. Подвывих кисти устранён. Вывих локтевой кости вправлен. Клиника нейропатии локтевого нерва купирована. На настоящий момент сохраняется гипостезия 1п левой кисти, отёк купируется.Ввиду молодого возраста пациента и оскольчатого характера перелома планируем вторым этапом произвести погружной остеосинтез. Прошу помощи с планированием остеосинтеза. Удастся ли стабилизировать перелом из ладонного доступа, или необходим и тыльный? Каким имплантатам отдать предпочтение?
<
|
>
|
|
Ответить
|
Re: Закрытый оскольчатый перелом дистального метэпифиза лучевой кости
Дедок Михаил 01 Декабрь 2013, 22:50
|
Ладонный доступ однозначно + декомпрессия срединного нерва. Волярная лучевая пластина Synthes.
|
[
Ответить ]
|
Re: Закрытый оскольчатый перелом дистального метэпифиза лучевой кости
Отправитель: Николай 01 Декабрь 2013, 23:05
|
Спасибо, Михаил. Ладонно-локтевой осколок и шиловидный отросток из ладонного доступа отрепонировать и фиксировать пластиной получится, но необходим ли тыльный доступ для репозиции тыльно-локтевого осколка с синтезом L- образной пластиной длямалых фрагментов?
|
[
Ответить ]
|
Re: Закрытый оскольчатый перелом дистального метэпифиза лучевой кости
Отправитель: дамир 03 Декабрь 2013, 16:44
|
хорошо бы еще одну проекцию, разгибательный перелом - отрепонируется с ладонного доступа, возможно потребуется костная пластика, учитывая оскольчатый характер.
|
[
Ответить ]
|
Re: Закрытый оскольчатый перелом дистального метэпифиза лучевой кости
Отправитель: Glukhov Denis 04 Декабрь 2013, 16:49
|
Все должно получиться из ладонного доступа. Выбор фиксатора за Вами. Я рекомендую для данного перелома Пластину дистальную лучевую VA-LCP Volar Rim 2.4 (Synthes). Никаких тыльных доступов и пластин не надо. Костной пластики НЕ надо. Даже сегментарные дефекты на уровне метафиза при стабильном остеосинтезе для дистального луча не критичны.
Удачи!
|
[
Ответить ]
|
|
Re: Закрытый оскольчатый перелом дистального метэпифиза лучевой кости
Савранский Александр 03 Декабрь 2013, 23:22
|
ГДЕ СНИМКИ В АППАРАТЕ
|
[
Ответить ]
|
Re: Закрытый оскольчатый перелом дистального метэпифиза лучевой кости
Отправитель: Николай 03 Декабрь 2013, 23:39
|
Последние 3 КТ в аппарате. Снимки выложу завтра.
|
[
Ответить ]
|
Re: Закрытый оскольчатый перелом дистального метэпифиза лучевой кости
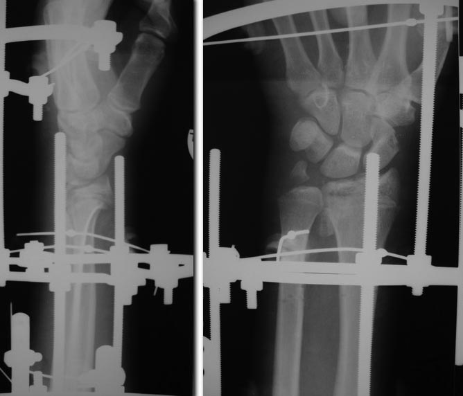
Отправитель: Николай 04 Декабрь 2013, 13:52
|

снимки в аппарате
|
[
Ответить ]
|
Re: Закрытый оскольчатый перелом дистального метэпифиза лучевой кости
Отправитель: Савранский Александр 05 Декабрь 2013, 01:37
|
Похоже в аппарате достигнуто неплохое стояние. Может спицей с напайкой притянуть ладонный фрагмент.
|
[
Ответить ]
|
Re: Закрытый оскольчатый перелом дистального метэпифиза лучевой кости
Отправитель: Николай 05 Декабрь 2013, 09:16
|
Пытался во время наложения это сделать, но к сожалению не удалось.
|
[
Ответить ]
|
|
Re: Закрытый оскольчатый перелом дистального метэпифиза лучевой кости
Николай 06 Декабрь 2013, 21:38
|

Доброго времени суток! Сегодня прооперировал пластиной DVR. Снимки прилагаю. Огромное всем спасибо за помощь!
С уважением, Васильев Н.Е.
|
[
Ответить ]
|
( Ответить )
|
|