AOTRAUMA.ORG Центр Илизарова  

Ортопедия и травматология Общие вопросы/General questions Help Информационные технологии в медицине
 вверх
 отправить
 поиск
 админ
 главная


деформация стопы
Ортопедия и травматология Отправлено Максим 14 Май 2014, 18:13
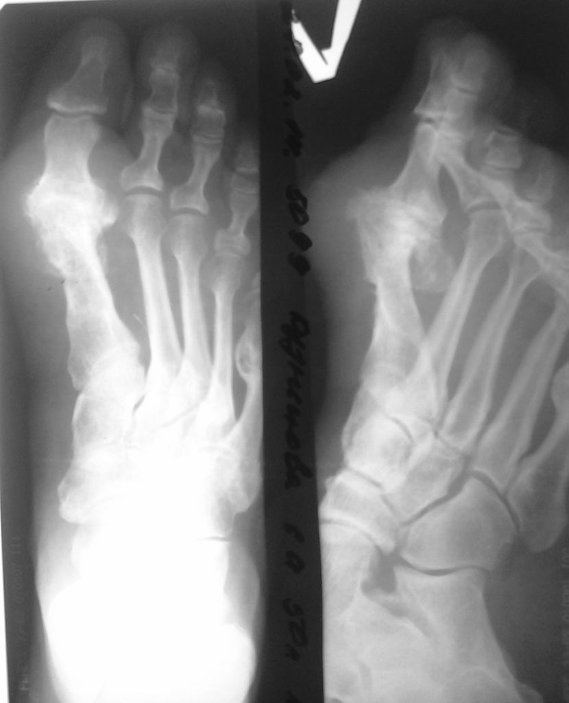
Доброе время суток, помогите пожалуйста с тактикой лечения. Пациентке 50 лет в анамнезе корректирующая операция на костях 1 луча левой стопы, в настоящее время беспокоят боли в проекции 1 луча при опоре на стопу.
Рентгенологически и клинически артродез 1 плюсне-фалангового сустава состоялся. Что-бы Вы порекомендовали в плане лечения.

<  |  >

 

  • Сообщения о Ортопедия и травматология
  • Также Максим
  • Связаться с автором
  • Ответить

    Re: деформация стопы
    Анатолий 15 Май 2014, 10:57
    Артродез то состоялся, но- под не функциональным углом. отсюда- и боли. Вероятно, необходим реартродез.
    [ Ответить ]

    Re: деформация стопы
    A.Liberson 15 Май 2014, 16:19
    This shouold be fused probably. To prove the movements you might further invest: bone scan or catscan. Be sure there is no other bone pathology. Goodluck. AL
    [ Ответить ]

    Re: деформация стопы
    Бережной Сергей 16 Май 2014, 00:27
    Такие массивные разрастания вокруг сустава скорее говорят о том, что костный анкилоз не состоялся. Вероятно, имеется фиброзный анкилоз. Это облегчает задачу. Нужно убрать костные разрастания вокруг сустава и выполнить артродез, правильно установив суставные поверхности.Ну и конечно всю картину по представленным снимкам оценить сложно. Например, что там за выпуклость на 5 плюсневой кости?
    [ Ответить ]

    Re: деформация стопы
    Шведовченко И.В. 16 Май 2014, 18:27
    Добрый день, уважаемые коллеги. А почему вы решили, что предыдущие хирурги стремились к артродезу первого плюснефалангового сустава? По моему речь идет о исходе одного из вариантов остетотомии первой плюсневой кости, которыцй закончился асептическим некрозом головки 1 плюсневой кости. И сейчас вы имеете ситуацию, обозначасемую, как hallux rigidus. И думать надо о возможной мобилизации первого плюснефалангового сустава.
    [ Ответить ]


    ( Ответить )

    Powered by Zope  Squishdot Powered MedLink
    Посетитель: 0307706
      "По форме правильно, а по существу - издевательство" В.И.Ленин
    ©2001-2019Orthoforum Coordinator.
    [ Главная | Отправить сообщение | Поиск | Админ ]