Ответить
|
Re: Предел одномоментного удлинения диафиза бедра?
Ерсин Жунусов 17 Май 2014, 16:38
|
Добрый день! Если нет рубцовых сращений мягкотканного аппарата укороченного сегмента то до истинной длины удлинить возможно но надо учесть эффект ,,памяти мышц,, которая начинает включаться при удлинении более 10 см. Дело в том что сосуды и нервные стволы если не вовлечены в рубцовую ткань и не спаяна то до своей истиной длины удлиняется без катастрофы. Поэтому до операции мы практикуем ангиографию конечности и сосудов удлиняемого сегмента. В клинической практике одномоментно удавалось удлинять до 12 см с фиксацией интрамедулярным блокирующим стержнем неоднократно, была ситуация когда пациенту после чмт (УГМ) и направильно сросшийся перелом с/з бедренной кости удлиняли интраоперационно на 10 см через 1,5 года с момента травмы. С уважением Ерсин Жунусов.
|
[
Ответить ]
|
Re: Предел одномоментного удлинения диафиза бедра?
Отправитель: Alexey Semenisty 17 Май 2014, 19:16
|
Ерсин, очень интересные наблюдения! Спасибо!
Не могли бы Вы показать рентгенограммы "до", "сразу после" и "отдаленные? Как реагирует коленный сустав на такое значительное одномоментное удлинение?
|
[
Ответить ]
|
Re: Предел одномоментного удлинения диафиза бедра?
Отправитель: Ерсин Жунусов 17 Май 2014, 22:10
|
Уважаемый Алексей! В связи с переездом с одной клиники в другую многие вещи не распакованы, как только будет возможность, предоставлю клинические случаи! А так наблюдения показывают, что проблемы коленного сустава, в целом функции все крупных суставов восстанавливаются обычно за 2-3 месяца, но восстанавливаются баланс мышц и сухожилий тогда, когда конечность удлиняется только в пределах своей длины, то есть при неправильных сращениях переломов с укорочением. К сожалению, в Казахстане, особенно в южных и западных областях, многие пациенты вначале обращаются костоправам, целителям, только потом обращаются в клиники, поэтому часто встречаемся с подобными пациентами!
|
[
Ответить ]
|
|
Re: Предел одномоментного удлинения диафиза бедра?
Сергей 17 Май 2014, 19:03
|
При эндопротезировании тазобедренного сустава и сопутствующем укорочении бедра не рекомендуется удлинять свыше 4 см. из-за опасности неврологических осложнений. Есть зарубежные исследования, подтверждающие эту цифру.Ссылок на статьи нет. Думаю это относится и к остальным отделам бедра. На практике придерживаемся цифры 4 см.
|
[
Ответить ]
|
Re: Предел одномоментного удлинения диафиза бедра?
Дедок Михаил 18 Май 2014, 01:05
|
Taglan на лекции говорил, что при рассверливании канала он без пластики одномоментно удлинняет на 5 см при БИОС. А что при большем дефекте не помню (:
|
[
Ответить ]
|
Re: Предел одномоментного удлинения диафиза бедра?
Отправитель: Леонид Пак 21 Май 2014, 08:25
|
А есть ли зависимость в длине удлинения от величины рассверливания? Удлинение на 1 см - рассверливание на 1 размер? Или другие критерии?
С уважением Леонид Пак
|
[
Ответить ]
|
|
Re: Предел одномоментного удлинения диафиза бедра?
Ерсин Жунусов 18 Май 2014, 01:38
|
Уважаемый Сергей! С полностью с Вами согласен с тем, что при эндопротезировании низведение проксимального отдела бедренной кости, особенно при высоких врожденных вывихах, более чем 4-5 см чревато возникновением неврологии. Многим известно при подобных ситуациях оптимальный вариант подвертельная укорачивающая резекция или операция Paavilainen T. Но, в данной дискуссии речь идет именно об укорочениях бедренной кости в с/з или н/з бедренной кости. Как нам всем известно в данной локализации, как при эндопротезировании тазобедренного сустава мышцы проксимального отдела (отводящщая группа) и седалищный нерв интактен, удлинение или растяжение мышц происходит в сгибательной и разгибательной группе и бедренного нерва. При одномоментном удлинении бедра из-за укорочения в н/з нередко потребуется пересечение прямой мышцы.
Тем более мы акцентируем внимание, что не должно быть спаяние или сращение мышечной группы, как часто происходит при неудачных открытых репозициях или точки спаивания при чрескостном остеосинтезе в местах прохождения спиц. У тех пациентов, которые к нам обращались после костправов или народных целителей, к счастью, никаких оперативных вмешательств не проводились, при таких ситуациях, наоборот, мышцы имели гофрированное состояние, во время операции пользовались спице-стержневыми фиксаторами. при укорочении до 5 см пользовались ортопедической приставкой, но в момент вытяжения происходит нагрузка на стопу и на голеностопный сустав, резко увеличивается тракционный механизм и сдавление промежности (в литературе описаны случаи неврологии вплоть до импотенции), поэтому, чтобы разгрузить тракционную силу, спицу проводили надлодыжечно, и фиксировали в большой скобе, конец которой одевали на тяговое устройство приставки. Саму репозицию, естественно, производили открытым доступом, часто с краевой резекцией, формировали поперечный перелом чтобы использовать динамический вариант блокировки. Учитывая большую кровопотерю, интраоперационно использовали аппараты для реинфузии. Самая большая боязнь при одномоментном удлинении действительно связана с возникновением неврологии. есть два варианта контроля, первый вариант: интраоперационное пробуждение тест на нейропатию. второй вариант: интраоперационная электронейромиография.
Конечно никто не спорит, что проведение одномоментного удлинения несложная операция и во многом зависит не только от ортопеда, но и зависит от взаимопонимания со стороны анестезиолога, который заранее должен знать суть Вашей операции, подключая своевре
менно релаксантов, благо наличие анестезии севораном позволяет анестезиологам использовать низкопоточную ингаляцию, с которым пациента легко выводит и вводит в наркоз. Я не ярый сторонник одномоментного удлинения, хотелось поделиться с небольшим опытом проведении подобных операции, особенно у молодых пациентов.
С уважением Ерсин Жунусов.
|
[
Ответить ]
|
Re: Предел одномоментного удлинения диафиза бедра?
Отправитель: Алексей Семенистый 18 Май 2014, 16:15
|
Мне показалось, что Александр в имеет в виду не репозицию застарелого перелома с большим смещением по длине, когда сопоставив отломки мы добиваемся и восстановления длины и имеем контакт между отломками, а ситуацию, когда после одномоментного удлинения получается значительный циркулярный костный дефект. Понятно, что есть предел, связанный с натяжением нервов, сосудов и мышц. Есть критерии предела для костного дефекта?. Михаил упомянул Taglan. Мне кажется, француз имел в виду именно именно такое удлинение, с дефектом. 5 см это предел дпя дефекта или для мягких тканей?
|
[
Ответить ]
|
Re: Предел одномоментного удлинения диафиза бедра?
Отправитель: Alexander Chelnokov 18 Май 2014, 17:03
|
Мой вопрос только про сосуды-нервы. Дефект кости любого размера пока давайте оставим за скобками. Предположим, есть кейдж хоть 10 см, хоть 20, хоть больше.
Насчет просыпить пациента... А если спинальная анестезия? А какую ЭМГ делать, и что там должно выявиться?
|
[
Ответить ]
|
Re: Предел одномоментного удлинения диафиза бедра?
Отправитель: Алексей Семенистый 18 Май 2014, 18:17
|
Насчет просыпить больного - вертебрологи частенько этим занимаются при одно моментной коррекции сколиотической деформации. Специфическое зрелище: больной лежит на животе, на спине малоинвазивный разрез см 35-40, из раны торчат еще нескусаные транспеды.... больного пробуждают и просят -"Пошевели стопами". Все-таки, хотелось бы чего-то более объективного.
|
[
Ответить ]
|
Re: Предел одномоментного удлинения диафиза бедра?
Отправитель: Данила Курышев 26 Май 2014, 02:00
|
Чаще электростимулятором проверяют :))
|
[
Ответить ]
|
Re: Предел одномоментного удлинения диафиза бедра?
Отправитель: Дедок Михаил 18 Май 2014, 23:21
|
Это предел для дефекта. Нет нужды в пластике.
|
[
Ответить ]
|
|
Re: Предел одномоментного удлинения диафиза бедра?
Ерсин Жунусов 18 Май 2014, 18:26
|
Доброго времени суток! Хочу пояснить, что в наших случаях у пациентов не было дефектов кости, речь идет о смещений по длине. В скорее всего правильно будет нам выражаться не "удлинение сегмента", а "восстановление длины сегмента". По поводу спинального наркоза сомневаюсь, что сможете достичь полной релаксации. Во время интубационнного наркоза пациента пробуждают точно также как при сколиозе проводят тест на нейропатию то есть интраоперационно пациент должен показать движение пальцами стопы, если тест отрицательный далее анестезия продолжается, а если положительный сразу уменьшают тракцию не менее 60% от исходной тракции. К счастью в наших случаях не было положительного теста на нейропатию. электрнейромиографический интраоперационно определяют суммарную биоэлектрическую активность малоберцового нерва, в случае "биоэлектрического молчания" срочно скидывают тракцию. Аппарат электронейромиограф передвижной и по габаритам не большее артроскопа, а электроды фиксируются в конечность заранее до укладки. мы электронейромиограф интраоперационно использовали всего 1 раз, и то врач электрофизиолог потом возмущалась, что просидела в операционной целых 2 часа без толку. Буквально в январе или феврале текущего года оперировали молодого парня с укорочением бедра после лечения у костоправа, постараемся найти его случаи с выпиской из истории болезни. С уважением Ерсин Жунусов
|
[
Ответить ]
|
Re: Предел одномоментного удлинения диафиза бедра?
Djoldas Kuldjanov 19 Май 2014, 09:41
|
Для расчета истинного риска во время удлинении мы пользуемся простой формулой, и вместо сантиметра применяем процентное соотношение. Без компромисса мягкой ткани удлинить бедро можно не более чем на 20% от оригинальной длины конечности, а удлинение больше чем на 30% приводит к серьезным осложнениям, к контрактуре. Результаты экспериментальных работ о влиянии удлинения на ткани были опубликованы во множественных международных конференциях ASAMI нашими друзьями из Далласа Михаилом Самчуковым, Мариной Макаровой и Александром Черкашиным. Они доказали, что нерв и мышца переносят на растяжение на 20% длины без потери функции. Потом заканчивается порог растяжимости и в результате чего начинаются необратимые изменения. Реакция на стресс сперва влияет на мышцы и потом на нервные ткани.
Большинство специалистов считают правильным одномоментное удлинение не более чем на 2.5 см . Кроме мониторинга, пока не существует более обьективной формы контроля ишемии нерва, но Wake up test намного эффективней, чем зависеть от специалиста, который читает данные. Спинальная анестезия противопоказание, невозможно читать функцию нерва, и не создает полное расслабление мышц, а без общей анестезии невозможно создать диастаз между отломками..
|
[
Ответить ]
|
Re: Предел одномоментного удлинения диафиза бедра?
Anvar M 19 Май 2014, 16:35
|
Можно вычислять тракцию (растяжения) нерва по формуле.
http://www.bjj.boneandjoint.org.uk/content/76-B/3/471.long
|
[
Ответить ]
|
Re: Предел одномоментного удлинения диафиза бедра?
Отправитель: Alexander Chelnokov 19 Май 2014, 23:05
|
Спасибо, это уже совсем близко. Вот еще нашлась статья - http://www.fesmu.ru/SITE/files/editor/file/dmj/2012/201201/201201_37.pdf. И там ссылка, видимо, на ту же работу Hasegawa (1992), на которую ссылаются и R. M. Aspden, R. W. Porter - "Особое место занимает исследование острого удлинения нервов. Так, при изучении электрофизиологических, морфологических изменений, а также нарушения крово-
тока при остром удлинении седалищного нерва у кроликов автор не выявил значимых изменений при удлинении порядка 5,01% от длины нерва".
|
[
Ответить ]
|
|
Re: Предел одномоментного удлинения диафиза бедра?
Mark Kuznetski 20 Май 2014, 09:26
|
Здравствуйте,
В чем смысл гигантских одномоментных интраоперационных удлинений?
ВЕдь весь смысл репарационного остеогенеза по Илизарову постепенное растягивание регенерата для замещения костного дефекта с минимизацией проблем биологического процесса репарации. Невозможно представить, что сосуды и нервы спокойно переносят подобные эксперименты. Мышцы возможно и выдержат, да только контрактура коленного сустава гарантирована. А что дальше с костным дефектом? Костнопластические операции? Или будет ходить на голом гвозде вплоть до его(гвоздя) усталостного перелома? Что такое эффект памяти мышц? Какие научные статьи по этой теме существуют? Какое значение так называемой памяти мышц при грубом одно моментом удлинении? Существует множество статей о скорости удлинения, в большинстве из них скорость 1-2 мм в сутки, что считается безопасным для нервов и сосудов конечности. Все остальное из области эксперимента по изучению пластических резервов человеческого организма. Существует множество вариантов операций по удлинению конечностей с пост травматическим укорочением, с хорошо отработанной технической стороной. Все эти методы длительные по времени и не предлагают быстрых решений. Надо признать, что человек все-таки не резиновый:-)
С уважением,
Мark Kuznetski MD
Head of Department of Orthopaedic Surgery
North-Estonian Regional Hospital
Tallinn.Estonia.
|
[
Ответить ]
|
Re: Предел одномоментного удлинения диафиза бедра?
Ерсин Жунусов 20 Май 2014, 10:39
|

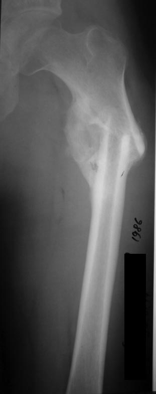
Уважаемые коллеги! Предоставляем один свежих случаев, если что то не так просим строго не судить! С уважением Ерсин Жунусов
|
[
Ответить ]
|
Re: Предел одномоментного удлинения диафиза бедра?
Отправитель: Leonid Solomin 21 Май 2014, 05:56
|
... Вы, конечно, сделали гораздо лучше, чем было до операции. Просто несоблюдение 1-го правила остеотомий (а следом и 2-го) и привели именно к подобному расположению гвоздя и к остаточной деформации. + не вполне ясен подобный вариант блокирования проксимального фрагмента.
С уважением,
Л.Соломин
|
[
Ответить ]
|
Re: Предел одномоментного удлинения диафиза бедра?
Отправитель: Дедок Михаил 22 Май 2014, 00:38
|
А какие это первое и второе правила?
|
[
Ответить ]
|
Re: Предел одномоментного удлинения диафиза бедра?
Отправитель: Leonid Solomin 26 Май 2014, 02:13
|
... "упрощая и сокращая":
1-е: остеотомию следует выполнять на уровне вершины деформации (CORA), сиречь уровне пересечения анатомических или механических осей фрагментов;
2-е (если остеотомия выполнена не на уровне CORA): чем больше расстояние от уровня вершины деформации до уровня остеотомии, тем большее периферическое смещение потребуется для восстановления правильных значений референтных линий и углов (РЛУ).
Подробнее здесь: http://www.rniito.org/download/ortho-suv-course-9-rus.pdf
С уважением,
Л.Соломин
|
[
Ответить ]
|
Re: Предел одномоментного удлинения диафиза бедра?
Отправитель: Lev Lapidus 21 Май 2014, 05:57
|
Извините, но здесь нет удлинения. Просто восстановлена прежняя длина бедра.
Lev Lapidus M.D.
Pediatric Orthopaedic Surgeon
|
[
Ответить ]
|
|
Re: Предел одномоментного удлинения диафиза бедра?
Алексей Семенистый 03 Декабрь 2014, 00:27
|
Александр Николаевич, так как Вы поступили с этим пациентом? Удлинили одномоментно? Постепенно, с выращиванием тракционного регенерата? На сколько?...
|
[
Ответить ]
|
( Ответить )
|
|