вверх
отправить
поиск
админ
главная
|
Посидим. Не спеша подумаем про локтевой сустав ... |
 |
 |
 |
Отправлено Nikita Zadneprovsky 08 Июнь 2014, 17:46
Здравствуйте, коллеги! Сейчас настает пора отпусков и у многих появится время на рассуждения по поводу несложных случаев из практики.
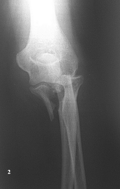
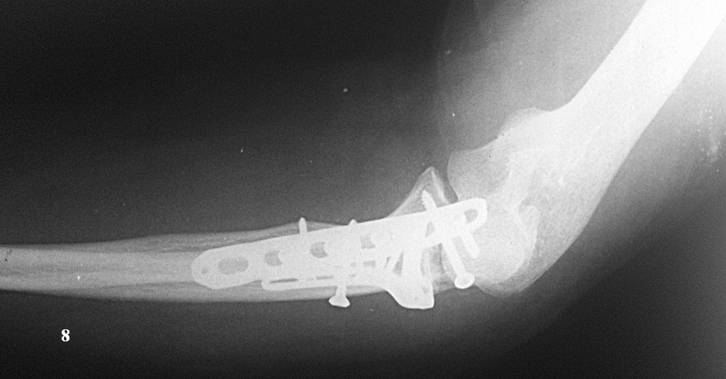
Хочу попросить совета у сообщества по поводу следующего клинического случая. Женщина, 65 лет. Закрытый перелом Монтеджи слева в октябре 2013 года. (рис. 1, 2). Для наглядности сделал скиаграмму перелома (рис. 3, 4). На 8-е сутки накостный остеосинтез пластинами с угловой стабильностью. Головка луча была восстановлена из отломков (рис. 5) и собрана на спицах одну из которых скусили и оставили под пластиной.(рис. 6). Вроде получилось стабильно, видео на операции по этой ссылке:
http://youtu.be/vdeYGTWrTmkНа рентгенограмме тоже вроде ничего. (рис. 7, 8).Из реабилитации порекомендовали заниматься с первого дня движениями в суставе (пронация/супинация, сгибание/разгибание), выполнять несложную домашнюю работу. Видео объма движения на 7-е сутки после операции по ссылке: http://youtu.be/KyPAUmEIhs4
Пациентка времени не теряла и реабилитируясь, между делом, связала вот такой вот свитерок доктору (рис. 9). Тут без комментариев ...
Казалось бы все счастливы, но в середине мая этого года (6 месяцев после операции) со слов больной: "Сидела на кресле, ничего не делала. И тут "щелк" в локте, с болью и легким хрустом при ротации предплечья". На снимке (рис. 10) перелом блок. винта из пластины на головке луча и миграция оставленной спицы. Скиаграмма для наглядности (рис. 11). Посоветовали ограничить движения, обезболивание. и сделать контроль через 3 недели.
Через три недели (7 месяцев после операции) вот такая картина (рис. 12). Блок. винт нашел свою "гавань" и затормозил возле локтевого отростка снаружи. А вот спица продолжает путешествовать и полностью вышла из головки в сторону наружной поверхности локтевого сгиба (рис. 13). При этом боли ушли, хруста нет, объем движений вот по этой ссылке: http://youtu.be/S4JK_Gpzaos
Посоветовали сделать контроль еще через 3 недели. Пациентка придет 27.06.2014. Есть время подумать, что делать с этой спицей и вообще ...
У кого нет времени или желания постить сообщения прошу пройти анонимный веб-опрос по этому случаю (занимает менее 1 минуты). Чем больше будет участников, тем интереснее будут результаты, так что, пожалуйста, примите активное участие. Ссылку на веб-опрос прикрутил тут: http://1drv.ms/TtVpXP
Данные опроса опубликую через 2 недели с результатами и выводами. Честно признаюсь, нет никакого желания "рыться" в поисках спицы в таком деликатном месте. Но где-то читал случай, что обломок спицы из ключицы через несколько лет нашли в плевральной полости и доблестные эндоскописты выудили железку. Вот этот вариант меня очень нервирует и озадачивает. Может выскажутся наши чемпионы по локтевым суставам и не только. Что предпринять?
С уважением,
Никита Николаевич Заднепровский НИИ Скорой Помощи им.Н.В.Склифосовского Отделение сочетанной и множественной травмы 129010 Москва, Большая Сухаревская пл. д.3 Тел: +7 926 483 56 16
<
|
>
|
|
Ответить
|
Re: Посидим. Не спеша подумаем про локтевой сустав ...
katsevman h 08 Июнь 2014, 18:27
|
Я бы посоветовал удалить все болты и пластину с головки луча т.к. мешают и ограничивают движения. .отломанная часть будет мигрировать поэтому желательно удалить
с уважением др Кацевман.
|
[
Ответить ]
|
Re: Посидим. Не спеша подумаем про локтевой сустав ...
Отправитель: Zadneprovskiy Nikita 09 Июнь 2014, 00:47
|
Так ведь ничего не мешает, в том-то и дело. Там в теле письма есть ссылка на видео, объем движений едентичен здоровому суставу.
|
[
Ответить ]
|
|
Re: Посидим. Не спеша подумаем про локтевой сустав ...
Бережной Сергей 08 Июнь 2014, 19:10
|
-время на рассуждения по поводу несложных случаев из практики.
Насчет несложных случаев, мне кажется, Вы немного кокетничаете. Случай достаточно сложный и в техническом и в тактическом планах. Основной вопрос здесь - оставлять или нет головку луча при таком мелкооскольчатом переломе. И вот ответ на этот вопрос Вы старательно обходите. Что сейчас с головкой? Почему вдруг сломался винт и мигрировала спица? Каким был объем движений в локте перед этим, а не через неделю после операции. Можно было бы и КТ сделать, чтобы понять ситуацию. Во вложении - 5-дневной давности немного похожий случай. Хотя и с более тяжелым переломом головки.

Головку удалил. Через 3 дня после операции объем движений уже был таким, как у Вас через 7 дней. Но ведь это ничего не значит в долгосрочной перспективе. Каким он будет через год и позже - вот что важно. И для опроса было бы интересней спросить, кто какую тактику выбрал бы изначально: удаление, остеосинтез или протез? А кусок спицы удалять конечно нужно. И "рыться" в деликатном месте для этого не обязательно. Под рентгенотелевизионным контролем точно прицелиться и кончиком москита удалить.
- Пациентка времени не теряла и реабилитируясь, связала вот такой вот свитерок доктору. Тут без комментариев ...
И это можно прокомментировать. При вязании локтевые суставы практически не задействуются. Работают только кисти, да и то в минимальном объеме. Сам когда то вязал, так что хорошо знаком с этим процессом.
|
[
Ответить ]
|
Re: Посидим. Не спеша подумаем про локтевой сустав ...
Отправитель: Zadneprovskiy Nikita 09 Июнь 2014, 02:11
|
Спасибо за комментарий. Да, в Вашем случае головка луча разрушена полностью и резекция тут оправдана. В нашем же случае шейка луча была сохранена и отсутствовала только 1/3 суставной поверхности. Оставалось только добыть недостающий "пазл" и вернуть на место. Мне кажется, мы поступили правильно пытаясь сохранить свой сустав в данном случае.
Во-вторых, движения восстановили и наверняка переломы срослись. Тут на передней план выползли совсем другие заботы с этой вот спицей.
|
[
Ответить ]
|
|
Re: Посидим. Не спеша подумаем про локтевой сустав ...
Бережной Сергей 08 Июнь 2014, 19:22
|
Не обратил внимания сразу на видео с полным объемом движений сейчас. Но вопрос о причине перелома фиксаторов все равно остается.
|
[
Ответить ]
|
Re: Посидим. Не спеша подумаем про локтевой сустав ...
Отправитель: Zadneprovskiy Nikita 09 Июнь 2014, 02:55
|
А что этот "вопрос" сейчас решит?
|
[
Ответить ]
|
Re: Посидим. Не спеша подумаем про локтевой сустав ...
Отправитель: Бережной Сергей 09 Июнь 2014, 23:46
|

Вопрос в том, не сломается ли дальше еще винт? Или пластина? Не нужно ли удалить фиксаторы уже сейчас? Ладно бы только спица, но почему винт сломался? Значит сохраняется патологическая подвижность.
А примеров "путешествий" отломков можно найти достаточно. Во вложении фрагмент винта, который пришлось доставать из подмышечной впадины при ложном суставе плеча (год после операции) и куски спицы, порвавшейся через 6 лет после эндопротезирования по поводу ложного сустава в подвертельной области (пациентка одна). Хорошо видно, как фрагмент проволоки буквально "обнимает" склерозированный сосуд.
|
[
Ответить ]
|
Re: Посидим. Не спеша подумаем про локтевой сустав ...
Отправитель: Zadneprovskiy Nikita 10 Июнь 2014, 01:35
|
Сергей, спасибо. Картинки миграций впечатляют, что заставляет думать в пользу удаления спицы.
Причины же миграции мне не вполне понятны. Может быть подвижность отломка (некроз, лизис?). Но нестабильность в целом проявляется ведь не только картинкой, но и соответствующей клиникой, например болью, отеком или воспалением. У пациентки из жалоб нет ничего из перечисленного. Вот как тут на показания для удаления всех железок наскрести? Да и нужно ли? Может быть ограничиться вот этими двумя фрагментами фиксаторов.
|
[
Ответить ]
|
|
Re: Посидим. Не спеша подумаем про локтевой сустав ...
erokhin alexandr 08 Июнь 2014, 20:44
|
Я далеко не "чемпион",но вы вроде разрешили всем высказаться...
1.Диагноз,так наверное не совсем перелом Монтеджи,коли был и перелом головки луча и может в 65лет не нужно было головку синтезировать? -Ну,мало вероятно,что женщина на параллельных брусьях будет заниматься. Удалили бы головку и беды бы не знали,не?
2.Может и правда,не стоит за спицей гоняться,если не мешает,правда под ЭОПом попробовать можно. Чего бы и не попробовать при удалении пластины,но без фанатизма.
3. Недавно выложили фото на сайте ДНР,когда спица после фиксации акромиального конца ключицы мигрировала в полость черепа! Посмотрите,я чего-то не нахожу сейчас,так бы прямую ссылку дал.
|
[
Ответить ]
|
Re: Посидим. Не спеша подумаем про локтевой сустав ...
Отправитель: Zadneprovskiy Nikita 09 Июнь 2014, 02:18
|
Александр, спасибо за ответ.
Ваше сообщение про "спицу в черепе" из акромиона сильно напрягло меня ... ))) У кого-нибудь есть еще наблюдения "Про опасные путешествия спицы". Вобщем, "неисповедимы пути ея" ...
|
[
Ответить ]
|
Re: Посидим.
Отправитель: Александр Ситник 10 Июнь 2014, 00:24
|
Наши нейрохирурги в январе прошлого (2013)года доставали спицу Киршнера из СМК на уровне Th10 - лежала аккурат по передней поверхности спинного мозга, проткнув насквозь дуру. За 1,5 года до этого синтезировали (не в нашем ауле) АКС. Снимки на работе - завтра при наличии времени приложу. За последние года 4 вспоминается еще пара подобных случаев.
РНПЦ травматологии ортопедии, Минск
|
[
Ответить ]
|
Re: Посидим. Не спеша подумаем про локтевой сустав ...
Отправитель: Андрей 09 Июнь 2014, 23:51
|
А что такое сайт ДНР?
|
[
Ответить ]
|
Re: Посидим. Не спеша подумаем про локтевой сустав ...
Отправитель: Zadneprovskiy Nikita 10 Июнь 2014, 01:38
|
Это сайт "Доктор На Работе".
|
[
Ответить ]
|
|
Re: Посидим. Не спеша подумаем про локтевой сустав ...
Денис Магсумов 09 Июнь 2014, 20:25
|
Да, КТ не помешало бы. Складывается впечатление... Что "недостающий" пазл ГЛК "просел". Если это так, то сразу вопрос - репозиция на операции была анатомичной? Винты сами по себе не ломаются. Может качество металла? А может особенности фиксации? Подвижность между отломками доканали его? Через ГЛК идет до 70% нагрузки, передаваемой с кисти на плечо... Так что... Вопросов много. Учитывая возраст и низкий уровень запросов к активному образу жизни - предпочел бы резекцию ГЛК.
|
[
Ответить ]
|
Re: Посидим. Не спеша подумаем про локтевой сустав ...
Отправитель: Zadneprovskiy Nikita 10 Июнь 2014, 01:57
|
Денис, спасибо за участие!
На фото, по-моему, более или менее приемлемо получилось с репозицией. А вот делать ли сейчас КТ, чтобы решить вопрос об анатомичность репозиции в прошлом ... ну, не знаю. Дорого ведь для ответа на этот вопрос. Стоит ли игра свеч?
Что-то мне подсказывает что резекция головки, не совсем удачный вариант в данном случае.
Железки хорошие были. Synthes. И установочник оригинальный использовали, т.е. отвертки там и все такое. В общем было все "как учили в автошколе". ))
|
[
Ответить ]
|
|
Re: Посидим. Не спеша подумаем про локтевой сустав ...
Зубенко Андрей 09 Июнь 2014, 23:41
|
Здравствуйте!
Результат сразу после операции мне понравился. Случай действительно сложный (не лукавьте). Конечно нужно было пытаться сохранить головку. Последствия после ее резекции нехорошие (вальгусная деформация в локтевом суставе, боли в радиоульнарных сочлениях при движении и т.д.). А вот миграция спицы, скорей всего, наступила из-за нестабильной фиксации (другой причины не вижу). при наличии ЭОПа мне кажется можно спицу убрать малоинвазивно.
P.S. Повреждение мне кажется называется переломовывих Брехта, а не Монтеджи
|
[
Ответить ]
|
Re: Посидим. Не спеша подумаем про локтевой сустав ...
Отправитель: Zadneprovskiy Nikita 10 Июнь 2014, 02:10
|
Андрей, приветствую!
Это что ни есть типичный перелом Монтеджи. Затем классификация обросла подклассификациями по положению головки и степени разрушения, степени и уровня перелома диафиза локтевой и т.д. и т.п. и все по авторам. Но в целом - это все Монтеджи. Или я отстал от жизни?
Изначально я хотел рассматривать вопрос в рамках "удалять/не удалять" обломки фиксаторов. Поэтому случай отнес к разряду "несложных". И перестаньте давить на меня! :) (шучу). Очевидно, что дискуссия выходит за пределы предполагаемой тематики и на самом деле, действительно, все сложно.
|
[
Ответить ]
|
Re: Посидим. Не спеша подумаем про локтевой сустав ...
Отправитель: Alexey Semenisty 10 Июнь 2014, 19:25
|
Это все-таки "terrible tirade". ... А спицу я бы удалил. И наблюдать.
|
[
Ответить ]
|
|
Re: Посидим. Не спеша подумаем про локтевой сустав ...
Zadneprovskiy Nikita 10 Июнь 2014, 02:16
|
Уважаемые коллеги, не забываем ответить на веб-опрос!
На текущий момент респондентов всего семь, что делает опрос унылым и малоинтересным. На всякий случай еще раз даю ссылку для ответов:
http://1drv.ms/TtVpXP
Спасибо!
|
[
Ответить ]
|
Re: Посидим. Не спеша подумаем про локтевой сустав ...
Михаил 10 Июнь 2014, 11:34
|
По поводу миграции металлоконструкций. Поступил пациент к хирургам по поводу гидроденита("сучьего вымя") на оперативное лечение. Во время проведения операции вызвали травматолога. Оказалось, что на операции наткнулись на на какой-то металл. Травматолог удалил прямоугольный титановый стержень. Из анамнеза: 5 лет назад был выполнен остеосинтез бедра прямоугольным стержнем. При детальном расспросе пациента не мешал ли ему стержень во время миграции, отвечал, что обращался единожды к терапевту в связи с дискомфортом в области ребер. Терапевты ставили диагноз межреберная невралгия.
|
[
Ответить ]
|
Re: Посидим. Не спеша подумаем про локтевой сустав ...
Женя 11 Июнь 2014, 01:45
|
Добрый вечер! Ну вот, свитерок-то и посодействовал всем этим "чудесам":-))))У меня был случай в конце 80-х ХХ века - после корректного (субхондрального)синтеза перелома шейки бедра пучком из 8 спиц и сращения перелома через 4-5 мес., спицы мигрировали кнаружи под кожу и все 8 концов были удалены. Далее в связи с уро-гинекологическими жалобами на снимках в м/тазу был обнаружен 3-4 см кусочек спицы! Т.е. одна из спиц сломалась в процессе сращения, и ОСТРЫЙ конец мигрировал в таз! Обломок был удален внебрюшинно из полости м/таза. Видимо, часть "мозаики", сложенной вами из головки, наверное лизировалась + движения - все "поехало". Пациентка у вас под рукой - СЛЕДИТЕ за ней, НАСТОРОЖИТЕ ее, и все. Спица-то тупая. А гоняясь за железом потеряете замечательный функциональный результат!
|
[
Ответить ]
|
Re: Посидим. Не спеша подумаем про локтевой сустав ...
Nikita Zadneprovsky 23 Июнь 2014, 09:28
|
Итак, прошло 2 недели с начала веб-опроса по данному случаю. Всего приняло участие 28 человек. Веб-опрос с этого момента закрываю. Всем кто ответил - спасибо!
Результаты:
1. Самое активное участие в опросе приняли травматологи со стажем работы от 5 до 10 лет, что составило 33%.
Самый низкий процент участия оказался у травматологов со стажем от 20 до 25 лет (4% - 1 человек!)
2. В вопросе удалять винт или нет, голоса разделились ровно наполовину (50/50%) между всеми травматологами.
3. В вопросе удалять ли спицу, в целом за удаление в срочном порядке высказалось 64% респондентов.
Интересно, что внутри групп, результаты оказались почти одинаковыми у травматологов с минимальным (менее 5 лет) и максимальным стажем (более 25 лет). У тех и у других по 50% за удаление.
Выводы:
1. Через неделю буду настаивать на удалении спицы и винта. Рентгенологический контроль покажу по готовности.
2. В частной беседе с зарубежными специалистами дана резко негативная оценка по тактике остеосинтеза спицей в данном случае и вообще. В частности говорилось, что спицы никогда не должны находиться в местах где их нельзя легко удалить. Например, можно концы спиц оставить подкожно, снаружи, но никогда не "замуровывать". Негативные последствия этого мы увидели в нашем примере.
Тем кому интересны более подробые сведения, результаты опроса представлены в прикрепленной Excel таблице.
Надеюсь было познавательно как нам так и участникам дискуссии. Еще раз спасибо!
|
[
Ответить ]
|
( Ответить )
|
|