AOTRAUMA.ORG Центр Илизарова  

Ортопедия и травматология Общие вопросы/General questions Help Информационные технологии в медицине
 вверх
 отправить
 поиск
 админ
 главная


Деформация стопы
Ортопедия и травматология Отправлено Артем 20 Февраль 2015, 09:06
Уважаемые коллеги! Прошу помощь в выборе тактики лечения пациента с деформацией стопы.
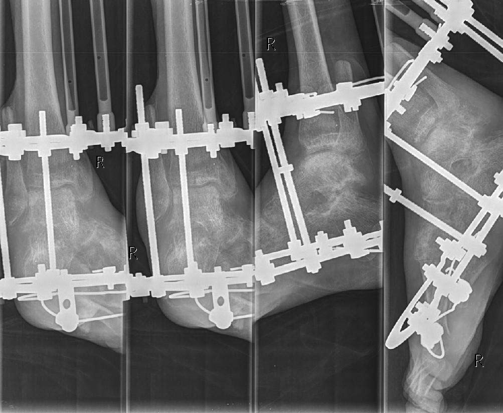
На лечении находится пациент 19 лет, получивший травму в августе 2014года, по поводу чего проходил лечение в ряде ЛУ. В настоящее время имеем правую стопу,вэквино-варусном положении, дефект диафиза малоберцовой кости около 8 см. с дефектом мышцнаружной группы мышц правой голени, кожный покров восстановлен пластически.

Прирентгенографии: подвывих стопы кнутри, выраженный остеопороз. Левая нижняя конечностьэкзартикулирована в тазобедренном суставе. Планируем первым этапом устранить деформациюв аппарате Илизарова, затем выполнить артродез. Здесь возник вопрос: выполнить артродезтолько голеностопного или совместно с подтаранным суставом. Каково Ваше мнение?
Спасибо!

<  |  >

 

  • Сообщения о Ортопедия и травматология
  • Также Артем
  • Связаться с автором
  • Ответить

    Re: Деформация стопы
    Носов Олег Борисович, в.н.с. отделения микрохирургии 20 Февраль 2015, 13:34
    Добрый день. Для обсуждения метода лечения желательно на форум представить рентгенографию голени,голеностопного сустава,стопы и фото голени пациента.Если нет дегенеративных изменений в подтаранном суставе, то лучше ограничится артродезом голеностопного сустава.
    [ Ответить ]

    Re: Деформация стопы
    Артем 20 Февраль 2015, 22:58

    Добавляю фото и рентгенограммы.

    [ Ответить ]

    • Re: Деформация стопы
      Отправитель: Артем 21 Февраль 2015, 20:36


      [ Ответить ]
      • Re: Деформация стопы
        Отправитель: Носов Олег Борисович 22 Февраль 2015, 09:49
        Учитывая выраженные изменения в подтаранном суставе и для восстановления опороспособности конечности целесообразно выполнить панартродез в аппарате.

        [ Ответить ]
        • Re: Деформация стопы
          Отправитель: артур керимов 22 Февраль 2015, 19:23
          Учитывая рисунок на простыне, пациент имеет право лечиться в госпиталях МО РФ?! ЕСЛИ так, пишите в личку, поможем

          [ Ответить ]
    Re: Деформация стопы
    Paul 24 Февраль 2015, 09:22
    Если сделать исследование артериального кровотока, то может подумать о панартродезе стержнем с блокированием (для метафизарных переломов).
    [ Ответить ]

    • Re: Деформация стопы
      Отправитель: Александр Стаханов 01 Март 2015, 01:44
      Думаю, что после редрессации в апарате Илизарова нужно сделать панартродез с предварительным удлинением ахиллова сухожилия. Фиксация по усмотрению и возможностям оперируещего хирурга.

      [ Ответить ]
    Re: Деформация стопы
    Артем 03 Март 2015, 23:28
    Уважаемые коллеги! Спасибо за советы! Сегодня выполнен артродез голеностопного сустава винтами, подтаранный сустав решили оставить "на потом".
    [ Ответить ]


    ( Ответить )

    Powered by Zope  Squishdot Powered MedLink
    Посетитель: 0167964
      "По форме правильно, а по существу - издевательство" В.И.Ленин
    ©2001-2019Orthoforum Coordinator.
    [ Главная | Отправить сообщение | Поиск | Админ ]