AOTRAUMA.ORG Центр Илизарова  

Ортопедия и травматология Общие вопросы/General questions Help Информационные технологии в медицине
 вверх
 отправить
 поиск
 админ
 главная


Снимок т/б сустава
Ортопедия и травматология Отправлено Zinchuk 15 Апрель 2015, 10:39
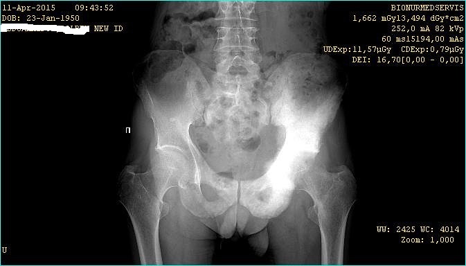
Прошу помощи в анализе представленного снимка.
Христос Воскресе!
Здравствуйте уважаемые коллеги. Хочу просить помощи в анализе представленного снимка. Пациент прислал по сети и попросили прокомментировать. У меня возникли затруднения с дифференцировкой данного новообразования и поэтому прошу помощи коллег, возможно, кто-то встречал в своей практике подобные случаи.

<  |  >

 

  • Сообщения о Ортопедия и травматология
  • Также Zinchuk
  • Связаться с автором
  • Ответить

    Re: Снимок т/б сустава
    Илья 15 Апрель 2015, 18:34
    Попробуйте поинтересоваться тут:
    http://radiomed.ru/
    http://radiographia.ru/forum
    [ Ответить ]

    Re: Снимок т/б сустава
    Пивень Игорь Михайлович 15 Апрель 2015, 19:25
    Возможно болезнь Педжета
    [ Ответить ]

    Re: Снимок т/б сустава
    Роман 16 Апрель 2015, 23:09
    Саркома таза?
    [ Ответить ]

    • Re: Снимок т/б сустава
      Отправитель: Зинчук 16 Апрель 2015, 23:34
      Со слов родственников брали биопсию но точного ответа не получили. В анамнезе 2005 субтотальая резекция желудка. Я рекомендовал сцинтиграфию. Если родственники прислушаются то возможно отпишутся о результате...

      [ Ответить ]
      • Re: Снимок т/б сустава
        Отправитель: Зинчук 20 Апрель 2015, 13:46
        На сцинтиграфии накопление характерно для метастазов.

        [ Ответить ]

     

    ( Ответить )

    Powered by Zope  Squishdot Powered MedLink
    Посетитель: 0221011
      "По форме правильно, а по существу - издевательство" В.И.Ленин
    ©2001-2019Orthoforum Coordinator.
    [ Главная | Отправить сообщение | Поиск | Админ ]