AOTRAUMA.ORG Центр Илизарова  

Ортопедия и травматология Общие вопросы/General questions Help Информационные технологии в медицине
 вверх
 отправить
 поиск
 админ
 главная


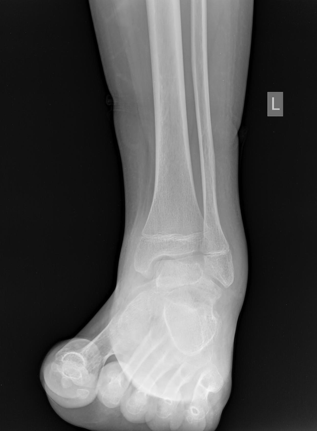
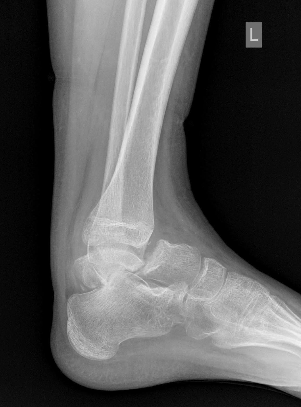
Нелеченный перелом шейки таранной кости у 14-летнего подростка
Ортопедия и травматология Отправлено Alexander Chelnokov 27 Июнь 2015, 15:49
Травма 2 мес. назад. На снимках перелом шейки таранной кости в детской больнице не увидели.
Сказали, мол, растяжение - наступай. Ну вот он и наступает. Сейчас ходит с тростью.

Что делать? Подтаранный артродез с gjgsnrjq сохранить голеностопный сустав, или большеберцово-пяточный блок с использованием остатка таранной кости в качестве трансплантата?
A boy 14 was referred yesterday.
Injured 2 mnth ago, the fracture was missed somewhere, and he was recommended to walk. And he was trying to do this all that time. Now he is able to walk with cane.
Either subtalar fusion with attempt of ankle preservation, or tibio-calcaneal fusion with the use of remnant of the talar dome as a graft?
How would you manage this case?

<  |  >

 

  • Сообщения о Ортопедия и травматология
  • Также Alexander Chelnokov
  • Связаться с автором
  • Ответить

    Re: Нелеченный перелом шейки таранной кости у 14-летнего подростка
    Nitin Kimmatkar 27 Июнь 2015, 15:50
    Dear Sir
    Please get a CT Scan with 3D reconstruction
    Nitin
    [ Ответить ]

    • Re: Нелеченный перелом шейки таранной кости у 14-летнего подростка
      Отправитель: Alexander Chelnokov 27 Июнь 2015, 15:52
      To answer what particular question?

      [ Ответить ]
    Re: Нелеченный перелом шейки таранной кости у 14-летнего подростка
    Карабенюк Александр 27 Июнь 2015, 15:51
    Посоветовавшись с коллегами, для начала необходимо выполнить КТ.
    С уважением, Карабенюк Александр.

    [ Ответить ]

    Re: Нелеченный перелом шейки таранной кости у 14-летнего подростка
    Pravin Nepal 27 Июнь 2015, 15:52
    Dear Alexander Chelnokov,
    Thank for sharing this patient for discussion. Does he have pain while walking? His growth plates are still visible, I would go for subtalar fusion.


    With regards,
    Pravin Nepal
    [ Ответить ]

    Re: Нелеченный перелом шейки таранной кости у 14-летнего подростка
    Dr. M. P. Shrivastava 27 Июнь 2015, 15:53
    You could go for Blair fusion. We have done such fusion in more than 16 cases with satisfactory outcome.

    Mahesh Shrivastava
    Nepal Medical College Teaching Hospital
    [ Ответить ]

    Re: Нелеченный перелом шейки таранной кости у 14-летнего подростка
    Obremskey, William T 27 Июнь 2015, 15:55
    Fix the neck. Reduce the ST joint and fuse it if it looks unsalvageable. You can always fuse ST joint later if painful.
    [ Ответить ]

    • Re: Нелеченный перелом шейки таранной кости у 14-летнего подростка
      Отправитель: Zuidema, WP 27 Июнь 2015, 15:56
      Dear colleagues,

      I fully agree with collegue Obremskey proposal. I think that is the way to go.
      Best Regards,
      Wietse


      [ Ответить ]
    • Re: Нелеченный перелом шейки таранной кости у 14-летнего подростка
      Отправитель: Heather Vallier MD 27 Июнь 2015, 15:57
      I have treated a few of these on a delayed basis in adults and achieved union of the talus fx. I bet it will heal and may not leave him w/ symptomatic PTOA.
      I would ORIF through 2 incisions w/ autograft/structural. You could always fuse ST jt later if needed.
      How long ago was the injury?

      [ Ответить ]
      • Re: Нелеченный перелом шейки таранной кости у 14-летнего подростка
        Отправитель: Alexander Chelnokov 27 Июнь 2015, 15:58
        ~2 months.

        [ Ответить ]
        • Re: Нелеченный перелом шейки таранной кости у 14-летнего подростка
          Отправитель: Heather Vallier MD 27 Июнь 2015, 16:01
          I would definitely try to fix/retain jts
          Best wishes!

          [ Ответить ]
      • Re: Нелеченный перелом шейки таранной кости у 14-летнего подростка
        Отправитель: Timothy Bray 27 Июнь 2015, 16:00
        Agree, create bleeding surfaces, autograph, miniplates, try to protect ankle+ST joints. Bray


        [ Ответить ]
    Re: Нелеченный перелом шейки таранной кости у 14-летнего подростка
    Chris Wise 27 Июнь 2015, 15:59
    I would also at least give an attempt at getting a delayed ORIF to work in such a young person.

    [ Ответить ]

    Re: Нелеченный перелом шейки таранной кости у 14-летнего подростка
    Alberto Padilla 27 Июнь 2015, 16:02
    Try to preserve the talus. ORIF w/ screws or mini plates, bone graft( Bone Marrow?).

    [ Ответить ]

    Re: Нелеченный перелом шейки таранной кости у 14-летнего подростка
    Paul 29 Июнь 2015, 15:29
    У 14 летнего, при отсутствии некроза блока таранной кости (снимки МРТ), может быть успешна операция остеосинтеза таранной кости, с предварительной дисстракцией на уровне г/с сустава.
    [ Ответить ]

    Re: Нелеченный перелом шейки таранной кости у 14-летнего подростка
    Paul 29 Июнь 2015, 15:30
    У 14 летнего, при отсутствии некроза блока таранной кости (снимки МРТ), может быть успешна операция остеосинтеза таранной кости, с предварительной дистракцией на уровне г/с сустава.
    [ Ответить ]

    Re: Нелеченный перелом шейки таранной кости у 14-летнего подростка
    Др.Бaхтамян 30 Июнь 2015, 09:38
    Уважаемый Др.Челноков,
    Согласен с мнением коллег насчет необходимости в остеосинтеза. Одно смущает:есть коллапс блока или это за счет сиещения. Рекомендую сделать КТ с 3D реконструкцией
    [ Ответить ]

    Re: Нелеченный перелом шейки таранной кости у 14-летнего подростка
    Ушаков Сергей 30 Июнь 2015, 17:48
    Добрый день, коллеги! Может звучать прозаично, но 5 лет назад, аналогичная травма у моего Сына 15 лет 12 м + блок тарана.Оперирован при поступлении. В наст вр КМС по скалолазанью
    У данного пациента вернее всего некроз блока таранной кости, но головка сохранена, поэтому оптимален дистракционный остеосинтез по Илизарову с упором б/берцовой кости в пятку и артродез головки тарана. Все возможно на штифте, этапно, проблема одна КСГ для детей до 15 лет у нас не работают
    С уважением Ушаков СА
    [ Ответить ]

    Re: Нелеченный перелом шейки таранной кости у 14-летнего подростка
    Данила Курышев 01 Июль 2015, 03:22
    Уважаемый Александр Николаевич! Где Вы берёте таких интересных больных? :)
    По факту представленного - моё робкое и скромное мнение детского травматолога: тело таранной кости серьёзно разрушено и коллабировано. Попытки что-либо восстановить при помощи дистракции, открытой репозиции, аллографтинга, вероятнее всего, обречены. Это будет очень мучительно, технически трудно и малоэффективно, несмотря на возраст больного. По снимка складывается впечатление - подтаранный артродез уже происходит - вероятно, с этим связано большое количество рекомендаций зарубежных коллег выполнить CT. Время срочных действий, скорее всего - упущено. О полной нагрузке весом в этот период времени после травмы- не может быть и речи.Очень вероятны проблемы имеющегося смещения отломков кзади с возникновением невропатии заднего большеберцового нерва. На мой взгляд - наименьшей по травматичности и пригодной к данной ситуации, конечно, когда больной об этом попросит, была бы малоинвазивная стержневая фиксация по типу "тибиально-пяточный блок" ретроградного исполнения.
    С глубоким уважением!
    [ Ответить ]


    ( Ответить )

    Powered by Zope  Squishdot Powered MedLink
    Посетитель: 0070197
      "По форме правильно, а по существу - издевательство" В.И.Ленин
    ©2001-2019Orthoforum Coordinator.
    [ Главная | Отправить сообщение | Поиск | Админ ]