Ответить
|
Re: Перелом плато и диафиза большеберцовой кости
Анатолий 21 Июль 2015, 10:26
|
Остеосинтез по Илизарову
Фото2407.jpg
462KB (473508 bytes)
|
[
Ответить ]
|
Re: Перелом плато и диафиза большеберцовой кости
Отправитель: Иван 21 Июль 2015, 11:27
|
Спасибо за ответ, но в данном случае мы не рассматриваем аппаратные методы лечения.
Я, все же, более настроен на погружной остеосинтез.
При полностью открытом переломе и с сильными проблемами с мягкими тканями - согласен с аппаратом на все 100. Но в данном случае на аппарат я не настроен.
|
[
Ответить ]
|
|
Re: Перелом плато и диафиза большеберцовой кости
Молодой специалист 21 Июль 2015, 13:02
|
Уважаемый коллега! Если Вы не ограниченны в возможностях, не хотите ли рассмотреть вариант остеосинтеза одной пластиной? По моему у Synthes есть система LISS для б/б кости.
|
[
Ответить ]
|
Re: Перелом плато и диафиза большеберцовой кости
Отправитель: Иван 22 Июль 2015, 00:18
|
Обсуждался и такой вариант развития событий. Но, у Synthes пластина на голень самая длинная 300 мм. Это бы оптимально подошло. Однако, пластины такой длины в России нет. Все остальное - коротко будет.
Да и синтез длинной пластиной, хоть бы и разумеется, МИПО все равно получится достаточно травматично для мягких тканей. Да и с учетом раны на голени тоже не хотелось бы рисковать.
|
[
Ответить ]
|
|
Re: Перелом плато и диафиза большеберцовой кости
миронов андрей 21 Июль 2015, 15:47
|
Доброго всем дня. На мой взгляд, только канюлированные винты для плато в данном случае не вариант( присмотритесь, перелом идет до в/3). Налачие раны по передней поверхности голени, заживающая вторично, не добавит радости для ORIF при работе на обеих уровнях. Я все таки склоняюсь к ЧКДО апп.Илизарова(можно скомбинировать с винтами для дополнительной фиксации мыщелков).
С ув.Андрей
PS: независимо от варианта оперативного лечения покажите п/операционные снимки. Заранее спасибо
|
[
Ответить ]
|
Re: Перелом плато и диафиза большеберцовой кости
Отправитель: Иван 22 Июль 2015, 00:24
|
Спасибо за ответ.
Да, конечно, я видел линию перелома, идущую до верхней трети. И, разумеется, только одних винтов будет не достаточно. Но по мимо винтов в мыщелки я планирую БИОС. А на стержне перелом верхней трети будет достаточно стабилен после проксимального блокирования.
Вот то что рана не доставит радости при ORIF - это 100%. Вот почему хочется сделать все максимально закрыто.
Результат, разумеется, выложу. Планируем брать на операцию в середине следующей недели.
|
[
Ответить ]
|
Re: Перелом плато и диафиза большеберцовой кости
Отправитель: Иван 30 Июль 2015, 21:21
|
П/операционные снимки выложил.
|
[
Ответить ]
|
|
Re: Перелом плато и диафиза большеберцовой кости
Александр 21 Июль 2015, 15:56
|
После заживления раны в АВФ ORIF по MIPO "километровой" пластиной. Этого будет достаточно вполне.
|
[
Ответить ]
|
Re: Перелом плато и диафиза большеберцовой кости
Николай 21 Июль 2015, 19:48
|
Добрый вечер, коллеги. Оперативное вмешательство начинать только после полного заживления раны. Единственным вариантом вижу использование удлиненной опорной мыщелковой пластины (у компании DC длина до 270мм). Операцию можно делать через 2 разреза (малоинвазивная методика): один для репозиции и фиксации перелома мыщелка, другой дистальнее зоны перелома. Репозицию перелома в с\3 производить под контроле ЭОП. Да и после репозиции мыщелкового перелома и устранении импрессии возможно понадобится костный трансплантат.
|
[
Ответить ]
|
Re: Перелом плато и диафиза большеберцовой кости
Отправитель: Иван 22 Июль 2015, 00:30
|
270 будет коротко. Это получится только 2 винта в дистальном отломке.
Было бы неплохо 300, но таковой в России нет.
Про устранение импрессии - вот это вопрос для меня открытый. С одной стороны импрессия небольшая и в центральной зоне плато. И все же я склоняюсь к тому, что бы ей пренебречь и добиться хорошей репозиции мыщелков закрыто, не открывая сустав.
С другой стороны - она есть и вроде как положено ее устранить с целью анатомической репозиции внутрисуставного перелома.
|
[
Ответить ]
|
Re: Перелом плато и диафиза большеберцовой кости
Отправитель: Александр Ситник 23 Июль 2015, 01:02
|
270 будет коротко. Это получится только 2 винта в дистальном отломке.
Было бы неплохо 300, но таковой в России нет.
- нам в Беларусь "Остеосинтез" из Рыбинска прекрасно поставляет LCP-PLT и 300, и 330 мм.
|
[
Ответить ]
|
Re: Перелом плато и диафиза большеберцовой кости
Отправитель: Alexander Chelnokov 24 Июль 2015, 01:16
|
А, вот куда делись все длинные пластины.
|
[
Ответить ]
|
|
Re: Перелом плато и диафиза большеберцовой кости
Anatoly Lazarev 21 Июль 2015, 20:49
|
Операция по А.Н.Челнокову.
Оставить дистрактор - репозиция не плохая. Рафтинг винтами
с учетом БИОС miss a nail - БИОС снятие дстрактора после прохождения плоскости излома
с непрямой ли прямой закрытой репозиции винтообразного перелома.
Где-то так. Удачи.
ЛАФ
|
[
Ответить ]
|
Re: Перелом плато и диафиза большеберцовой кости
Отправитель: Иван 22 Июль 2015, 00:56
|
Спасибо за комментарий.
Именно к этому и склоняюсь.
|
[
Ответить ]
|
Re: Перелом плато и диафиза большеберцовой кости
Отправитель: Alexander Chelnokov 22 Июль 2015, 10:50
|
Не знал, что это "по Челнокову". Но действительно, возможность не использовать отдельную пластину для мыщелков тут есть - и винты мимо гвоздя, и винты сквозь специализированный гвоздь с большим количеством проксимальных отверстий позволят фиксировать даже после элевации и замещения дефекта (если этот элемент операции понадобится).
|
[
Ответить ]
|
|
Re: Перелом плато и диафиза большеберцовой кости
Олег Башинский 22 Июль 2015, 01:23
|
Вечер добрый! Недавно был такой случай, искал длинную пластину, у Synthes тогда тоже не было, прооперировали больного пластиной Zimmer NCB 13 отверстий, длина 330 мм. Удачи!
|
[
Ответить ]
|
Re: Перелом плато и диафиза большеберцовой кости
Андрей 22 Июль 2015, 01:40
|
Я-за операцию по А.Н.Челнокову!
|
[
Ответить ]
|
Re: Перелом плато и диафиза большеберцовой кости
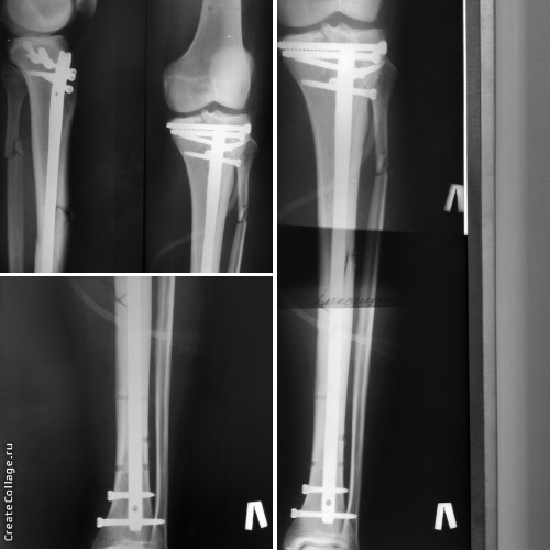
Иван 30 Июль 2015, 17:55
|

Результат
|
[
Ответить ]
|
Re: Перелом плато и диафиза большеберцовой кости
Отправитель: Иван 30 Июль 2015, 20:58
|
Реимпакция всё же понадобилась, без нее не получалась репозиция плато.
Реимпакция была сделана закрыто под ЭОП. Фрагмент импрессии был хорошо виден. После этого - репозиция, МОС канюлированными винтами, БИОС. Проксимальный блокировка 3 винтами 5,0.
|
[
Ответить ]
|
|
( Ответить )
|