AOTRAUMA.ORG Центр Илизарова  

Ортопедия и травматология Общие вопросы/General questions Help Информационные технологии в медицине
 вверх
 отправить
 поиск
 админ
 главная


Остеомиелит костей стопы
Ортопедия и травматология Отправлено Николай 18 Сентябрь 2016, 18:06
Доброго времени суток уважаемые коллеги! Прошу разобрать клинический случай и в итоге возможно помочь разобраться и определиться в тактике лечения окончательно.
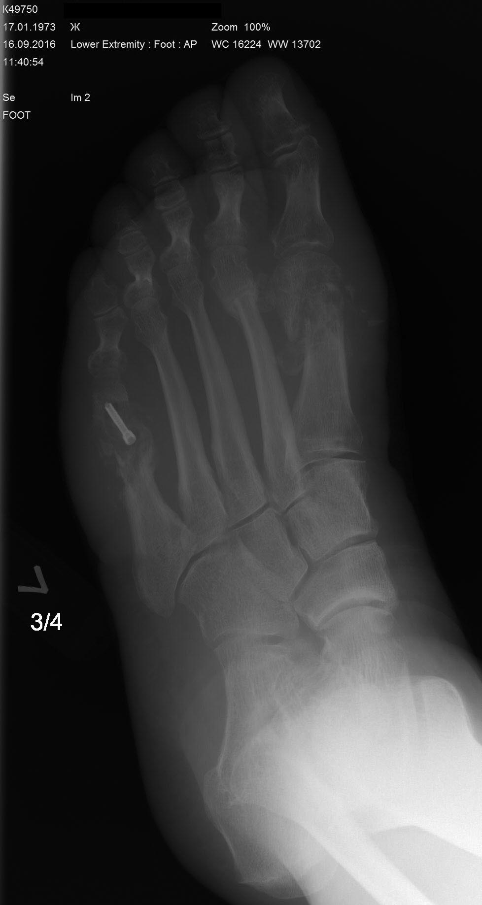
Пациентка 40 лет. Оперирована в июне 2016г- реконструктивная операция на 1-й плюсневой кости левой стопы по поводу вальгусной деформации 1-го пальца и на 5-й плюсневой по поводу деформации Тейлора. В стационаре после операции провела 5 дней, выписана в удовлетворительном состоянии со спокойными п/о ранами. Через 6 недель у пациентки в области п/о рубца в проекции 1-й плюсневой кости открывается свищ. Пациентка амбулаторно перевязывается.

Через 8 недель на Р-контроле выявляется миграция винта в 1-й плюсневой кости, который амбулаторно удален. Пациентка в этот момент жалуется только на отечность переднего отдела стопы и отделяемого свища. Лихорадку пациентка отрицает. В крови С-реактивный белок в норме, лейкоцитарная формула тоже в пределах нормы.
Через 10 недель пациентка приносит Р-контроль где имеются отчетливые признаки резорбции костной ткани в 1-й и 5-й плюсневых костях.
Пациентка направлена на оперативное лечение. 3 дня назад выполнена операция- секвестрэктомия 1-й и 5-й плюсневой кости и установлена вакуум-система. В качестве иммобилизации установлена гипсовая иммобилизация. На завтра планирую под наркозом снова произвести промывание ран с заменой полиуретановых губок и продолжить вакуум терапию. После вакуума планирую аппарат внешней фиксации и открыто вести раны. Это мой первый опыт в лечении остеомиелита на стопе!

У кого какое мнение по этому клиническому случаю, кто имел опыт лечения подобного? Прошу высказаться, посоветовать:))! Заранее спасибо!!!

<  |  >

 

  • Сообщения о Ортопедия и травматология
  • Также Николай
  • Связаться с автором
  • Ответить

    Re: Остеомиелит костей стопы
    Виталий черевцов 19 Сентябрь 2016, 03:12
    Здравствуйте, коллега! Была подобная ситуация! Первое что нужно делать удалит металл в зонах, подозреваемых на инфекцию! Второе не переживать! Моя пациентка даже с металлом вышла из ситуации отлично! Проводилась антибактериальная терапия таваник месяц , ванночки вечером утром марганцовка! Нагрузку оставили туфли барука, то есть дистально стопу разгружать нужно Всё таки, гипс, наверное, лишнее! Попробуйте!
    [ Ответить ]

    Re: Остеомиелит костей стопы
    Бережной Сергей 19 Сентябрь 2016, 23:04
    Не очень понятно, представленные снимки были сделаны до или после секвестрэктомии? Удален ли винт из пятой плюсневой? Когда и как (открыто или чрескожно) была выполнена остеотомия второй плюсневой кости? Был ли и где располагался свищ перед Вашей операцией? Ведь если при такой рентгенологической картине имеется всего один свищ в проекции первой плюсневой, нужно думать об обширном поражении тканей стопы. Что за отделяемое Вы обнаружили во время секвестрэктомии? Реальный гной? Были ли затеки, обнаружена ли общая полость между 1-й и 5-й плюсневыми? Через какие доступы была выполнена секвестрэктомия? Вовлечена ли, на Ваш взгляд, в процесс зона вмешательства на второй плюсневой? Действительно ли нужен аппарат внешней фиксации? Головка первой плюсневой не имеет никаких признаков консолидации? Без ответа на эти вопросы советовать сложно, описание не подробное и ситуация не понятна.
    [ Ответить ]

    Re: Остеомиелит костей стопы
    Юрий Алексеевич Булахтин 21 Сентябрь 2016, 02:48
    Николай, здравствуйте!

    Для уточнения состояния пациентки и определения тактики дальнейшего лечения сделайте КТ и фотографии стоп.

    С уважением,Юрий Алексеевич Булахтин

    Камчатский Военно - морской госпиталь
    [ Ответить ]

    Re: Остеомиелит костей стопы
    Бек 21 Сентябрь 2016, 10:47
    С перва Бак посев из раны
    После лечение инф далее подумаете
    [ Ответить ]


    ( Ответить )

    Powered by Zope  Squishdot Powered MedLink
    Посетитель: 0000144
      "По форме правильно, а по существу - издевательство" В.И.Ленин
    ©2001-2019Orthoforum Coordinator.
    [ Главная | Отправить сообщение | Поиск | Админ ]