AOTRAUMA.ORG Центр Илизарова  

Ортопедия и травматология Общие вопросы/General questions Help Информационные технологии в медицине
 ВХОД ДЛЯ ПАЦИЕНТОВ
 вверх
 поиск
 админ
 главная
 исходное


Re: Тазобедренные суставы
послал Djoldas Kuldjanov 19 Февраль 2019, 01:48
Уважаемые друзья,

В вопросе лечения дисплазии основное внимание уделяют сохранению сустава, и успех зависит от времени обнаружения патологии. Паллиативное и поддерживающее лечение в течение 20 лет не обрадует больных, а только поможет разрушить сустав основательно. Чем ранее выявляются патологии, тем легче помочь, потому что для молодого возраста существуют разные тазовые остеотомии, которые со временем восстановят сустав. Но парадокс в том, что такие больные в большинстве случаев первичную консультацию получают у врачей общего профиля, где из-за недостаточного знания диагностики патологии тазобедренного сустава могут ситуацию интерпретировать неправильно. Запоздалая диагностика происходит также из-за того, что в молодом возрасте сустав более эластичен и выдерживает нестабильность, но с возрастом, особенно с увеличением веса, теряется подвижность, сустав реагирует симптомами боли! Появление щелчка можно связать с повреждением лабрального хряща, но это легко проверяется на МРТ с гадолинием!

Восстановительные операции в большинстве обходятся без дорогих имплантатов, и некоторые Российские центры начали популяризировать технику восстановления. Операции без поддержки компаний, плюс отрицательная оценка со стороны чрезмерно активных коллег, особенно под влиянием агрессивных представителей, и из-за сложности и трудоемкости такие операции не стали широко популярными среди врачей. Они с легкостью соглашаются на артропластику даже в молодом возрасте!

Диагностика дисплазии и импинжмента не такая сложная, на основании обычных стандартных исследовании. Прямой таз, прямой снимок каждого сустава и боковой, иногда требуется снимки в ротации: внутренняя и наружная, в аддукции и абдукции!




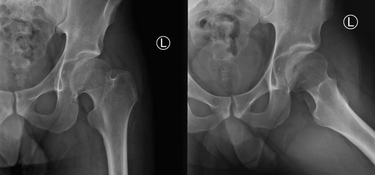
На представленном снимке (frog lateral) хорошо можно увидеть шейку и головку, но для данной патологии требуется false profile view! Для удобства приложил некоторые укладки: false profile и снимок с нормальными параметрами сустава (синими указаны центр край угол). Здесь имеется измененная и деформированная диспластическая форма головки, где огромный размер, выходя за пределы вертлужной впадины, создает иллюзию подвывиха. Очень узкая нагрузочная площадь и почти негативный (center-edge angle of Wiberg), потому что вертикаль (зеленая) от центра головки проходит с латеральной стороны. Контур передней стенки (синий) показывает что покрывает головку мало, а задняя стенка (красная) больших размеров доказывает что сустав развернут кпереди. Возможно за счет укладки, на рентгене слева шейка вроде короткая.

Для определения диагноза, кроме рентген снимков, необходим клинический осмотр. При таком суставе внутренняя ротация конечности увеличивается, а наружная ротация лимитирована. Чрезмерная флексия и ротация покажет симптомы повреждения лабрального хряща.

В данном случае имеется возможность сохранить сустав, рекомендуется остеотомия таза, которая увеличит нагружаемую поверхность и улучшит переднее покрытие. Тройная остеотомия имеет свои отрицательные стороны, например, из-за вовлечения задней колонны затягивается восстановление и бывают проблемы в акушерской практике. PAO (периацетабулярная остеотомия) таза позволяет исправить все деформации через один передний доступ.


Djoldas Kuldjanov, MD.
Professor Dept. of Orthopedic Surgery
Saint Louis University
Chief of Ortho Trauma Saint Louis University Hospital

Послать ответ

Имя
Email
Уведомление Сообщить мне по e-mail об ответах на это сообщение
Название
Комментарий
(Проверьте URL! Не забудьте написать http://!)
Кодировка
Если не знаете, что выбрать, выберите "Просто текст"!
Приложение
Можно приложить к сообщению файл c изображением, который затем будет доступен увидевшим сообщение.
Подготовка иллюстраций:
  • Рентгенограммы: черно-белые полутоновые изображения в формате JPEG (8 bit, greyscale) с разрешением от 300х200 до 1024х768 пикселов;
  • Клинические фотографии: полноцветные изображения в формате JPEG (24 bit, truecolor) с разрешением от 300х200 до 1024х768 пикселов;
  • Схемы и рисунки: черно-белые (2 bit) штриховые (line-art) изображения в формате GIF или compressed TIFF
  • Подберите степень сжатия файла JPEG и размер изображения таким образом, чтобы необходимые детали были различимы, но размер файла не превышал 75 кб.
  • Учтите, что текущая версия программного обеспечения Форума позволяет приложить к одному сообщению лишь один файл-вложение. Поэтому, если необходимо отправить несколько изображений, можно либо послать каждое как отдельное сообщение, либо в графическом редакторе объединить изображения в одно (сделать коллаж).
  • Если при подготовке изображений встречаются трудности, не стесняйтесь обратиться к координатору Форума.

  • Введите видимые символы в обратном порядке. Enter the above characters in reverse order (*Обязательно)
    В тексте сообщения можно использовать теги HTML <B> <I> <P> <A> <LI> <OL> <UL> <EM> <BR> <TT> <HR> <STRONG> <BLOCKQUOTE> <DIV .*> <DIV> <P .*>
  • Обратите внимание: Поля с жирными названиями обязательны.
  • Старайтесь отвечать в рамках обсуждаемой темы, а не начинать новые обсуждения.
  • Указывайте адекватную тему сообщения, чтобы было ясно, о чем оно.
  • Не послайте сообщений не по теме (оффтопик), раздраженных, грубых или обидных комментариев. Здесь это неуместно.
  • Powered by Zope  Squishdot Powered MedLink
    Посетитель: 0000058
      "По форме правильно, а по существу - издевательство" В.И.Ленин
    ©2001-2019Orthoforum Coordinator.
    [ Главная | Отправить сообщение | Поиск | Админ ]