AOTRAUMA.ORG Центр Илизарова  

Ортопедия и травматология Общие вопросы/General questions Help Информационные технологии в медицине
 вверх
 отправить
 поиск
 админ
 главная


сочетанная травма
Ортопедия и травматология Отправлено Сергей 30 Ноябрь 2021, 18:22
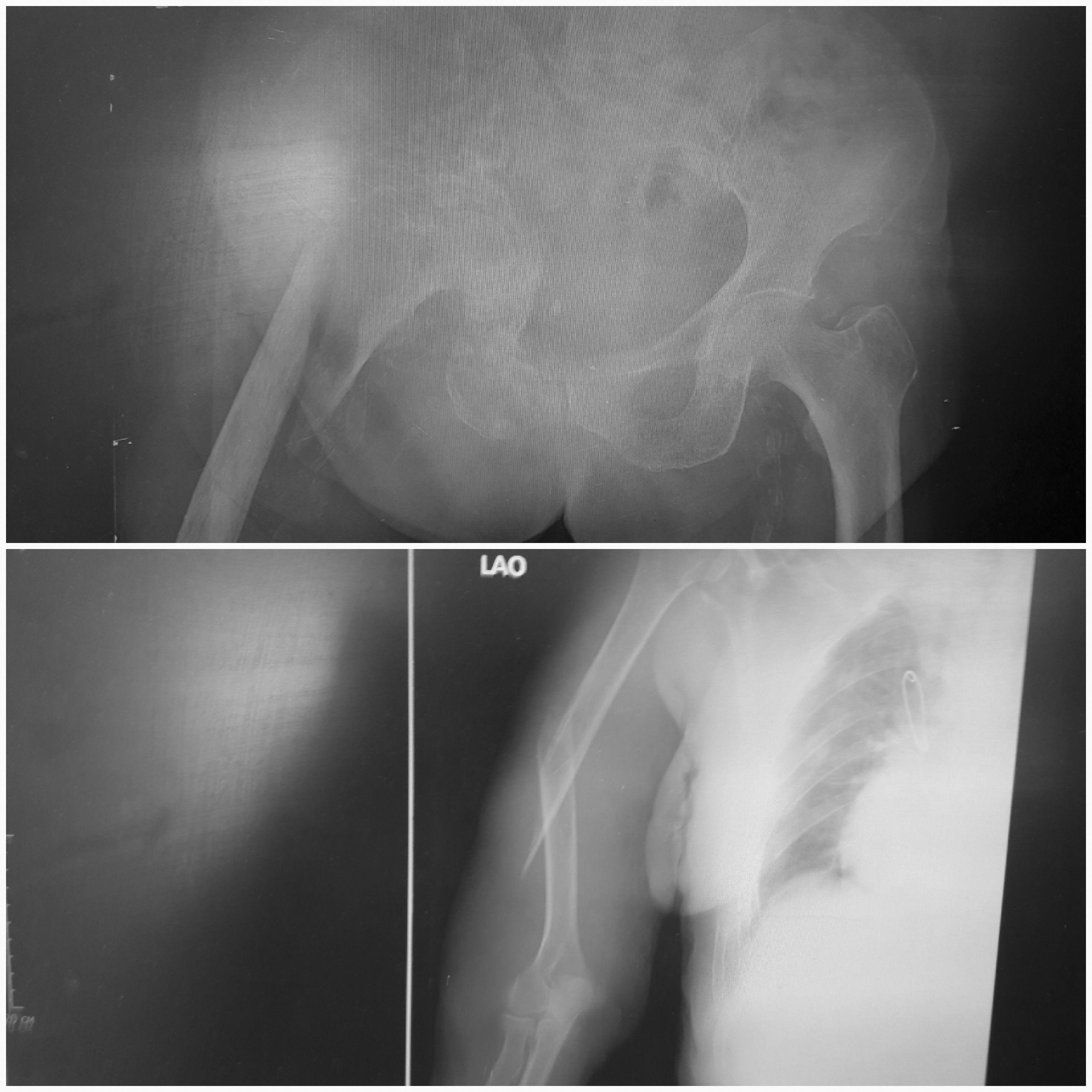
Уважаемые коллеги, поступила больная 88 лет

Перелом подвертельный винтообразный бедренной кости справа на фоне застарелого неоартроза и центрального вывиха правого бедра( качество снимка страдает) на фоне остеолитических изменений в костях таза и др. костях.Cr mammae, симптомат.лечение получает. + "винт"диафиза правого плеча справа. Есть когнитивные нарушения не выраженные, фибрилляция предсердий, легкие левосторонний компенсированный гемипарез. До травмы, со слов родственников ходила "на руках", "в позе гориллы"(сохранена оригинальная речь) по квартире. Первый вариант сразу-не трогать, не оперировать, сменился размышлениями, а дальше-что?Если этапно оперировать, что в первую очередь? И каким образом синтезировать бедро, которое упирается б.вертелом в таз?

Ковид | Остеосинтез при глубокой умственной отсталости  >

 

  • Сообщения о Ортопедия и травматология
  • Также Сергей
  • Связаться с автором
  • Ответить

    Re: сочетанная травма
    Сергей 02 Декабрь 2021, 08:41
    снимок еще
    Кликните для загрузки файла 20211201_173947.jpg
    6519KB (6676230 bytes)

    [ Ответить ]

    Re: сочетанная травма
    Сергей 02 Декабрь 2021, 14:02
    +снимки
    Кликните для загрузки файла 20211202_164834.jpg
    4910KB (5028233 bytes)

    [ Ответить ]

    Re: сочетанная травма
    Paul 04 Декабрь 2021, 12:58
    На бедре и плече признаки остеопороза и остеомаляции (паралитическая сторона). Наиболее актуальным вижу интрамедуллярную фиксацию - гаама на бедро и стержень в плечевую кость... Но, в условиях тотальной ковидной сегрегации вряд ли найдутся герои...
    [ Ответить ]

    • Re: сочетанная травма
      Отправитель: Анатолий 07 Декабрь 2021, 21:43
      Какой способ установки гамма-стержня Вы предлагаете при таких особенностях анатомии проксимального бедра?

      [ Ответить ]
      • Re: сочетанная травма
        Отправитель: Paul 08 Декабрь 2021, 11:34
        Спасибо! Да, гамма не зайдет. Осталось только ретроградное введение. Думаю, что в данном случае
        - все это чистая теория.

        [ Ответить ]
        • Re: сочетанная травма
          Отправитель: Сергей 14 Декабрь 2021, 16:48
          В общем больная заболела COVID. Теперь думаю оперативное лечение отменяется.

          [ Ответить ]

     

    ( Ответить )

    Powered by Zope  Squishdot Powered MedLink
    Посетитель: 0202886
      "По форме правильно, а по существу - издевательство" В.И.Ленин
    ©2001-2019Orthoforum Coordinator.
    [ Главная | Отправить сообщение | Поиск | Админ ]