AOTRAUMA.ORG Центр Илизарова  

Ортопедия и травматология Общие вопросы/General questions Help Информационные технологии в медицине
 вверх
 отправить
 поиск
 админ
 главная
 Предыдущее
 Весь тред


Re: Перелом бедра
Alexey Rounkov 14 Март 2003, 23:17




1


Сегодня на приеме был пациент, чьи начальный снимок напомнил обсуждаемый сейчас (см. выше). Снимки в других проекциях, показывающие истинный характер повреждения, ниже. Это inlet проекция (вход в таз) и запирательная проекция Judet.






1

2





  • Сообщения о Help
  • Также Alexey Rounkov
  • Связаться с автором
  • Ответить

    Re: Перелом бедра
    Владимир 15 Март 2003, 00:53
    Судя по сообщению, больному проводилось какае-то лечени. Чем произведен остеосинтез, в какие сроки посли травмы, каваи снимок после этого ?
    Спасибо.
    [ Ответить ]

    • Re: Перелом бедра
      Отправитель: Alexey Rounkov 15 Март 2003, 10:05
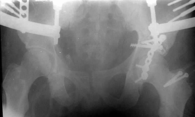
      Травма 17 ноября 2002 г., поступил к нам 1 декабря, оперирован 8-го - открытая репозиция, остеосинтез пластинками и винтами. Учитывая повреждение переднего полукольца справа, и крестца и крестцово-подвздошного сочленения слева, наложили аппарат на 2 месяца.
      Для экономии места привожу интра- и послеоперационный обзорный снимок, без дополнительных проекций.







      1

      2



      [ Ответить ]

     

    ( Ответить )

    Powered by Zope  Squishdot Powered MedLink
    Посетитель: 0204430
      "По форме правильно, а по существу - издевательство" В.И.Ленин
    ©2001-2019Orthoforum Coordinator.
    [ Главная | Отправить сообщение | Поиск | Админ ]