AOTRAUMA.ORG Центр Илизарова  

Ортопедия и травматология Общие вопросы/General questions Help Информационные технологии в медицине
 вверх
 отправить
 поиск
 админ
 главная


LISS?
Ортопедия и травматология Отправлено Alexander Chelnokov 09 Ноябрь 2004, 01:05
Дорогие коллеги,На прошедшем в Польше мероприятии от коллег из Ярославля услышали, что производство LISSпрекращено. У кого-нибудь есть подробности - отчего, почему, так ли это вообще?
In the recent meeting in Poland rumours circulated that Synthes/Mathys shut down LISS production. Have you heard about this? Any comments?

<  |  >

 

  • Сообщения о Ортопедия и травматология
  • Также Alexander Chelnokov
  • Связаться с автором
  • Ответить

    Re: LISS?
    Djoldas Kuldjanov, M.D. 09 Ноябрь 2004, 01:26
    Bullshit!!
    Прекрасный имплант!
    Только что я звонил в Синтез и разговаривал с Саманта Жойн, кто отвечает за обучение в Синтез США, слов о
    прекращении продукта не знает.
    По этому принципу Condylar Locking plate by Synthes буквально новый имплант поступил от Smith&Nephew proximal and dital femur locking plate.

    Джолдас
    [ Ответить ]

    Re: LISS?
    Юрий Алексеевич Булахтин 09 Ноябрь 2004, 01:27
    Какаято ошибка. Вчера говорил с представителями "МАТИСА", они с гордостью говорят, что предлагают весь спектр пластин с угловой стабильностью. Может, наоборот, перестали делать LCP?

    Ю.А. Булахтин
    [ Ответить ]

    Re: LISS?
    Michal Kedzierski 09 Ноябрь 2004, 01:33
    Dear Alexander
    I am polish orthopedic surgeon, I was on AO course in October in Warsaw and one of the topic was about MIPO and LISS systems. I think in my personal opinion that is only rumours.
    Your sincerely Michal Kedzierski
    [ Ответить ]

    • Re: LISS?
      Отправитель: Enes M. Kanlic 09 Ноябрь 2004, 22:05
      Dear friends,
      Less Invasive Stabilization System (LISS) is around at least from 1977 (Krettek's group from Hannover, Germany, had first publications in Injury); before that PC-Fix (Point Contact Fixator) was in use, mostly in Europe.

      The main advantages of the system are:
      - Fixed angle screw-plate interface (locked screw head inside of the plate;
      similar to spine systems - pedicular screws) allowing for:
      a. Much higher resistance to pull out forces
      b. No need to penetrate opposite cortex (especially advantageous in using just one cortex in periprosthetic fractures...)
      c. Less screws are necessary with longer plates (bridge plating technique)
      d. More biological technique (at least the opportunity): the additional damage of the periosteum by plate is minimized ("internal fixator")...

      This is a truly revolution in ortho-trauma and locking plating systems are very dominant now (at least in western countries). Mathys (Synthes) was the first manufacturer (started with Distal Femoral LISS), and now the other big companies (Smith and Nephew, Ace-Depuy) have it available as well..

      I hope this helps,

      Enes M. Kanlic,
      MD, MS, PhD, FACS
      Associate Professor

      [ Ответить ]
      • Re: LISS?
        Отправитель: Alexander Chelnokov 09 Ноябрь 2004, 23:44
        The rumours reached me were about the initial distal femoral LISS, of course not about the entire LCP concept - i've heard the LISS with its jig is being replaced with the modern LCP. Any comments?

        [ Ответить ]
        • Re: LISS?
          Отправитель: Enes M. Kanlic 09 Ноябрь 2004, 23:49






















          Alex,
          I "scanned" the messages to fast, hopefully discussion still will be beneficial for some?

          Synthes 4.5 mm LCP (Locking Condylar Plate) is slightly different, more anatomical shape and larger (wider) than original LISS. I personally use it when I have more difficult, Type C fractures where larger incision is necessary in order to reconstruct the joint.

          For cases with less comminution and those that require longer plates (more involvement of distal third of femur), I rather go with LISS because is
          possible to put the screws truly percutaneously (stab incisions, outside guide). Both systems are available and in use... :) .



          Enes M. Kanlic,
          MD, MS, PhD, FACS
          Associate Professor

          [ Ответить ]
          • Re: LISS?
            Отправитель: Alexander Chelnokov 10 Ноябрь 2004, 00:03
            KEMMD> when I have more difficult, Type C fractures where larger incision is
            KEMMD> necessary in order to reconstruct the joint.

            I see.

            KEMMD> For cases with less comminution and those that require longer plates (more
            KEMMD> involvement of distal third of femur), I rather go with LISS because is
            KEMMD> possible to put the screws truly percutaneously (stab incisions, outside

            The presented case is a turn to the previous discussion initiated by Zsolt Balogh. In your case antegrade nailing to me woud have been best choice and since the joint was not involved immediate full weight-bearing would have been allowed. Why the locked plate was superior for you?

            KEMMD> Both systems are available and in use... :) .

            So the rumours are still not confirmed.

            [ Ответить ]
            • Re: LISS?
              Отправитель: Enes M. Kanlic 13 Ноябрь 2004, 19:43

























              Dear colleagues,

              1. Percutaneous nailing is truly minimally invasive technique, but, unfortunately, nails are not reliable in many hands.
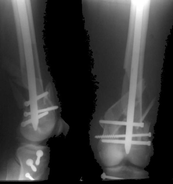
              Attached are few examples from our Hospital:

              A. Difficult reductions, even in retrograde nailing (my preference, easier control of "small" distal fragment) and it is much, much harder to do it anterograde (Alex, do you have one good case in your collection of anterograde nailing in very distal fractures - as you have suggested that I
              should have done it in my previously posted case?
              Malpositioning is much too common (recurvatum, varus - valgus).
              B. Fixation loosening: distal cutting of the nail, non-unions do happen (cases attached).

              Locking Plating has more distal screws than any nail, fixed angles and provides much better fixation, especially in osteoporotic bone.

              Dr. Melamed: Principles for LISS and LCP are the same, again - LISS has outrigger helping for more percutaneous technique.

              Sincerely,

              Enes M. Kanlic,
              MD, MS, PhD, FACS
              Associate Professor


              [ Ответить ]
              • Re: LISS?
                Отправитель: Alexander Chelnokov 14 Ноябрь 2004, 00:42

























                KEMMD> unfortunately, nails are not reliable in many hands.
                KEMMD> Attached are few examples from our Hospital:

                Axial malalignment and hardware cut-out in poor bone stock is a common problem for any fixation technique. Except Ilizarov-based - "with external fixator we control the situation, without - the situation controls us" :-)

                KEMMD> A. Difficult reductions, even in retrograde nailing (my preference, easier
                KEMMD> control of "small" distal fragment) and it is much, much harder to do it
                KEMMD> anterograde

                Depends on reduction techniques. Though i know some virtuosos who applied ex-fix without any preliminary traction and reached perfect reduction, it is not a reproducible technology. So using of reduction aids is necessary - in our case it is still the Ilizarov.

                KEMMD> (Alex, do you have one good case in your collection of
                KEMMD> anterograde nailing in very distal fractures - as you have

                I presented a series of ~25 such cases at EuroTrauma'2004. Many cases were discussed here. I attach am example. Look also recent cases at http://www.hwbf.org/hwb/conf/alex58/scfx.htm,
                http://www.hwbf.org/hwb/conf/alex63/alex63.htm

                KEMMD> Malpositioning is much too common (recurvatum, varus - valgus).

                Did you mark valgus malalignment in that case with LISS you posted Nov 9? Aplication of external distractor can help to avoid the pitfalls but some further development of the technology is necessary to shorten the learning curve.

                KEMMD> B. Fixation loosening: distal cutting of the nail, non-unions do happen
                KEMMD> (cases attached).

                The nail can be unlocked in the proximal fragment to prevent it.
                Though severe osteoporosis needs special measures - bone substitute insertion into the bone itself and screw holes looks very promising. Western colleagues must be more happy with Norian SRS
                available.

                KEMMD> Locking Plating has more distal screws than any nail,

                In the nails we use now the distal screw is about 3 mm from the nail tip. Many vendors AFAIK in their modern implants moved holes more close to the ends of nails.

                KEMMD> fixed angles and
                KEMMD> provides much better fixation, especially in osteoporotic bone.

                There are some experimental studies on that subject which demonstrated no big differencies:
                -Biomechanical Evaluation of the Less Invasive Stabilization System (LISS), Angled Blade Plate, and Retrograde Intramedullary Nail for the Fixation of Distal Femur Fractures: An Osteoporotic Cadaveric Model Michael Zlowodzki et al., OTA Annual Meeting, 2002.
                -Comparison of the LISS and a Retrograde Inserted Supracondylar Intramedullary Nail for Fixation of a Periprosthetic Distal Femur Fracture Proximal to a Total Knee Arthroplasty
                M. R. Bong et al., 2002г. OTA Annual Meeting, 2002

                And a recent clinical report:

                =================================
                Clin Orthop. 2004 Sep(426):252-7.

                Femur-LISS and distal femoral nail for fixation of distal femoral fractures: are there differences in outcome and complications?

                Markmiller M, Konrad G, Sudkamp N.

                Department Orthopadie und Traumatologie, Klinik fur Traumatologie, Universitatsklinikum, Freiburg, Germany. Markmill@ch11.ukl.uni-freiburg.de

                We evaluated the functional and radiologic outcomes after stabilization of distal femoral fractures using the distal femoral nail and a less invasive stabilization system to determine if the new implants are superior to other implants (especially the condylar blade plate) regarding the rates of axial deviation, nonunion, and infection and if one of these new implants (Less Invasive Stabilization System, or distal femoral nail) is superior to the other.
                Two groups, each with 16 patients, were documented prospectively and the results were compared. To record the findings objectively, the Lysholm-Gillquist score was used. A conversion procedure was done in two patients in the plate group and one patient of the nail group. At the 1-year followup mobility of the knee was on average 110 degrees in the plate group and 103 degrees in the nail group. The Lysholm-Gillquist score did not show any significant differences between the groups. There were clinically relevant varus or outer rotation deviations in
                three patients in the plate group and two patients in the nail group. The two minimally invasive implants used were good in terms of technique and outcome for treatment of distal femoral fractures and did not differ significantly for epidemiology, fracture type, conversion procedures, infection rate, malalignments, and subjective and objective findings at the 1-year followup.
                They were also superior to the condylar plate in terms of infection and axial malalignments.
                =================================

                [ Ответить ]
                • Re: LISS?
                  Отправитель: Enes Kanlic 15 Ноябрь 2004, 09:14
                  Alex,
                  I do realize that you are master surgeon, and congratulations on another excellent, spectacular case (result), but,
                  - Your last posted case: how is possible to have secure fixation with applied construct without additional casting, bracing or Ilizarov?

                  - I believe that one technique is good and to be recommended to others, only if most of the surgeons in most of the cases could achieve acceptable (more than 70%) good result (importance of large series, multiple surgeons results published in peer reviewed journals).

                  Again, Locking Plating is minimally invasive, SUBCUTANEOUS INTERNAL FIXATION and I believe for the most surgeons preferred method of treatment for distal femur fractures (I do not have any financial interest with any of the manufacturers, parties).

                  Thanks,

                  Enes M. Kanlic,
                  MD, MS, PhD, FACS
                  Associate Professor

                  [ Ответить ]
                  • Re: LISS?
                    Отправитель: Alexander Chelnokov 15 Ноябрь 2004, 20:31

















                    Dear Enes,

                    Sunday, November 14, 2004, 8:57:21 PM, you wrote:

                    KEMMD> I do realize that you are master surgeon,

                    I'd like to avoid personal appraisals...

                    KEMMD> and congratulations on another excellent, spectacular case (result),

                    THX, initial images are
                    1,
                    2.

                    KEMMD> - Your last posted case: how is possible to have secure fixation with
                    KEMMD> applied construct without additional casting, bracing or Ilizarov?

                    At that moment we had in stock only the 10 mm solid nails so of course there was no idea about early weight bearing. But it was quite enough for early knee ROM excersises (see attached). Two locking screws through the distal block provided that.

                    KEMMD> - I believe that one technique is good and to be recommended to others, only
                    KEMMD> if most of the surgeons in most of the cases could achieve acceptable (more
                    KEMMD> than 70%) good result

                    Imagine if G. Ilizarov adopted this approach - the technique would had never been released from his clinic :-)
                    Of course if we talk about antegrade nailing in distal femoral fractures with the particular technique even better than 70% results can be achieved - after appropriate learning curve, not so long.
                    Another problem may be dominant - in the US AFAIK one can not use Ilizarov rings and other part as a reduction tool for internal fixation because the Ilizarov's parts are single-use, so total cost of implants for one surgery is to be too high.

                    KEMMD> (importance of large series, multiple surgeons results
                    KEMMD> published in peer reviewed journals).

                    Large series are needed to reveal nuances and slight differencies between techniques. In the discussed case capabilities of the technique are self-evident.

                    KEMMD> Again, Locking Plating is minimally invasive, SUBCUTANEOUS
                    KEMMD> INTERNAL FIXATION

                    Characteristic of locking nailing hardly ever sounds less attractive...

                    KEMMD> and I believe for the most surgeons preferred
                    KEMMD> method of treatment for distal femur fractures

                    A new toy is more interesting and fashionable. And anyway it is not panacea, i have already seen presentations with LISS failures like the attached one presented by D.Seligson. And people also demonstrated incisions say that the method is not so LESS invasive as it supposed to be.

                    KEMMD> (I do not have any financial interest with any of the

                    Maybe we here do - if equal or better results are reached with $100 implant, why use the $1100 one?

                    [ Ответить ]
      • Re: LISS?
        Отправитель: Alexander Chelnokov 12 Ноябрь 2004, 19:21
        KEMMD> Less Invasive Stabilization System (LISS) is around at least from 1977

        1977 - not a typo? Maybe 1997?

        [ Ответить ]
      • Re: LISS?
        Отправитель: Eitan Melamed 12 Ноябрь 2004, 19:25
        Does the LCP system relies on the same principle??

        Eitan Melamed

        [ Ответить ]

     

    ( Ответить )

    Powered by Zope  Squishdot Powered MedLink
    Посетитель: 0022186
      "По форме правильно, а по существу - издевательство" В.И.Ленин
    ©2001-2019Orthoforum Coordinator.
    [ Главная | Отправить сообщение | Поиск | Админ ]