AOTRAUMA.ORG Центр Илизарова  

Ортопедия и травматология Общие вопросы/General questions Help Информационные технологии в медицине
 вверх
 отправить
 поиск
 админ
 главная


Дефект дистального плеча
Ортопедия и травматология Отправлено Djoldas Kuldjanov 03 Декабрь 2004, 23:04
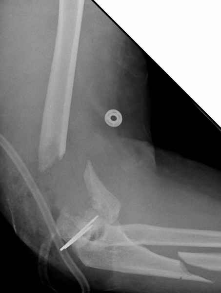
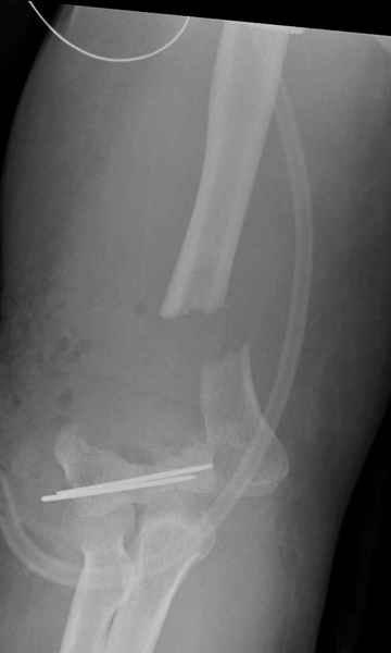
Уважаемые коллеги,Поступила больная 43 лет с 3В открытым переломомправого плеча, мягкотканым и костным дефектом. После получения автотравмы, первичная обработка сделана в другом учреждении, затем переведена к нам.
При первичной обработке сделан дебрайдмент, ревизия раны, суставной фрагмент плеча состоящий из трех частей: головчатая и трохлеа, зафиксировал друг к другу двумя спицами, лучевой нерв не работает, но повреждения не было обнаружена на протяжении 13 см, также обнаружен интактный локтевой нерв на протяжении 3 см. Временный наружный фиксатор наложен на верхнюю конечность, ваккумный постоянный отсос на мягкие ткани. Дважды проба из раны на чувствительность аэробную и анаэробную микрофлору - пока отрицательная.Мой план на сегодня, через пару часов: фиксация локтевой кости 3.5 мм локинг пластиной, возможно для стабилизации маленьких дистальных фрагментов и для удержания в олекранон фосса, провести шуруп или спицу, спицы через олекранон, цемент с антибиотиком на месте дефекта и ждать, когда мои коллеги из пластической хирургии закроют рану.Мои партнеры советуют, после заживления - дистальную артропластику или костный графт, но у меня сомнения, некуда зафиксировать в дистальном отделе, у кого другие мнения?Джолдас Кульджанов

<  |  >

 

  • Сообщения о Ортопедия и травматология
  • Также Djoldas Kuldjanov
  • Связаться с автором
  • Ответить

    Re: Дефект дистального плеча
    Steven Rabin 04 Декабрь 2004, 14:19
    I'm thinking that a tumor prosthesis would be the best option.

    Maybe I can get our elbow or tumor guy to take it off your hands, if you agree to take the infected supracondylar nonunion that I posted about 2 weeks ago! We can trade!

    steve rabin
    [ Ответить ]

    Re: Дефект дистального плеча
    Alexander Chelnokov 04 Декабрь 2004, 14:23
    Мне кажется, онкологический протез был бы оптимальным вариантом. Все другие методы не будут иметь сопоставимых шансов на сохранение движений в локтевом суставе. То есть закрыть мягкие ткани и протезировать, можно и перелом локтевой кости синтезировать ножкой протеза.
    [ Ответить ]

    Re: Дефект дистального плеча
    Michael Berenstein 04 Декабрь 2004, 14:57
    Уважаемый Джолдас

    Подходит для Илизарова. После закрытия кожного дефекта bone transport или острое укорочение и удлиннение через проксимальную остеотомию. Я лично предпочитаю транспорт т.к. думаю что важно сохранить нормальную длину мягких тканей на протяжении всего лечения. Конечно придется фиксировать локтевой сустав до сращения

    Удачи
    М. Беренштейн
    [ Ответить ]

    Re: Дефект дистального плеча
    андрей крылов 04 Декабрь 2004, 15:14
    Привет Джолдас.
    Мне кажется, что на первом этапе необходимо фиксировать локтевую кость. и по возможности лучше собрать оставшиеся фрагменты локтевого сустава.
    Фиксация сустава аппаратом внешней фиксации. Что уже сделано.
    Затем наблюдение за состоянием лучевого и локтевого нервов. При отсутствии положительой неврологической динамики. Восстановление длины плечевой кости костная пластика + пластина.
    То есть добиться восполнения косметического дефекта.
    Если будет наблюдаться стойкая положительная неврологическая динамика, то мое мнение - эндопротезирование.
    Низведение костного фрагмента при помощии аппатата - навсегда "закроет" локтевой сустав.
    С уважением Андрей Крылов

    [ Ответить ]

    • Re: Дефект дистального плеча
      Отправитель: Alexander Chelnokov 04 Декабрь 2004, 16:37
      ак> Затем наблюдение за состоянием лучевого и локтевого нервов. При
      ак> отсутствии положительой неврологической динамики. Восстановление длины

      Зачем наблюдать за динамикой, теряя время? Контузия лучевого нерва потребует для восстановления 4-6 мес., за это время перспектива на восстановление движений может стать призрачной.

      ак> Если будет наблюдаться стойкая положительная неврологическая динамика,
      ак> то мое мнение - эндопротезирование.

      Нервы пострадали не на уровне плечевого сплетения, надо полагать. Если функция бицепса и трицепса сегодня сохранены, то есть смысл сразу их и
      использовать. Если сгибание пальцев сохранено, то и кисть уже функциональна.

      ак> Низведение костного фрагмента при помощии аппатата - навсегда
      ак> "закроет" локтевой сустав.

      Вполне вероятно.

      [ Ответить ]
    Re: Дефект дистального плеча
    Nikolaj Wolfson 07 Декабрь 2004, 10:21
    Hello Djoldas:

    This can be a great case:
    1. Acute compression of the proximal and distal Fragments with Ilizarov type of fixation, in other words: acuter shortening, No soft tissue coverage with plastic surgery might be needed. Elbow will have to be flexed about or more than 90 degrees
    2. Check vascular status of the hand. Position elbow at the angle that will allow closure of the wound and circulation of the distal part of the limb
    3. After 3 or sow weeks more proximal osteotomy of the humerus with simultaneous correction of the distal compression of the humerus and lengthening through the proximal humerus osteotomy.
    4. Extend frame to the forearm with a hinge to allow elbow range of motion.
    5. Only one problem: your colleagues both plastic surgeons and orthopods may disagree with this approach.

    Good luck whatever you decide to do.

    Nikolaj Wolfson
    [ Ответить ]


    ( Ответить )

    Powered by Zope  Squishdot Powered MedLink
    Посетитель: 0408507
      "По форме правильно, а по существу - издевательство" В.И.Ленин
    ©2001-2019Orthoforum Coordinator.
    [ Главная | Отправить сообщение | Поиск | Админ ]