AOTRAUMA.ORG Центр Илизарова  

Ортопедия и травматология Общие вопросы/General questions Help Информационные технологии в медицине
 вверх
 отправить
 поиск
 админ
 главная
 Предыдущее


Re: дистальный тиб.фиб. перелом
Evgueny Tchekashkine 31 Март 2005, 00:45
Уважаемый Виталий Евгеньевич,

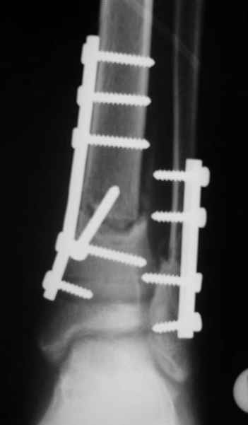
Помятуя наш недавний разговор о фиксации м.б. кост, высылаю послеоперационные картинки..












Напомню- разбирали случай 17 летнего молодого человека перелом дист тиб.фиб. хирургия после 3 недель с момента травмы( безуспешные попытки закрытой репозиции) Раны заживают первичным натяжением, занимается физиотерапией, пока никаких проблем не наблюдается

Всего доброго,
Евгений Чекашкин
  • Сообщения о Ортопедия и травматология
  • Также Evgueny Tchekashkine
  • Связаться с автором
  • Ответить

    Re: дистальный тиб.фиб. перелом
    Alexander Chelnokov 31 Март 2005, 00:50
    Как ты тут оцениваешь восстановление оси большеберцовой кости?
    Является ли рутинной практикой у вас использовать снимок противоположной конечности как шаблон для измерения осевых отклонений?
    [ Ответить ]

    • Re: дистальный тиб.фиб. перелом
      Отправитель: Evgueny Tchekashkine 01 Апрель 2005, 22:45
      Как ты тут оцениваешь восстановление оси большеберцовой кости?


      Согласный я с тобой:-)) есть остаточная вальгусная деформация (по снимку видно перекрывание дист. фрагментом б.б по латеральной поверхности проксимальноо фагмента на 2-3 мм и наружная лодыжка репонирована с укорочением, судя по прямой проекции. Необходимость использования интраоперационно дистрактора была бы оправдана (вручную было непросто *вытянуть* дистальный отломок.)

      > Является ли рутинной практикой у вас использовать снимок
      > противоположной конечности как шаблон для измерения осевых
      > отклонений?

      Нет, рутинным не назовешь, в данном случае отклонение оси видно и невооруженным взглядом без сравнения со здоровой стороной. Сравнительную осевую оценку со здоровой стороной использую только при планировании коррегирующих остеотомий.

      Всего Доброго,
      Евгений

      [ Ответить ]
    Re: дистальный тиб.фиб. перелом
    Vitaly Kazennov 01 Апрель 2005, 22:41
    Уважаемый Евгений,

    На мой взгляд, Ваша демонстрация неожиданно добавила перцу. Если память мне не изменяет, я говорил об отсутствии показаний к остеосинтезу малоберцовой.
    Сейчас можно заикнуться о вредности этой манипуляции с точки зрения риска фиксации в неправильном положении, как это получилось у Вашего пациента. Сначала фиксировали большеберцовую, и надо было на этом остановиться, ин май хамбл опиньон. Потом при закручивании винтов на мощнейшей второй пластине сустав увело на вальгус. С учетом того, что пацану всего 17, я бы удалил пластину с малоберцовой и попытался тем или иным способом устранить смещение, пока не срослось.

    Извините, если что не так,

    Казеннов, Хабаровск
    [ Ответить ]

    • Re: дистальный тиб.фиб. перелом
      Отправитель: Evgueny Tchekashkine 02 Апрель 2005, 12:12
      Виталий Евгеньевич , приветствую,

      Спасибо за комментарии, Да, и извиняться, вроде бы не за что?!
      Все так и не совсем - последовательность процедуры( я уже, кажется, упоминал)открыл зону перелома б.б., оценил мобильность фрагментов при очевидном смещении - отрепонировать вручную не получилось и понятна причина. Открыл область перелома м.б. отрепонировал( как мне показалось вполне адекватно) и фиксировал пластиной. ПРи ревизии зоны перелома б.б. положение фрагментов улучшилось, но сохранялось остаточное смещение дистального фрагмента кпереди хоть и незначительное, которое устранил и фиксировал межфрагментарным винтом, далее пластина. Конечно, следовало интраоперационно проконтролировать РГ, откровенно говоря, не ожидал, что постоп контроль будет так выглядить, показалось , что достигнутая репозиция вполне адекватна.....
      Согласен с вашей рекомендацией (пока парень отпросился на выходные домой, а по возвращении будет разговор) Кстати ваш аргумент в пользу важности адекватной репозиции м.б. .... Поскольку оставшийся вальгус ничем , кроме, как укорочением м.б не объяснить - для ревизии приготовлю дистрактор.

      ВСего Доброго,
      Евгений Чекашкин

      [ Ответить ]
      • Re: дистальный тиб.фиб. перелом
        Отправитель: Alexey Mozgounov 02 Апрель 2005, 12:27
        Dear Евгений,

        e> Поскольку
        e> оставшийся вальгус ничем , кроме, как укорочением м.б не объяснить

        А почему?
        Фиксация м/б "зуб в зуб", т.е. без ее укорочения и сохранения оси, отнюдь не подразумевает, что б/б должна сесть на свое законное место и не заиграть под углом..?
        Наличие синдесмоза как раз таки и подразумевает возможность некоторого самостоятельного поведения б/б кости отнгосительно м/б

        e> - для ревизии приготовлю дистрактор.

        А нужна она так, эта ревизия?
        Пусть срастается себе на здоровье...
        IMHO.


        [ Ответить ]
        • Re: дистальный тиб.фиб. перелом
          Отправитель: Evgueny Tchekashkine 02 Апрель 2005, 12:29
          > Dear Евгений,

          Не менее Дорогой Алексей,
          :-))

          > e> Поскольку
          > e> оставшийся вальгус ничем , кроме, как укорочением м.б не объяснить
          >
          > А почему?
          > Фиксация м/б "зуб в зуб", т.е. без ее укорочения и сохранения оси,
          > отнюдь не подразумевает, что б/б должна сесть на свое законное место и
          > не заиграть под углом..?

          Все о чем вы говорите очень интересно и становится * мучительно больно за бесцельно прожитые годы* - может не совсем так, но что-то близкое:-)) как я заблуждался и сколько народу покалечил (в последнем есть доля истины, но не покалечил все же больше) и почти начав сомневаться, обратился к *КНИГЕ* - источнику и носителю знаний, которую регулярно открывал еще в ординатуре.
          Книга написана знаками из алфавита, а не азбуки, и некотрые концепции, изложенные в ней устарели вместе со мной, но базовые подходы все же актуальны были и остаются (последний раз на Advanced AO Course был в июле 2004), сравнивая увиденное и услышанное на этом курсе.... (почему-то доверяю пока этой информации ...)
          Так вот касательно переломов дистального отдела б.б. и м.б.в описании порядка процедуры под нумером один стоит репозиция и фиксация м.б. кости, и если последняя адекватно выполнена, то в большинстве случаев (80 %) это приводит к улучшению положения фрагментов б.б. и 20 % расписаны на многооскольчатые переломы м.б. кости, когда технически непросто восстановить первоначальную длину фибулы.

          > Наличие синдесмоза как раз таки и подразумевает возможность
          > некоторого самостоятельного поведения б/б кости отнгосительно м/б

          Именно наличие синдесмоза и обеспечивает репозицию б.б. кости при правильно репонированной м.б. Это же лигаментотаксис.

          > e> - для ревизии приготовлю дистрактор.
          >
          > А нужна она так, эта ревизия?

          Думаю нужна - угловые деформации должны быть устранены и понятно почему... Но смогу ли ее сделать - боец может не вернуться из увольнения :-)) - больно шустро он себя вел после операции.


          > Пусть срастается себе на здоровье...
          Хорошо бы сраслось на здоровье, а пока не совсем..



          [ Ответить ]
          • Re: дистальный тиб.фиб. перелом
            Отправитель: Alexander Chelnokov 02 Апрель 2005, 13:51
            e> 2004 ),сравнивая увиденное и услышанное на этом курсе....( почему-то доверяю
            e> пока этой информации ...)

            Ты на всякий случай все-таки лучше здесь переспроси ;-))

            e> Так вот касательно переломов дистального отдела б.б. и м.б.в описании
            e> порядка процедуры под нумером один стоит репозиция и фиксация м.б. кости, и

            Это IMHO справедливо без оговорок 1) для переломов лодыжек, 2) для свежих повреждений, 3)для прямой репозиции, 4)если мысль хирурга идет прямолинейно ("а че думать, трясти надо: ORIF, и все дела - так и в АОшной книжке написано!! ;-))), а не через призму идеологии small wire ex-fix. Даже не столько "fix", сколько управлениея положением отломков.
            Как справедливо пишут коллеги, в данном случае другой путь to skin the cat имел бы больше шансов на успех.
            Напоминаю афоризм "С аппаратом мы управляем ситуацией, без - ситуация управляет нами" (перетендую на авторство ;-)).

            e> Именно наличие синдесмоза и обеспечивает репозицию б.б. кости при правильно
            e> репонированной м.б. Это же лигаментотаксис.

            На который нельзя полагаться при тугоподвижности.

            >> e> - для ревизии приготовлю дистрактор.

            А какой? Советую small wire.

            >> А нужна она так, эта ревизия?

            e> Думаю нужна - угловые деформации должны быть устранены и понятно почему...

            А вот тут очччччень спорный момент.
            Новая тема - какие критерии для решения менять угол или оставить так?

            e> Хорошо бы сраслось на здоровье, а пока не совсем..

            Женя, а как относиться к лечению функциональными брейсами по Sarmiento, вернее, к неизбежному при таком подходе неидеальному положению отломков, с углами и по ширине?

            [ Ответить ]
            • Re: дистальный тиб.фиб. перелом
              Отправитель: Evgueny Tchekashkine 02 Апрель 2005, 17:16
              > Ты на всякий случай все-таки лучше здесь переспроси ;-))

              Столько мнений уже высказано....:-))

              > Напоминаю афоризм "С аппаратом мы управляем ситуацией, без - ситуация
              > управляет нами" (перетендую на авторство ;-)).

              Так то оно так, но из этого следует, что все ситуации без аппарата обречены на проблемы:-))
              Про авторство - двух мнений быть и не может :-)))

              > e> Именно наличие синдесмоза и обеспечивает репозицию б.б. кости при
              правильно
              > e> репонированной м.б. Это же лигаментотаксис.
              >
              > На который нельзя полагаться при тугоподвижности.

              Согласен

              > >> e> - для ревизии приготовлю дистрактор.
              >
              > А какой? Советую small wire.

              Хороший совет, и воспользовался бы ежели был в наличии доступен другой из основного 4.5 мм набора - tension-distraction device
              >
              > >> А нужна она так, эта ревизия?


              > e> Думаю нужна - угловые деформации должны быть устранены и понятно
              почему...
              >
              > А вот тут очччччень спорный момент.
              > Новая тема - какие критерии для решения менять угол или оставить так?

              Думаю, что для нижней конечности( опорной) ось должна быть восстановлена, для верхней - менее критично ( The limb should be functional and not look ugly)
              Последствия углового отклонения механической оси рано или поздно приводят к перегрузке соответствующих отделов сустава - хондромаляции- остеоартрит. Для малоактивных пациентов этот фактор менее критичен, а для активных (молодых и пожилых) является важным.


              > Женя, а как относиться к лечению функциональными брейсами по
              > Sarmiento, вернее, к неизбежному при таком подходе неидеальному
              > положению отломков, с углами и по ширине?

              Очевидно, что в брэйсе *удержать* фрагменты в анатомической позиции при нестабильном переломе невозможно, смещения по ширине допустимы с учетом предполагаемого укорочения( до 2см), угловые - до 7 градусов(?) и остаточные деформации оси в этих пределах якобы существенно не нарушают функцию
              кончности . Я бы не хотел иметь голень -бедро короче хотя бы на 2 см и с углом в ту или иную сторону 7 гр:-)) Каждому методу - свое место и в условиях с ограниченными инструментальными возможностями принцип функционального лечения остается наиболее приемлемым и по-моему, идея его труда состояла в исследовании условий необходимых и достаточных для костного сращения при сохранении максимально возможной мобильности суставов и активности мышечного футляра, аргументы, которые выдвигались как преимущественные факторы внутренней фиксации. Недостаток функционального лечения нестабильных ситуаций - вероятность остаточных деформаций, недостаток внутренней и внешней фиксации - риск инфекции. .....

              Всего Доброго,
              Евгений

              [ Ответить ]
              • Re: дистальный тиб.фиб. перелом
                Отправитель: Alexander Chelnokov 02 Апрель 2005, 18:30
                e> Столько мнений уже высказано....:-))

                И чуть не все более правильные, чем в АОшной книжке! ;-)

                e> Так то оно так, но из этого следует, что все ситуации без аппарата обречены
                e> на проблемы:-))

                А тут - трудно не согласиться. Не зря даже наши коллеги из AO в конце
                концов приняли на вооружение непрямую репозицию, дистракторы...

                >> А какой? Советую small wire.
                e> Хороший совет, и воспользовался бы ежели был в наличии
                e> доступен другой из основного 4.5 мм набора - tension-distraction device

                Не понял? Я подразумевал 2 кольца от аппарата Илизарова, соединенных 3
                телескопическими стержнями. А ты про что?

                e> Думаю, что для нижней конечности( опорной) ось должна быть восстановлена,

                До отклонения не более чем на диаметр одной молекулы гидроксиапатита?
                ;-) Где разумный порог приемлемости?

                e> для верхней - менее критично( The limb should be functional and not look
                e> ugly )

                Во-о-о-т. А что ж сейчас? Если попросить пациента встать по стойке
                смирно, да сфотографировать - бросается в глаза деформация?

                e> Последствия углового отклонения механической оси рано или поздно приводят к
                e> перегрузке соответствующих отделов сустава - хондромаляции- остеоартрит.

                Это, скорее, такое... гм... ортопедическое суеверие. Фактами это не
                подтверждается. Два реферата, первый:

                ===================
                J Bone Joint Surg Am. 1989 Apr;71(4):599-606.

                Long-term follow-up after fractures of the tibial and fibular shafts.

                Merchant TC, Dietz FR.

                Department of Orthopaedic Surgery, University of Iowa Hospitals and Clinics,
                Iowa City.

                Thirty-seven patients who sustained a closed or a Grade-I open tibial and
                fibular fracture were evaluated an average of twenty-nine years after injury.
                All of the patients had had uncomplicated treatment with a plaster cast.
                Clinically, 78 per cent of the ankles were rated good or excellent, and 92 per
                cent of the knees were rated excellent. Radiographic assessment for
                osteoarthritic changes revealed a good or excellent result for 76 per cent of
                the ankles and an excellent result for 92 per cent of the knees. The clinical
                and radiographic outcomes were unaffected by the amounts of anterior or
                posterior and of varus or valgus angulation, as well as by the level of the
                fracture. The length of immobilization, which did not exceed one year, also did
                not affect the outcomes.
                ====================

                и второй

                ====================
                J Bone Joint Surg Am. 2002 Jun;84-A(6):971-80.

                Long-term outcome after tibial shaft fracture: is malunion important?

                Milner SA, Davis TR, Muir KR, Greenwood DC, Doherty M.

                Department of Orthopaedic and Accident Surgery, Queen's Medical Center,
                Nottingham, United Kingdom. stephen.milner@clara.net

                BACKGROUND: Fractures of the shaft of the tibia often heal with some angulation.
                Although there is biomechanical evidence that such angulation alters load
                transmission through the joints of the lower limb, it is not clear whether it
                can eventually lead to osteoarthritis. METHODS: One hundred and sixty-four
                individuals who had sustained a tibial shaft fracture were assessed in a
                research clinic thirty to forty-three years after the injury. The subjects were
                evaluated with regard to self-reported lower limb joint pain, stiffness, and
                disability (assessed with the Western Ontario and McMaster Universities [WOMAC]
                osteoarthritis questionnaire); clinical signs of osteoarthritis; and
                radiographic evidence of osteophytes and joint-space narrowing in the knees,
                ankles, and subtalar joints. RESULTS: Twenty-two (15%) of the 151 subjects who
                reported no other knee injury reported at least moderate knee pain, and eight
                (6%) of the 145 subjects who reported no other ankle injury reported at least
                moderate ankle pain. Seventeen (13%) of the 135 subjects who reported no other
                knee or ankle injury reported at least moderate disability. The ipsilateral side
                demonstrated a higher prevalence than the contralateral side in terms of pain
                with passive ankle movement (nineteen versus nine subjects, p = 0.02), pain with
                passive subtalar movement (fifteen versus four subjects, p = 0.01), and
                radiographic signs of ankle joint space narrowing (twelve subjects versus one
                subject, p = 0.0055). Knee osteoarthritis was frequently bilateral. Forty-seven
                fractures (29%) healed with coronal angulation of > or = 5 degrees. Apart from
                an association between shortening of > or = 10 mm and self-reported knee pain (p
                = 0.016), there were no significant univariate associations between these
                malunions and the development of osteoarthritis. Seventeen (15%) of 114 eligible
                subjects had overall malalignment of the lower limb, defined as a hip-knee-ankle
                angle outside the normal range of 6.25 degrees of varus to 4.75 degrees of
                valgus. This malalignment was due to the fracture malunion in nine subjects and
                predated the fracture in eight. In limbs with varus or valgus malalignment,
                there was an excess of subtalar stiffness (p = 0.04) and a nonsignificant trend
                toward more frequent knee pain. In limbs with varus malalignment, there was a
                nonsignificant trend toward more frequent radiographic evidence of
                osteoarthritis in the medial compartment of the knee joint. Most of the subjects
                in whom osteoarthritis was observed had normal overall alignment of the lower
                limb. CONCLUSIONS: The thirty-year outcome after a tibial shaft fracture is
                usually good, although mild osteoarthritis is common. Fracture malunion is not
                the cause of the higher prevalence of symptomatic ankle and subtalar
                osteoarthritis on the side of the fracture. Although varus malalignment of the
                lower limb occurs occasionally and may cause osteoarthritis in the medial
                compartment of the knee, other factors are more important in causing
                osteoarthritis after a tibial shaft fracture.
                Long-term outcome after tibial shaft fracture: is malunion important?
                ====================

                e> Очевидно, что в брэйсе *удержать* фрагменты в анатомической позиции при
                e> нестабильном переломе невозможно, смещения по ширине допустимы с учетом
                e> предполагаемого укорочения( до 2см), угловые - до 7 градусов(?)

                О! Уже и точные градусы вдруг появились ;-)

                e> и остаточные деформации оси в этих пределах якобы существенно не
                e> нарушают функцию кончности . Я бы не хотел иметь голень -бедро
                e> короче хотя бы на 2 см и с углом в ту или иную сторону 7 гр:-))

                Ну, это просто вкусовщина может, просто? ;-)
                Да и потом - очень трудно скалькулировать risks and benefits в
                ситуации типа той, что сложилась сейчас. Неизвестно какой риск
                неизвестно каких отдаленных проблем, если оставить, как есть. Или
                ненулевой риск налететь на гнойное осложнение при повторонй операции
                через короткое время на том же месте. Это например.

                e> Каждому методу - свое место

                Эххх... Если бы у всех было одно и то же знание, которому - какое,
                такого разнообразия ни железа, ни публикаций, не было бы. И было бы
                очень скучно.

                e> и в условиях с ограниченными инструментальными возможностями
                e> принцип функционального лечения остается наиболее приемлемым

                Это тоже спорный момент. Хорошее функциональное лечение провести не
                так непросто и дешево. По крайней мере, на просторах xUSSR оно не
                сильно распространено, причем именно в "в условиях с ограниченными
                инструментальными возможностями".

                e> факторы внутренней фиксации. Недостаток функционального лечения
                e> нестабильных ситуаций - вероятность остаточных деформаций,

                Да вот вроде и пишет он, что это не проблема, и даже косметически это вполне приемлемо.

                [ Ответить ]
      • Re: дистальный тиб.фиб. перелом
        Отправитель: Vitaly Kazennov 02 Апрель 2005, 12:45
        Здравствуйте, уважаемый Евгений!

        Наконец начинаю понимать последовательность действий, и все таки: репонировать малоберцовую при сращении с укорочением, вроде бы, нужно. Однако! Лучше выполнить остеотомию ее (из разреза по ширине лезвия долота) выше места перелома большеберцовой и забыть про нее. Вы думаете, без пластины не срастется??? Теперь отрепонировать большеберцовую и фиксировать ТОЛЬКО ее. Конечно, с точки зрения материало-, трудо-, и проче-емкости две пластины лучше, чем одна, да и снимки показывать с перерубленной костью и коленвалом малоберцовой как-то не того, однако себе бы я не дал фиксировать малоберцовую, равно как и ключицу, пластиной или чем там еще погружным. В конце
        концов, их потом нужно выковыривать (как правило), а это тоже больно.

        С наилучшими пожеланиями,
        я пошел к студентам,

        Казеннов

        [ Ответить ]
        • Re: дистальный тиб.фиб. перелом
          Отправитель: Evgueny Tchekashkine 02 Апрель 2005, 13:12
          Виталий Евгеньевич,



          Наконец начинаю понимать последовательность действий, и все таки: репонировать малоберцовую
          при сращении с укорочением, вроде бы, нужно.

          *однако* я снес пониже, вроде бы и договорились.....

          Всего Доброго и
          Удачи в образовательном процессе

          Евгений И Чекашкин

          [ Ответить ]
    • Re: дистальный тиб.фиб. перелом
      Отправитель: Alexey Mozgounov 02 Апрель 2005, 12:40
      ДЦт> Сейчас можно заикнуться о вредности этой манипуляции с
      ДЦт> точки зрения риска фиксации в неправильном положении, как это
      ДЦт> получилось у Вашего пациента.
      ДЦт> Потом при закручивании винтов на мощнейшей второй
      ДЦт> пластине сустав увело на вальгус.

      Вряд ли фиксация м/б привела к вальгизации.
      IMHO

      ДЦт> С учетом того, что пацану
      ДЦт> всего 17, я бы удалил пластину с малоберцовой и попытался тем
      ДЦт> или иным способом устранить смещение, пока не срослось.

      C учетом чего?
      Нарушения оси конечности?
      Не такое уж оно, нарушение. и смертельное.
      или значительное, если хотите...
      "пацаны" 17 лет, знаете ли. внаше время растут еще.
      Вот, например, один из моих однокласников, после окончания школы, когда был этак сантиметров 176-178, вымахал за 5 лет этак примерно на 15 см. Может быть конечно болен был. Я не уточнял. А он не жаловался. Но факт есть факт. Растут. Единичный могет быть случай, но и о них стоит помнить.
      Так что с этой точки зрения я бы обратил внимание так же и на то, что нижние винты обеих пласти восшли аккурат в зоны роста, которые, судя по
      снимку, еще фунциклируют. И даже неплохо...

      А самое главное, если уж честно, то кто станет? и стал бы? ПЕРЕДЕЛЫВАТЬ? Все переделывания наводят на мысли, особенно тех у кого все это переделывается.
      Переделывать, вернее - недоделывать :-), надо было на операционном столе, или вообще аппаратом, хотя в отношении последних, как сообщалось ранее, не все хорошо "в отечестве" и "отдельный разговор".
      А еще раньше - надо было недопускать до такой ситуации...
      И вообще такие переломы вполне можно поставить закрыто, а при желании фиксировать спицами (да-да... именно спицами), а при желании потом на фоне спиц наложить все тот же аппарат, о котором "отдельный разговор". etc. etc.

      И вообще тысячелетиями человечество лубками, как утверждается, лечилось, и срасталось знаете ли, и плодились и размножались поболее чем мы сейчас.
      :-)
      Хотя может быть вполне по диаметрально противоположным причинам. Но все это философия.
      А факт есть факт.

      P.S.
      Поднимая вверх правую руку
      со всей ответственностью заявляю:
      IMHO и ничего кроме IMHO!!!
      :-)

      [ Ответить ]
      • Re: дистальный тиб.фиб. перелом
        Отправитель: Vitaly Kazennov 02 Апрель 2005, 13:08
        Уважаемый Алексей,

        -> Вряд ли фиксация м/б привела к вальгизации.

        Все, уже разобрался, Евгений напомнил порядок манипуляций. Не будь фиксации
        в таком положении, мобилизованная малоберцовая сама бы встала как ей нужно
        после репозиции большеберцовой. А так эта пластинища, конечно же, не дала
        поправить большеберцовую как следует. Отступление от протокола дает проколы.
        Не сделали снимок на столе, как положено, -- теперь проблемы.

        > C учетом чего?

        А там написано. С учетом предполагемой продолжительности предстоящий жизни.

        > Нарушения оси конечности?
        > Не такое уж оно, нарушение. и смертельное.
        > или значительное, если хотите...

        Да в принципе можно и вообще без ноги... Со скольки градусов отклонения
        вилки голеностопного от горизонтали Вы считаете нарушение оси смертельным
        или значительным?

        > Так что с этой точки зрения я бы обратил внимание так же и на то, что
        нижние
        > винты обеих пласти восшли аккурат в зоны роста, которые, судя по
        > снимку, еще фунциклируют. И даже неплохо...

        Вот это точно! Еще один аргумент против пластин у подростков, да и вообще
        против рукоблудия. Осенью я был в Якутске, познакомился с отличным мужиком,
        хромает. Чего, спрашиваю? -- Да сломал двадцать лет назад ногу, лечили
        аппаратом, перетянули, с тех пор эта нога длиннее, сустав побаливает,
        поясница, ну все как положено. Я говорю, надув щеки: "Ну дык можно ж
        откоррегировать..." А он: "Опять операция? Не-е-е... Я уж так доживу..." А
        мужику всего лет сорок, детишки, дом отличный сам реконструировал, руки
        золотые, а хромает достаточно сильно.

        > А самое главное, если уж честно, то кто станет? и стал бы? ПЕРЕДЕЛЫВАТЬ?

        Да я бы стал, коли уж так получилось, не нарочно ведь. Да и Евгений, судя по
        его письму, собирается.

        > Все переделывания наводят на мысли, особенно тех у кого все это
        > переделывается.

        На каждый чих не наздравствуешься. Индукция вектора ментальных прецессий
        адьювантна вольюму нейроглии (во загнул!).

        > Переделывать, вернее - недоделывать :-), надо было на операционном
        > столе,

        Ну коль уж получилось! Еще поезд-то не ушел!

        > или вообще аппаратом, хотя в отношении последних, как сообщалось
        > ранее, не все хорошо "в отечестве" и "отдельный разговор".

        Это согласен!

        > А еще раньше - надо было недопускать до такой ситуации...

        Глаголы с "не" пишутся ... [Nu zanuda, zanuda, you are right!!!]

        > И вообще такие переломы вполне можно поставить закрыто,

        Absolutely!

        > а при желании
        > фиксировать спицами
        > (да-да... именно спицами),
        > а при желании потом на фоне спиц наложить все
        > тот же аппарат, о котором "отдельный разговор".

        Oh yes!

        > И вообще тысячелетиями человечество лубками, как утверждается,
        > лечилось, и срасталось знаете ли, и плодились и размножались поболее
        > чем мы сейчас.

        А в лубках оно справнее, чем в аппарате.

        > Хотя может быть вполне по диаметрально противоположным
        > причинам.

        Минуточку-минуточку! Что может быть диаметрально противоположней библейских
        заповедей? Попрошу не уклоняться от поставленной проблемы, детские ортопеды
        обязаны быть в курсе камасутры;-]

        > Но все это философия.

        А это и в кайф!

        > А факт есть факт.

        Со спектром мнений по трактовке, сэр!

        > IMHO и ничего кроме IMHO!!!

        Да это-то и интересно. Уотсон-Джонс и Каплан на нас не обидятся.

        Best wishes!

        Казеннов


        [ Ответить ]

     

    ( Ответить )

    Powered by Zope  Squishdot Powered MedLink
    Посетитель: 0396434
      "По форме правильно, а по существу - издевательство" В.И.Ленин
    ©2001-2019Orthoforum Coordinator.
    [ Главная | Отправить сообщение | Поиск | Админ ]