AOTRAUMA.ORG Центр Илизарова  

Ортопедия и травматология Общие вопросы/General questions Help Информационные технологии в медицине
 вверх
 отправить
 поиск
 админ
 главная
 Предыдущее


Re: Никелиды титана с памятью формы
А.Миронов 10 Апрель 2005, 08:13
Здравствуйте!

Конструкции из листового TiNi cуществуют, в качестве примера привожу пластину для остеосинтеза переломов шейки плеча, но в клинике применяем мы их очень редко, в основном по просьбе нашего профессора, предпочитаем продукцию "SYNTHES".

А.Миронов
  • Сообщения о Ортопедия и травматология
  • Также А.Миронов
  • Связаться с автором
  • Файл-вложение
  • Кликните для загрузки файла 01.jpg
    10KB (11194 bytes)

  • Ответить

    Re: Никелиды титана с памятью формы
    Alexander Chelnokov 10 Апрель 2005, 09:52
    АМ> примера привожу пластину для остеосинтеза переломов шейки плеча, но в
    АМ> клинике применяем мы их очень редко, в основном по просьбе нашего

    Как я понимаю, вот эти в головке растопыренные "лапки" и есть обуслоловленная материалом особенность.
    Интересно, если ее зачем-то удалять надо будет - это легко?
    Предположим, метафиз не срастется, и пластинка сломается по верхнему отверстию от винта.

    АМ> предпочитаем продукцию "SYNTHES".

    И какие есть у нее преимущества по сравнению с представленной на картинке конструкцией?

    А такой перелом, раз головка особо не фрагментирована, мы бы фиксировали закрыто двумя Y-образными спицами, по предложенной в ЦИТО методике (А.Ф.Лазарев со товарищи). Удивительное дело - стоимость получается на два или три порядка меньше, чем у современных супер-пупер фиксаторов. А результат достигается тот же, если не лучший. И закрыто, и малоинвазивно, и держится неплохо...
    [ Ответить ]

    • Re: Никелиды титана с памятью формы
      Отправитель: А.Миронов 10 Апрель 2005, 13:44
      АЧ>Как я понимаю, вот эти в головке растопыренные "лапки" и есть обуслоловленная материалом особенность.
      Интересно, если ее зачем-то удалять надо будет - это легко?
      Предположим, метафиз не срастется, и пластинка сломается по верхнему отверстию от винта.

      Проблем с удалением не было, металл достаточно эластичный; переломов импланта не припомню.

      Ещё раз повторюсь TiNi применяем редко, очень редко.

      АЧ>И какие есть у нее преимущества по сравнению с представленной на картинке конструкцией?
      Чем отличается LPHP, T-LCP... от TiNi? не вдаваясь в подробности - стандартом.

      АЧ> мы бы фиксировали закрыто двумя Y-образными спицами, по предложенной в ЦИТО методике (А.Ф.Лазарев со товарищи).

      По моему мнению метод А.Ф.Лазарева неплох (видел его презентацию на одном из АО-симпозиумов), но подходит больше для пожилых пациентов.
      АЧ>Удивительное дело - стоимость получается на два или три порядка меньше, чем у современных супер-пупер фиксаторов.
      Если у Вас дотаточно денег на иномарку, неужели Вы предпочтёте отечественный авто?
      Оставте выбор за пациентом!
      АЧ>А результат достигается тот же, если не лучший. И закрыто, и малоинвазивно, и держится неплохо...
      Остеосинтез пластиной так же можно выполнить малоинвазивно, а стабильность на пластине и на спицах не сравнить (уж простите)

      В приложении остеосинтез перелома шейки плеча LPHP у доктора из нашей клинике , через 8недель уже трудился в операционной

      С уважением А.Миронов


      Кликните для загрузки файла 06.JPG
      20KB (21241 bytes)

      [ Ответить ]
      • Re: Никелиды титана с памятью формы
        Отправитель: Alexander Chelnokov 10 Апрель 2005, 17:15
        АМ> Ещё раз повторюсь TiNi применяем редко, очень редко.

        А чего редко, если все так хорошо?

        АМ> Чем отличается LPHP, T-LCP... от TiNi? не вдаваясь в подробности -
        АМ> стандартом.

        Н-не понял. Тут свой стандарт, там свой. Если конструкция X требует меньший разрез, или сокращает время операции, обеспечивает еще какие-то положительные моменты, пусть она (пока?) для кого-то нестандартная, но мы можем перечислить ее преимущества/недостатки.

        АМ> По моему мнению метод А.Ф.Лазарева неплох (видел его презентацию на
        АМ> одном из АО-симпозиумов), но подходит больше для пожилых пациентов.

        То, что хорошо держится у пожилых, т.е. на рыхлой порозной кости, должно у молодых быть вообще здорово?

        АМ> Если у Вас дотаточно денег на иномарку, неужели Вы предпочтёте
        АМ> отечественный авто?

        По-моему, более корректная аналогия - если Вам надо всего лишь добраться от пункта А до пункта Б, и на метро - это почти бесплатно и за 5 минут, а на такси - дорого и через пробки, то...

        АМ> Оставте выбор за пациентом!

        А он что, способен на компетентное решение? То есть в этом призыве заложено некоторое лукавство - учитывая, что хороший врач должен уметь убедить больного согласиться буквально на что угодно.
        Если пациенту объяснить, что за тот же срок достигается такой же результат, а при более дешевом способе - еще и разрез в 5 раз меньще, то выбор будет один. А если ограничиться фразой про иномарку vs отечественное авто - вероятно, другой.

        АЧ>>А результат достигается тот же, если не лучший. И закрыто, и
        АЧ>>малоинвазивно, и держится неплохо...

        АМ> Остеосинтез пластиной так же можно выполнить малоинвазивно,

        Пластину через два разреза по 0,5 см не засунуть.

        АМ> а стабильность на пластине и на спицах не сравнить (уж простите)

        Так отсуствие абсолютной стабильности вроде как раз положительный фактор?

        АМ> В приложении остеосинтез перелома шейки плеча LPHP у доктора из нашей
        АМ> клинике, через 8недель уже трудился в операционной

        Очень симпатично, спору нет, но полагаю, что и с Y-спицами полная реабилитация к этому сроку была бы вполне реальна.

        [ Ответить ]
        • Re: Никелиды титана с памятью формы
          Отправитель: А.Миронов 10 Апрель 2005, 21:10
          АЧ>А чего редко, если все так хорошо?

          А я и не говорил, что всё так хорошо. У указанной пластины довольно много недостатков, она достаточно неуниверсальна из-за особенностей строения клинка, формы отверстий диафизарной её части(невозможно провести компрессию, ввести винт под необходимым углом...), невозможно отмоделировать пластину...

          AЧ>Н-не понял. Тут свой стандарт, там свой. Если конструкция X требует меньший разрез, или сокращает время операции, обеспечивает еще какие-то положительные моменты, пусть она (пока?) для кого-то нестандартная, но мы можем перечислить ее преимущества/недостатки.


          В том то и беда, что нет у нас общих стандартов лечения, в каждой клинке, в каждой районной больнице свои стандарты, время без правил.

          АЧ>То, что хорошо держится у пожилых, т.е. на рыхлой порозной кости

          сомневаюсь я в этом (уж простите)

          но подходит больше для пожилых пациентов
          в связи с малоинвазивностью, два разреза по 0,5

          но если позволяют условия (опер. риски...) я бы выполнил остеосинтез LPHP

          АЧ>А он что, способен на компетентное решение? То есть в этом призыве заложено некоторое лукавство - учитывая, что хороший врач должен уметь убедить больного согласиться буквально на что угодно.
          Если человек вменяем, то ДА! Хороший врач должен рассказать о всех способах лечения, обьяснить их достоинства и недостатки, выбор за пациентом.

          АЧ>Пластину через два разреза по 0,5 см не засунуть
          но можно через два по 2,0см или через два по 3,0см ... всё от длины пластины

          АЧ>Так отсуствие абсолютной стабильности вроде как раз положительный фактор?
          C каких пор? А я думал, что всё зависит от морфологии перелома и способа его фиксации. Открытая репозиция при простой линии излома, остеосинтез пластиной - надо добиваться абсолютной стабильности. Блокированный гвоздь, пластина малоинвазивно, гипсовая повязка - относительная стабильность, периостальная мозоль...

          АЧ>Очень симпатично, спору нет, но полагаю, что и с Y-спицами полная реабилитация к этому сроку была бы вполне реальна
          С каких суток после опер. Y-спицами разрешаете движения в плечевом суставе и в каком объёме?

          А.Миронов




          [ Ответить ]
          • Re: Никелиды титана с памятью формы
            Отправитель: Alexander Chelnokov 10 Апрель 2005, 23:47
            АМ> строения клинка, формы отверстий диафизарной её части(невозможно
            АМ> провести компрессию, ввести винт под необходимым углом...), невозможно

            Ага. Спасибо, это существенная информация. В общем, примерно про это я и говорил, что сам сплав интересный, а выпускаемые из него фиксаторы как-то не радуют.

            АМ> В том то и беда, что нет у нас общих стандартов лечения, в каждой
            АМ> клинке, в каждой районной больнице свои стандарты, время без правил.

            Так нету единства взглядов и в мире, индустриальных конструкций десятки разновидностей. Другое дело, что в отечественной практике кустарщины много больше.

            АЧ>>То, что хорошо держится у пожилых, т.е. на рыхлой порозной кости
            АМ> сомневаюсь я в этом (уж простите)

            Может, Анатолий Федорович прокомментирует, у них уже опыт многих десятков случаев. Но фиксатор подпружиненный получается, то есть фиксация динамическая.

            АМ> но подходит больше для пожилых пациентов в связи с
            АМ> малоинвазивностью, два разреза по 0,5

            Так молодым и это тоже понравится.

            АМ> но если позволяют условия (опер. риски...) я бы выполнил
            АМ> остеосинтез LPHP

            Не уверен, что если будет проведено сравнительное исследование этих методик, то будет найдено явное преимущество пластин. По крайней мере, при тех переломах, что были показаны (когда головка в основном цела).

            АМ> способах лечения, обьяснить их достоинства и недостатки, выбор за
            АМ> пациентом.

            Если врач говорит "если бы это была моя рука, я бы предпочел вот это", то единственное объективное основание иного решения пациента - "то я финансово потяну, а это нет". В остальном он некомпетентен.

            АЧ>>Пластину через два разреза по 0,5 см не засунуть
            АМ> но можно через два по 2,0см или через два по 3,0см ... всё от длины
            АМ> пластины

            То есть по немаловажному для некоторых фактору - косметичекому результату - менее инвазивный метод будет иметь преимущество.

            АЧ>>Так отсуствие абсолютной стабильности вроде как раз положительный
            АЧ>>фактор?
            АМ> C каких пор? А я думал, что всё зависит от морфологии перелома и
            АМ> способа его фиксации.

            При прочих равных меньшая отслойка периостальных тканей и пружинящая подвижность способствуют образованию хорошей периостальной мозоли.

            АМ> Открытая репозиция при простой линии излома, остеосинтез
            АМ> пластиной - надо добиваться абсолютной стабильности.

            Пожалуй, если речь о внесуставном переломе, от этого подхода уже вообще лучше отходить.

            АМ> Блокированный гвоздь, пластина малоинвазивно, гипсовая повязка -
            АМ> относительная стабильность, периостальная мозоль...

            Степень относительности этой стабильности все-таки довольно сильно может варьировать. Locked plate в сравнении с эластичным интрамедуллярным фиксатором или брэйсом - две большие разницы.
            Вот Y-спицы как раз, по-моему, близки к методике Sarmiento, таксть, "внутренний функциональный брэйс".

            АМ> С каких суток после опер. Y-спицами разрешаете движения в плечевом
            АМ> суставе и в каком объёме?

            С первых, объем - as tolerated, то есть в пределах терпимой болезненности. Обычно свободно получаются маятникообразные качания на косынке. Да, на следующий день после операции "солнце" на турнике они не крутят. Опять же, надо проф. Лазарева попросить уточнить, у них, видимо, и реабилитационная программа отработана.

            [ Ответить ]
            • Re: Никелиды титана с памятью формы
              Отправитель: А.Миронов 11 Апрель 2005, 15:34
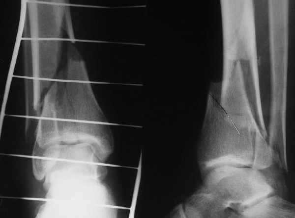
              АЧ>Степень относительности этой стабильности все-таки довольно сильно может варьировать. Locked plate в сравнении с эластичным интрамедуллярным фиксатором - две большие разницы
              Да и нет! Зависит от перелома и способа остеосинтеза. А результат? (01)

              А.Миронов




              Кликните для загрузки файла 01.jpg
              65KB (66785 bytes)

              [ Ответить ]
              • Re: Никелиды титана с памятью формы
                Отправитель: Alexander Chelnokov 11 Апрель 2005, 23:42
                Мы же говорили о проксимальном плече. При переломе tibia, конечно, речи о двух Y-спицах нет. Еще раз о них - пружинящая подвижность без "срезающих" перемещений фрагментов - дополнительный стимул к образованию периостальной мозоли.
                А в данном случае - у нас был бы применен locked nail с еще меньшими дырочками на коже и с возможностью полной нагрузки немедленно после операции. Какие тут аргументы в пользу выбора пластины, а не интрамедуллярного гвоздя?

                [ Ответить ]
                • Re: Никелиды титана с памятью формы
                  Отправитель: А.Миронов 12 Апрель 2005, 11:21
                  А степень стабильности будет влиять на сроки реабилитации? Плечевой сустав очень капризный.
                  При выборе импланта наверное много зависит от предподчтений хирурга, личного опыта. Я не видел больных после остеосинтеза Y-спицами, поэтому мне трудно судить объективно.

                  АЧ>Какие тут аргументы в пользу выбора пластины, а не интрамедуллярного гвоздя?
                  Классически показанием для locked nail яв-ся зоны BC CD, до появления LCP показания к locked nail несколько расширялись в зоны AB и DE
                  Аргументы: перелом достаточно низкий, трудно будет ввести 3-и блок. винта, а учитывая характер перелома на 2-х дистальных винтах я бы не рекомендовал немедленную полную нагрузку.
                  С Уважением А.Миронов

                  Кликните для загрузки файла DSC00841.JPG
                  42KB (43152 bytes)

                  [ Ответить ]
                  • Re: Никелиды титана с памятью формы
                    Отправитель: Alexander Chelnokov 12 Апрель 2005, 22:45
                    АМ> А степень стабильности будет влиять на сроки реабилитации? Плечевой
                    АМ> сустав очень капризный.

                    Вряд ли степень стабильности тут ведущий фактор. Если она достигает "порога достаточности", то ее дальнейшее увеличение избыточно. Тем более ценой обширного доступа, вообще обнажения отломков, это может бОльшую роль сыграть.

                    АМ> личного опыта. Я не видел больных после остеосинтеза Y-спицами,
                    АМ> поэтому мне трудно судить объективно.

                    Кое-что было здесь представлено. См.
                    http://weborto.net/forum/1101309779/.
                    Наверно, лучше посмотреть в ЦИТО при случае. Или более подробное сообщение авторов.

                    АМ> Классическим показанием для locked nail яв-ся зоны BC CD, до появления
                    АМ> LCP показания к locked nail несколько расширялись в зоны AB и DE

                    Ну, эти "классические" показания были актуальны в соответствующий период, на сегодня их можно пересмотреть. Безотносительно к появлению других фиксаторов, гвоздиками можно фиксировать переломы если не дистальнее линии E или проксимальнее A, то уж практически на их уровне.
















                    Если недоступны гвозди, специально разработанные для очень дистальных переломов, то всегда под рукой возможность спилить лишнее, чтобы отверстие оказалось на самом кончике.

                    АМ> Аргументы: перелом достаточно низкий, трудно будет ввести 3-и блок.
                    АМ> винта, а учитывая характер перелома на 2-х дистальных винтах я бы не
                    АМ> рекомендовал немедленную полную нагрузку.

                    Положим, и с 2 винтами она к 2 месяцам была бы тут вполне реальна. Кроме того, есть возможность ввести винты мимо гвоздя (Poller), и таки разрешить раннюю полную нагрузку (что еще зависит от массы тела пациента и диаметра винтов). А уж если сопоставить стоимость отечественного гвоздика и пластины Synthes... Если бы на порядок более дорогая железка давала на тот же порядок лучший результат... ;-)

                    [ Ответить ]
                    • Re: Никелиды титана с памятью формы
                      Отправитель: А.Миронов 13 Апрель 2005, 16:53
                      АЧ>если сопоставить стоимость отечественного гвоздика и пластины Synthes
                      Для значительной категории наших больных операции с применением имплантов SYNTHES и MATHYS - бесплатны, при производсвенной травме оплачивает ФСС, быт. травма,автодорожка при наличии полиса ДМС, разным льготникам часть ФОМС, а часть ад. города, причём для этих категорий АО - стандарт.

                      При штифтовании ортопедическим столом не пользуйтесь?

                      А. Миронов


                      Кликните для загрузки файла 1.JPG
                      11KB (11310 bytes)

                      [ Ответить ]
    Re: Никелиды титана с памятью формы
    Nikolaj Wolfson 12 Апрель 2005, 08:11
    Уважаемий Др. Миронов:
    Меня интересует технология металлов с паматью формы. Как можно ознакомиться с Вашим опытом?

    Nikolaj Wolfson
    West Virginia
    [ Ответить ]

    • Re: Никелиды титана с памятью формы
      Отправитель: А.Миронов 12 Апрель 2005, 11:45
      Здравствуйте!

      Мой личный опыт по TiNi небольшой (что-то около 10 операций по поводу переломов Scapula), наш профессор занимается применением TiNi при повреждениях плечевой обл., ещё один доктор работает TiNi восстанавливая каркас грудной клетки, вот пожалуй и всё, что касается нашей клиники.
      Всё про TiNi можно узнать в Томском НИИ медицинских металлов с памятью формы у проф. Гюнтера Виктора Эдуардовича

      634034, г.Томск, ул. 19 Гвардейской дивизии, д17
      e-mail:tc77@rec.tsu.ru


      [ Ответить ]
      • Re: Никелиды титана с памятью формы
        Отправитель: Nikolaj Wolfson 18 Апрель 2005, 10:25
        Thank you.
        Nikolaj

        [ Ответить ]

     

    ( Ответить )

    Powered by Zope  Squishdot Powered MedLink
    Посетитель: 0197465
      "По форме правильно, а по существу - издевательство" В.И.Ленин
    ©2001-2019Orthoforum Coordinator.
    [ Главная | Отправить сообщение | Поиск | Админ ]