ВХОД ДЛЯ ПАЦИЕНТОВ
вверх
поиск
админ
главная
исходное
последующие
|
Re: Деформация голеней
послал Alexander Artemiev 11 Сентябрь 2005, 15:00
|
Здравствуйте, коллеги.
AVM>> остеотомии, а кортико или там иной - отдельный вопрос...
AC> Да, это больше отражает наше намерение ловко пересечь стенки, не
AC> повредив содержимое канала.
Лукавство это.
AVM>> Эстетическая коррекция... Вообще о такой заявляли в Волгограде, Питере
Ну и в Москве, конечно:)
AC> Хотелось бы узнать мнение А.А.Артемьева, чья докторская диссертация
AC> посвящена корекции формы ног в эстетической и реконструктивной
AC> хирургии.
Хочешь - узнавай:)
AVM>> Возможно и на ... в смысле ниже... более 4 см... а смысл?
Чем дальше от сустава - тем проще и технически, и больным легче переносится.
AC>>> Стоит ли медиализировать дистальный фрагмент?
AVM>> А зачем?
Красива...
Это значительно улучшает эстетический эффект, придавая полноту ногам.
Мне лично нравится:)
Технически при отсутствии опыта может показаться немного сложным. При навыке занимает минут 10.
И при этом не выходит за пределы нормальной оси.
AVM>> Косая, на мой взгляд, это из того же самого раздела, что и поперечная
AVM>> (из которой,кстати,ПОПЕРЕЧНОЙ, возникает и открытый клин... или нгетак?)
Совершенно верно.
AC> Открытый клин - конечно, но линия длиннее, срастается на большей
AC> площади. Вершина может куда-то выстоять, влияя на внешний вид. Может,
AC> еще какие-то нюансы есть.
Не нужно вырубать клин, если, конечно об этом идет речь. Это пережитки доилизаровской эпохи.
AVM>> Дело в том, что при фиксации в аппарате, любая дисконгуентность
AVM>> остеотомии прекрсно компенсируентся стабильностью в аппарате...
Золотые слова
AC> Меня заботит не контакт отломков, скорее всего будет клиновидный
AC> дефект, и ладно. Стабильность фиксации - дело временное, а вот
AC> достигнутое положение - хотелось бы, чтобы насовсем. Вот и надо "семь
AC> раз отмерить".
Не нужно ничего отмерять, рисовать т.н скиаграммы. В аппарате всё можно довести до идеала в течение 1-1,5 мес, пока регенерат не сросся.
Возложите эту ответственность на пациентку. Проблема в том, что при наличии двух аппаратов невозможно сдвинуть ноги. Учитывая, что бедренно-берцовый угол открыт кнаружи (см. Пэлея) при отсуствии смыкания стоп может сложиться впечатление о гиперкоррекции. Особенно если широкий
таз. Поэтому пусть больная перед зеркалом в окружении родственников
сама принимает решение о том, что довольна.
AVM>> А что шарнирная или элипсовидня... особых различий нет...
А хочешь - жни, а хочешь - куй...
А все равно получишь... сращение...
AC> Можно шарнирную сводом вверх, или вниз, поперечную или косую выше,
AC> ниже, скосом туда или сюда - угол делаем один и тот же, но оси будут
AC> по разном располагаться из-за разного положения осей вращения и
AC> смещения по ширине.
AC> Вот и хотелось бы получить практический совет для
AC> данного случая.
ПОПЕРЕЧНАЯ
AC> А то после прсмотра книжки D.Paley все пока еще в
AC> голове не улеглось, и только вопросов больше стало...
Не принимайте всё близко к сердцу...
Что русскому хорошо, то американцу - смерть...
AC> И вот еще прочитал в книжке Л.Н.Соломина - остеотомию малоберцовой
AC> можно не делать! И американский коллега то же самое подсказывает.
AC> Интересненько...
В написании этой главы мне пришлось участвовать. Труд коллективный.
моё мнение, видимо, осталось в меньшинстве. Я остеотомию малоберцовки делаю ПРИНЦИПИАЛЬНО ВСЕГДА. Это занимает 2-3 минуты, на фоне перелома б/б кости травма ничтожная. На границе нижней и средней трети практически невозможно что-либо повредить.
Года 2-3 назад эта тема возникла в англоязычном Ортоподе. Даже я напрягся - дискутировал на ангельском языке, отправлял картинки.
Сейчас, я так понимаю, рецидив.
Смотри архивы.
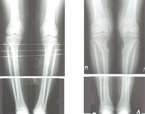
Картинки - в приложении.Будут вопросы - готов ответить.

|

|
 Ещё картинка - схема. Хотя у Соломина всё написано.
|
 Вот ещё картинки, которые отправлял в Ортопод. Коррекция кривизны и удлинение на 3 см.
|

|
Затеется дискуссия - буду счастлив.
Удачи всем.
Александр Артемьев
|
| Послать ответ |
Обратите внимание: Поля с жирными названиями обязательны.
Старайтесь отвечать в рамках обсуждаемой темы, а не начинать новые обсуждения.
Указывайте адекватную тему сообщения, чтобы было ясно, о чем оно.
Не послайте сообщений не по теме (оффтопик), раздраженных, грубых или обидных комментариев. Здесь это неуместно.
|