ВХОД ДЛЯ ПАЦИЕНТОВ
вверх
поиск
админ
главная
исходное
последующие
|
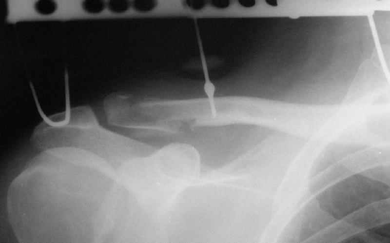
Re: Несросшийся перелом ключицы
послал А.П.Ким 10 Ноябрь 2005, 11:06
|
При данных повреждениях возможно применение как АВФ, так и открытые способы лечения. Выбор в основном определяется давностью травмы, требованиями больного и отношением хирурга к тому-или иному способу лечения. В данном случае, учитывая смещение фрагмента с прикреплением кл-кл связки каудально, необходимо было "утопить" проксимальный отломок, что и сделано АВФ.

|
Послать ответ |
Обратите внимание: Поля с жирными названиями обязательны.
Старайтесь отвечать в рамках обсуждаемой темы, а не начинать новые обсуждения.
Указывайте адекватную тему сообщения, чтобы было ясно, о чем оно.
Не послайте сообщений не по теме (оффтопик), раздраженных, грубых или обидных комментариев. Здесь это неуместно.
|