Ответить
|
Re: Несросшийся перелом ключицы
erokhin aleksandr 10 Ноябрь 2005, 00:39
|
Вариантов операции очень много. Главное чтоб было прочно. Я сделал бы пересадку клювовидного отростка на ключицу+синтез натягивающей петлей через 2 параллельные спицы(кажется это называется по "Веберу"). Технически это не очень сложно. Можно конечно и лавсановой лентой - я думаю,что пластику ключично-клювовидных связок будет лучше сделать. Пластинами я ключицу никогда не оперировал. А зачем при этом переломе пластина? Удачи
|
[
Ответить ]
|
Re: Несросшийся перелом ключицы
Игорь М. Зазирный 10 Ноябрь 2005, 00:48
|
Дорогой коллега! Рекомендую стабильно-функциональный остеосинтез (2 спицы и проволочная петля) При хорошей репозиции восстановление связки не обязятельно, т.к. не повреждены структуры ключично-акромиального сустава. Проверено. Крайне удивлен применением АВФ на первом этапе(если не было открытого перелома).
Желаю успехов. Игорь М. Зазирный.Киев.
|
[
Ответить ]
|
Re: Несросшийся перелом ключицы
Отправитель: Alexander Chelnokov 10 Ноябрь 2005, 01:06
|
IZ> Крайне удивлен применением АВФ на первом
IZ> этапе(если не было открытого перелома).
Здесь надо прежние снимки поглядеть, чтобы разобраться, почему так случилось. Обычно при закрытых переломах при фиксации аппаратиком прекрасно все залечивается за 4-6 недель. Презентация, где есть про такие переломы тут. (~4,5Мб)
|
[
Ответить ]
|
Re: Несросшийся перелом ключицы
Отправитель: А.П.Ким 10 Ноябрь 2005, 11:06
|
При данных повреждениях возможно применение как АВФ, так и открытые способы лечения. Выбор в основном определяется давностью травмы, требованиями больного и отношением хирурга к тому-или иному способу лечения. В данном случае, учитывая смещение фрагмента с прикреплением кл-кл связки каудально, необходимо было "утопить" проксимальный отломок, что и сделано АВФ.

|
[
Ответить ]
|
|
Re: Несросшийся перелом ключицы
Aleksey V. Mozgounov 10 Ноябрь 2005, 09:06
|
АПК> молодому пациенту по поводу оскольчатого перелома акромиального конца
АПК> ключицы
Что за редкая травма? Никогда такой не видел... Покажите?
АПК> После перелома "толкателя"
Что за перелом "толкателя"?
АПК> Планируется накостный остеосинтез ключицы с пластикой
АПК> ключично-клювовидной связки.
Судя по представленному снимку - существует дистальный фрагмент, который замечательно, вроде бы, связан с акромионом... Что мешает "пришпилить" проксимальный к дистальному и закрепить его при помощи спиц? или как-то по иному (аппарат?)... В любом случае зачем пока идти большим разрезом на ключично-клювовидную связку? почему не пойти от меньшего?
P.S.
Может быть взять за правило в конференции представлять историю больного в снимках по максимуму? Т.е. в динамике? Вот травма... вот как лечили... Вот что получили... Вот что имеем... Отсюда и вопрос... И тогда не будет постоянного "представьте предыдущие снимки и пр."...
С другой стороны, может быть отсутствие первичных снимков не всегда случайно? (не относите ради бога к этому случаю... так, мысли в слух...)
|
[
Ответить ]
|
Re: Несросшийся перелом ключицы
Отправитель: А.П.Ким 10 Ноябрь 2005, 11:10
|
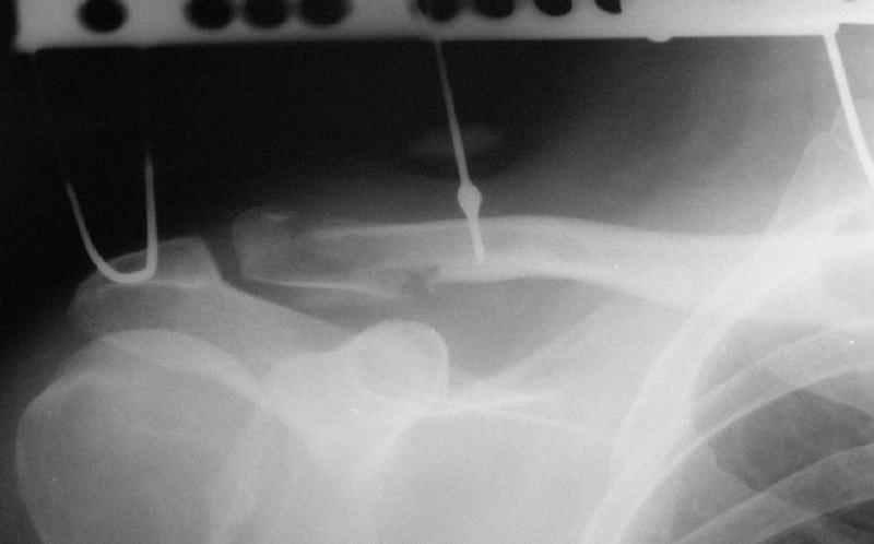
"Толкатель" - укороченная спица с упором. На первичных снимках - оскольчатый перелом, отдельный фрагмент с местом прикрепления кл-кл связки сместился каудально.

|
[
Ответить ]
|
Re: Несросшийся перелом ключицы
Отправитель: Aleksey V. Mozgounov 12 Ноябрь 2005, 13:40
|
Dear А.П.Ким,
АПК>>> После перелома "толкателя"
AM>> Что за перелом "толкателя"?
АПК> "Толкатель" - укороченная спица с упором.
Спасибо, что объяснили...
Я правда, когда задавал вопрос, думал было, что появился новый тип перелома "толкателя" (ядра или чего-то еще)...
Действительно, на представленном вами первично снимке есть кусок спицы... Но что должно было произойти с больным (или что-то иное?), чтобы спица-толкатель сломалась ниже расположенного на ней упора? Оправдано ли использование таких спиц? Или аппарата?
Больной хоть и молодой но отнюдь не ребенок (судя по снимкам)... Почему было не использовать стержень-толкатель, если уж принято было решение за первичный ЧКОС?
И откуда такая любовь к аппаратам при данном виде травмы?
Вас волнует сейчас как отразится на стабильности недлостаточность ключично-клюводиной связки?
Первично правильно сопоставленный перелом (небольшой разрез, спицы) привел бы к тому, что костный фрагмент, отрванный ключично-клювовидной связкой, лег аккурат под своим ложем и тесно к нему... то бишь в итоге сросся бы без проблем... (кстати на вашем снимке костный фрагмент "оскольчатого перелома" консолидирован... то есть даже достигнутая вами несостоятельная фиксация привела к приростанию авульзионно оторванного
фрагмента)
То, что было представлено на вашем снимке - ... - создается впечатление что никакой консолидации в области перелома (основного) достигнуто не было...
Причина? Аппарат? Может быть центральный отломок был смещен кпереди или кзади?
Отсюда и был поднят вопрос, что было бы весьма здорово, если бы задававшие вопрос показывали бы и первичные снимки...
А то возникает следующий ход мыслей...
Вот перелом...
Был применен аппарат...
Все кончилось нехорошо...
Кто не прав?
Аппарат?
Тот кто его накладывал?
Больной по поведению?
Больной по своим индивидуальным особенносятм?
----
А все это перечисленное весьма полязно для принятия правильного решения в итоговой ситуации...
АПК> На первичных снимках -
АПК> оскольчатый перелом, отдельный фрагмент с местом прикрепления кл-кл
АПК> связки сместился каудально.
Я бы назвал данный перелом как перелом с костной авульзией ключично-клювовидной связи... Потому как данный фрагмент лежит вне основной зоны перелома...
|
[
Ответить ]
|
|
Re: Несросшийся перелом ключицы
Evgueny Tchekashkine 10 Ноябрь 2005, 09:10
|
Уважаемый Александр Петрович,
2 мес -достаточный срок для сращения перелома акромиального конца ключицы, коль скоро такого не произошло, можно грешить на интерпозицию надкостницей, платизмой.
Судя по смещению центрального отломка ключицы, у больного разорваны и ключично- клювовидные связки - 2B тип( классификация см. orthopedic knowledge online rev. R. Dopirak may 2004 http://www.aaos.org/oko)
При выборе тактики (консервативной или оперативной) кроме Рг, полезно было бы знать какбольной сам оценивает своё состояние в данный момент на предмет болей, функции плечевого сустава после проведенного лечения в аппарате (ведь мы спасаем не Рг, а функцию) Ежели такая жизнь его не устраивает, то хирургия становится логичным продолжением процесса.
Думаю, что закрытая перкутанная фиксация спицами только вряд ли будет эффективной в данном случае и чтобы *не наступать на одни грабли дважды*
нужно открыть место перелома и убрать все рубцы. Выбор метода фиксации: я бы не стал применять пластину - слишком обширное скелетирование отломков с понятными нежелательными последствиями, в отношении hook plate - не вижу целесообразности в её применении и вот почему: с одной стороны она
обеспечивает стабильную фиксацию перелома акромиального конца ключицы или при вывихе в АС суставе,с другой заводя её крюк под акромион , фактически моделируем субакромиальный импинджмент синдром: травма субакромиальной сумки, ограничение движений в плечевом суставе, главным образом, отведения, разгибания и ротационных движений. За 2 мес., в течении которых наступает сращение перелома наступает атрофия ответственных в вышеупомянутых движениях мышцах, развивается контрактура плечевого сустава . Решить эту проблему очень сложно (случай с подобными последствиями до сих пор в стадии проблемы - не удалось разубедить пациента, а оперирующий хирург создавал серию больных, у которых применял подобную фиксацию,хотя по его заверениям - метод эффективный. Не согласиться с ним нельзя - первоначальная проблема АС сустава была решена, но пациент (сам бывший врач) пока остался с контрактурой в плечевом суставе, атрофией мышц плечевого пояса). Наверное, у кого-то есть и
прекрасные результаты, но я пишу о том, что пришлось наблюдать самому, да и учитывая конструкцию пластины и принцип её работы, подобный результат можно предвидеть. Если фиксацию можно создать меньшей кровью, то логичнее было бы искать альтернативные варианты, но только не hook plate. В качестве альтернативных вариантов спицевая фиксация Weber, Phemister, фиксация спонгиозным винтом через центральный отломок ключицы в основание клювовидного отростка по Rockwood, Bosworth - в принципе, любая техника, обеспечивающая стабильность в межфрагментарной зоне. При фиксации винтом у 45 летнего больного произошла миграция винта с рецидивом смещения отломков, попытки переориентровать компрессирующий винт успехом не увенчались, не удалось достичь полноценной фиксации резьбовой части винта в коракоиде - пришлось фиксировать спицами через акромион . Т.е. на успех такой фиксации можно рассчитывать только при успешной первой попытке( винт прочно держится в основании коракоида) - она же и последняя.
Восстановление/ пластика (коноидальной и трапезоидной - ключично-клювовидный комплекс) скорее показана при вывихах в АС суставе, с
целью восстановления механизма, стабилизирующего ключицу: при изолировнном разрыве ключично-акромиальной связке (Tossy II) возникает вертикальная нестабильность ключицы, если повреждается и ключично-клювовидный комплекс
(TossyIII) - к вертикальной нестабильности присоединяется и горизонтальная.
В данном случае ключично-акромиальная связка интактна, поэтому синтезируя перелом решится и проблема нестабильности центрального отломка.
Удачи,
Е.И. Чекашкин
|
[
Ответить ]
|
Re: Несросшийся перелом ключицы
Отправитель: А.П.Ким 10 Ноябрь 2005, 11:32
|
Спасибо, Евгений Иванович, даже на фирме, торгующей этими пластинами не могли подсказать ее название.В данном случае кл-кл-связка интактна, однако за счет смещения фрагмента с местом ее прикрепления - картина ее несостоятельности. Учитывая основную роль кл-кл связки, при открытых вмешательствах всегда ее восстанавливаем. При достаточно большом дистальном фрагменте синтезируем ключицу пластинами(рекоструктивными, трубчатыми). Учитывая наличие специальной пластины hook plate хотелось бы узнать ( -при вывихе- ):1. показана пластика кл-кл связки , если вправление и фиксация пластиной hook plate осуществлено без пластики кл-кл связки; 2. после ее удаления( через какое-то время)возможна релюксация?( все- таки при выведения крючка повреждаются капсула и кл-акром. связка)
|
[
Ответить ]
|
|
Re: Несросшийся перелом ключицы
Юрий Алексеевич Булахтин 10 Ноябрь 2005, 14:09
|
Уважаемый Александр Петрович!
Я принадлежу к числу тех врачей, кто в начале карьеры был окружен большим количеством опытных, но не слишком "специализированных" хирургов. Про переломы ключицы наслушался всякого: от категорического отказа от операции (ключица - это кость, которая срастается в любом положении сама по себе без операции, "Буденный ломал шесть раз во время гражданской войны и всегда срасталась" и т.п.) до панического ужаса перед ложными суставами ключицы которые не удается устранить ни какими способами и образуются концевые остеофиты в виде "ежей", которые вынуждают идти на удаление дистальных 2/3. Сюда же примыкают вывихи акромиального конца, добавляющие путаницы в методики (в основном вокруг необходимости восстановления связок, ключично-клювовидной в первую очередь).
Оперировал по Ткаченко-Янчуру, Ли-Уайту и т.п. (суть в артродезировании акромиально-ключичного сочленения). Результаты были хорошие, в том смысле, что пациенты были довольны. Но ознакомившись с методиками Bunnella, Lowmann, Мовшовича стал восстанавливать связки.
Лавсан в 80% случаев рано или поздно приходилось удалять из-за воспаления (это касается отечественных лент и сосудистых протезов "Север", с импортными типа "жельсофт" приживление лучше, но ключица уходит в подвывих).
Первичный остеосинтез пластинами делаю всегда при оскольчатых переломах и застарелых повреждениях. Hook plate считаю самой неудачной, т.к. она обоснована теоретически как патогенетическая, а на практике работает хуже любой простой, плюс серьезная травма акромиально-ключичного сочленения. ЧКДО не делал никогда.
Конкретно, по приведенному Вами случаю - сделал-бы одним винтом, вертикально через ключицу в кораковидный отросток с контролем "утопления" на столе. Только когда будете выбирать точку введения в отростке смещайтесь как можно ближе к лопатке, тогда винт пройдет через основание отростка и будет стабильная фиксация. Если ввести
ближе к верхушке то вырвет при движениях несколько раз попадался вначале). Так же оперирую вывихи акромиального конца у субтильных мужчин и женщин. У крепких, мускулистых пациентов ввожу два компрессирующих винта: один в акромиально - ключичное сочленение, другой - как выше указано. Связки отдельно не восстанавливаю.
Сублюксаций и других проблем не было. Винты удаляю через 3 мес.
Дозированные движения разрешаю после снятия швов - через 10-14 дней.
С уважением и пожеланием успехов,
главный травматолог Камчатского Военно-морского госпиталя
Юрий Алексеевич Булахтин
|
[
Ответить ]
|
Re: Несросшийся перелом ключицы
Отправитель: А.П.Ким 10 Ноябрь 2005, 17:40
|
Сегодня прооперировал больного - накостный остеосинтез реконструктивной пластиной с ааллотендопластикой кл-кл связки.

На операции - обширная межотломковая ткань - мобилизовал проксимальный отломок без иссечения м-отломк.ткани, резекция выступающего конца( в последующем использовал как трансплантат).
|
[
Ответить ]
|
Re: Несросшийся перелом ключицы
Отправитель: Evgueny Tchekashkine 10 Ноябрь 2005, 21:40
|
Уважаемый Александр Петрович,
Однако, я сомневаюсь в правильности выбора метода фиксации - фактически только 1 винт (на акромиальном отростке) является рабочим и мне кажется зря вы не убрали рубцы из зоны перелома - для костного сращения контакт кость-кость вроде бы как желателен.
Время покажет, не мигрировал бы только этот самый рабочий винт из губчатой кости....
Е.И. Чекашкин
|
[
Ответить ]
|
Re: Несросшийся перелом ключицы
Отправитель: Alexander Chelnokov 11 Ноябрь 2005, 00:21
|
e> фактически только 1 винт ( на акромиальном отростке) является рабочим
Женя, это в Африке уже акромиальный отросток, а тут, на Урале, все еще акромиальный конец ключицы ;-)
|
[
Ответить ]
|
Re: Несросшийся перелом ключицы
Отправитель: Evgueny Tchekashkine 11 Ноябрь 2005, 23:57
|
- Возражений быть не может по поводу объективности поправки, весьма признателен:-)) и извиняюсь за неточность в терминологии.
- не подумай, что пытался проверить твои способности по чтению Рг, даже и в мыслях не было:-)) просто, опечатался:
- И на Урале и на/в Африке этот отдел ключицы обзывается одинаково - двух мнений быть не может и это сближает.
--
Всего Доброго,
Евгений И Чекашкин
|
[
Ответить ]
|
Re: Несросшийся перелом ключицы
Отправитель: А.П.Ким 11 Ноябрь 2005, 10:21
|
После мобилизации проксимального отломка достигнут контакт в нижней части . 2 винта в дистальном отломке + петля аллосухожилия, проведенная через канал в проксимальном отломке должна нейтрализовать смещающие силы - надеюсь.
|
[
Ответить ]
|
Re: Несросшийся перелом ключицы
Отправитель: Evgueny Tchekashkinу 12 Ноябрь 2005, 13:49
|
Уважаемый Александр Петрович,
Спасибо за пояснения.
Интересно было бы взглянуть на снимки через 8 нед, по возможности покажите результат лечения на форуме.
Какой режим для больного в послеоперационном периоде вы рекомендовали?
Активная/ пассивная реабилитация?
или иммобилизация?
Е.И. Чекашкин
|
[
Ответить ]
|
Re: Несросшийся перелом ключицы
Отправитель: А.П.Ким 13 Ноябрь 2005, 11:15
|
После операции конечность фиксирована косынкой. Планируется применение отводящей шины (съемной), Лфк с 4-5 дня.- форсировать разработку не собираюсь. контроль в 1 месяц.
|
[
Ответить ]
|
Re: Несросшийся перелом ключицы
Отправитель: сергей иваниций 24 Январь 2007, 00:45
|
Уважаемый доктор как вы относитесь к оперативному лечению переломов ключицы у подростков 14-16 лет
|
[
Ответить ]
|
|
Re: Несросшийся перелом ключицы
Дрягин В. 13 Ноябрь 2005, 18:00
|
Компания Synthes для АО выпускает спецальную пластину для лечения разрывов ключично-акромиального сочленения и эта же пластина прекрасно себя зарекомендовала при переломах акромиального конца.По этой методике мы оперировали 7 пациентов результаты очень хорошие.Пластина ввиде штыка.Один конец погружается под акромион второй укладывается до с/3 ключицы и фиксируется винтами.Хокеисты выходят на лед на 15 день.Если есть интерес расскажу подробно.Постараюсь найти снимки.С уважением.
|
[
Ответить ]
|
Re: Несросшийся перелом ключицы
Отправитель: А.П.Ким 13 Ноябрь 2005, 18:35
|
"Если есть интерес расскажу подробно"-интерес есть.
Через какой срок удаляете фиксатор?
В свежих случаях удаляете диск?
Были случаи подвывиха после удаления пластины? Как видите вопросов много.
|
[
Ответить ]
|
Re: Несросшийся перелом ключицы
Отправитель: Дрягин В. 13 Ноябрь 2005, 23:33
|
Уважаемый коллега. Случаев подвивихов не было. Диск удаляю, иначе пластину сложно завести. После удаления диска операция 20 минут. Был один случай неврита без потери двигательной функции конечности, но с болевым синдромом по типу плечелопаточного периартрита, но это связано с неправильным подбором пластины. Пластина правая и левая, но главное высота между клинком, который вводите под акромион и самой диафизарной частью пластины, которая располагается сверху ключицы.Эта часть есть 14мм и 18 мм. Лучше 18мм. Иначе когда будете вправлять отломки путём введения клинка и уложения пластины на ключицу и произойдет этот
неврит. У доктора из Зеленограда (Миша Назаров, он поставил их больше все в России несколько десятков, его телефон можно узнать в Матисе)
тоже были схожие проблемы. Даже если акромион кажется тонкий, но это мужчина берите 18мм. И ещё связки никогда не восстанавливали. Не делали никакой ленты. Все срастается. Пластину раньше, чем через год не удаляем. Случаев перелома акромиона также не было. ЛФК начинаем сразу. Очень хорошо при переломах акромиального конца. По Веберу фиксация здесь вообще никакая, чисто символическая. Пластина позволяет добится идеальной репозиции и очень хорошей фиксации. Стоит я думаю с винтами 12-15тыс., но зато проблем минимум и если честно очень не сложно устанавливается, а фиксация супер. У нас в Тракторе играют 2 хоккеиста в высшей лиги. Их-то ноги и руки кормят. Подумайте. Что надо 8351 7412367 или 8 351 2333380
С уважением Дрягин.
|
[
Ответить ]
|
Re: Несросшийся перелом ключицы
Отправитель: Paul 10 Октябрь 2006, 16:03
|
По всему видно, что остеосинтез выполнен неряшливо: неправильное предоперационное планирование и недостаточная и нестабильная, в перспективе, фиксация. Надо начать все сначала.
|
[
Ответить ]
|
|
Re: Несросшийся перелом ключицы
Наталья 25 Октябрь 2009, 19:54
|
SOS! Уважаемые специалисты! У моего 14-летнего сына перелом ключицы со смещением. Хирурги-травматологи настаивают на операции. Нет ли возможности обойтись без хирургического вмешательства и насколько это опасно? К сожалению не могу предоставить снимков,они у лечащего врача. Неужели нет никакой альтернативы операции? Очень жду вашего ответа. Заранее благодарна за отзывы. Операция уже назначена.
|
[
Ответить ]
|
Re: Несросшийся перелом ключицы
Наталья 25 Октябрь 2009, 19:55
|
SOS! Уважаемые специалисты! У моего 14-летнего сына перелом ключицы со смещением. Хирурги-травматологи настаивают на операции. Нет ли возможности обойтись без хирургического вмешательства и насколько это опасно? К сожалению не могу предоставить снимков,они у лечащего врача. Неужели нет никакой альтернативы операции? Очень жду вашего ответа. Заранее благодарна за отзывы. Операция уже назначена.
|
[
Ответить ]
|
( Ответить )
|
|