вверх
отправить
поиск
админ
главная
|
Нужен совет - проблемы после эндопротезирования коленного сустава |
 |
 |
 |
Отправлено Alexander Rykov 17 Ноябрь 2005, 18:19
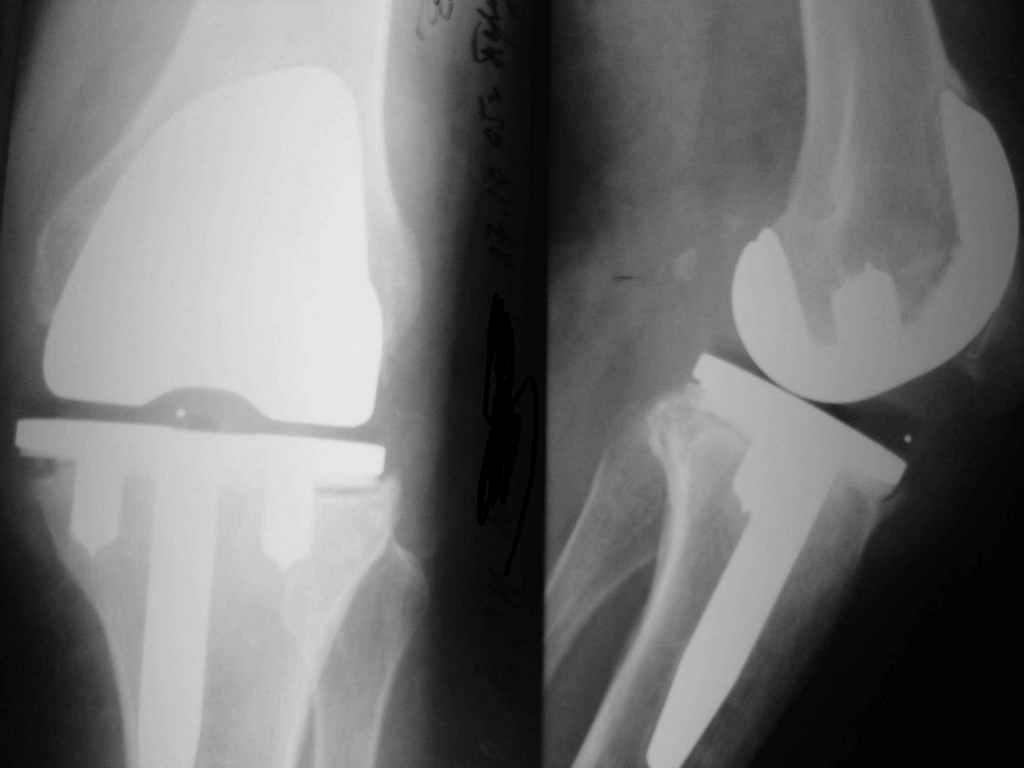
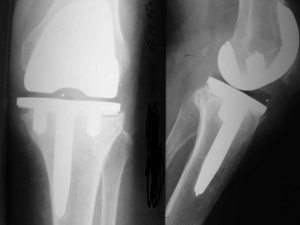
Уважаемые коллеги. Пациентка 65 лет соматически сохранна 6,5 месяцев назад выполнено замещениеколенного сустава интегральным эндопротезом Фримана Самуэльссона - цемент, по поводу ДОА. Послеоперационное течение с длительным субфебрилитетом. Местно без особенностей и выписана домой на 28 сутки с обьемом движений в колене 90 град. с частичной опорой. Дома отмечала субфебрильную лихорадку. Живет в небольшом поселке далеко от цивилизации. Контрольный осмотр в 3 месяца особых клинических проблем лечащий врач не нашел. Однако рентгенологически отмечены зоны остеопороза вокруг компонентов, на которые не обратил внимание. С 4 месяца отметила ухудшение - отек в колене, ограничение движений и боль. Лечилась у местного врача-хирурга (нестероиды и местно мазилки) - без эффекта. Обратилась только в 6,5 мес. Движения в суставе 20 град, отечность колена, выпот по УЗИ. Боль неопределенная, ходит с тростью. Лихорадки нет, в ан крови СОЭ 36 остальное норма, острофазовые тесты СРР повышен вдвое = 12 (при норме 6) Ревмотест - норма..Пункция - посев - роста не дает. Пробовали артроскопию - артрофиброз. Трудности осмотра из-законтрактуры и спаек. Рентгенограммы в динамике - в приложении (динамика с ухудшением). Вопросы:1. Инфекция? или остеопения местная? 2. Ревизия или подождать и полечить остеотропами? Благодарю заранее за любой совет. А Рыков. Хабаровск.
<
|
>
|
|
Ответить
|
Re: Нужен совет - проблемы после эндопротезировани
Е.И.Чекашкин 18 Ноябрь 2005, 11:49
|
Уважаемый А.Рыков,
Показание к ревизии - нестабильность протеза (его компонентов) В приведённом Вами случае на Рг очевидная зона резорбции вокруг тибиального компонента следствие этого его нестабильность. Наиболее вероятна вялотекущая инфекция( судя по показателям крови и клиническим проявлениям: отек, боль, выпот и как следствие - ограничение функции)
Известно, что при посеве синовиальной жидкости, рост обнаруживается только в 70 % -остальные баки
требуют специальных технологий( напр. H. influenza инкубация только в углекислом газе), поэтому отсутствие роста при посеве материала не исключает инфекции.
Отправьте выпот на цитоз и содержание глюкозы - лейкоцитами ( более 50000 и выше - ), при сепсисе
содержание глюкозы в синовиальной жидкости ниже её уровня в крови за счет повышения её потребления лейкоцитами.
Это все мероприятия по поиску и диагностике позднего послеоперационного сепсиса.
Надеяться на чудо, что тибиальный компонент *самостабилизируется* едва ли приходится, наоборот, отсрочка ревизии усугубляет околопротезную деструкцию и ревизия технически усложняется за счет дефицита опорной кости, придётся изобретать с графтами и спейсерами, а это дополнительные расходы (в данном случае время - деньги :-))
Что за остеотропы Вы упоминали? бисфосфонаты? фосамакс?
Е.И. Чекашкин
|
[
Ответить ]
|
Re: Нужен совет - проблемы после эндопротезировани
Отправитель: Alexander Rykov 19 Ноябрь 2005, 00:19
|
Спасибо Евгений. Сам давно созрел. Но совет коллег важнейшее дело. В ближайшее время - ревизия. А. Рыков
|
[
Ответить ]
|
Re: Нужен совет - проблемы после эндопротезировани
Отправитель: Alexander Chelnokov 19 Ноябрь 2005, 00:22
|
Подумалось про возможность, о применении которой в подобной ситуации у меня нет информации, но умозрительно не видно явных причин, почему бы
и нет. Сегодня есть bone substitutes на основе фосфата или сульфата кальция, которые можно вводить в жидком виде через иглу, а после введения они схватываются, и сразу имеют первичную прочность. То есть как костный цемент, но без температурной реакции. И можно в порошок добавить и антибиотик. Они, в отличие от цемента (который метилметакрилат, пластмасса), пористые, и прорастают костью. Если из нескольких точек ввести этот состав под ложе протеза, вполне должно бы получиться и добиться стабилизации протеза, и создать депо антибиотика. Такого рода состав предлагает, например, Ceraver - надо поинтересоваться в "Деосте", есть ли оно уже в России. А также это MIIG (Minimally Invasive Injectable Graft, Wright Medical Technology,
www.wmt.com) и Norian SRS (http://www.synthes.com/html/Norian_SRS.5007.0.html), может, и еще какие есть.
|
[
Ответить ]
|
|
Re: Нужен совет - проблемы после эндопротезировани
Игорь М. Зазирный 19 Ноябрь 2005, 00:22
|
Коллеге Рыкову.
1.Инфекция.
2.Ревизия.
Опыт 180 эндопротезирований коленного сустава подсказывает такие ответы.
Зазирный.Киев.
|
[
Ответить ]
|
( Ответить )
|
|