AOTRAUMA.ORG Центр Илизарова  

Ортопедия и травматология Общие вопросы/General questions Help Информационные технологии в медицине
 вверх
 отправить
 поиск
 админ
 главная
 Предыдущее
 Весь тред


Re: Severely comminuted Trochenteric #
Amal Basak 28 Январь 2006, 23:57
Thank you very much sir,
Can you give some tips for reduction of the comminuted subtrochenteric part.

Amal

  • Сообщения о Ортопедия и травматология
  • Также Amal Basak
  • Связаться с автором
  • Ответить

    Re: Severely comminuted Trochenteric #
    Alexander Chelnokov 29 Январь 2006, 00:05
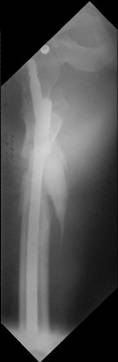
    I would use a small wire distractor mentioned in the list some times. Proximal wire is in the iliac crest in AP direction. The leg is adducted. I attached some images. At the AP view under image intensifier you can see adduction but even slight valgus reduction.



    [ Ответить ]


    ( Ответить )

    Powered by Zope  Squishdot Powered MedLink
    Посетитель: 0197022
      "По форме правильно, а по существу - издевательство" В.И.Ленин
    ©2001-2019Orthoforum Coordinator.
    [ Главная | Отправить сообщение | Поиск | Админ ]