ВХОД ДЛЯ ПАЦИЕНТОВ
вверх
поиск
админ
главная
исходное
|
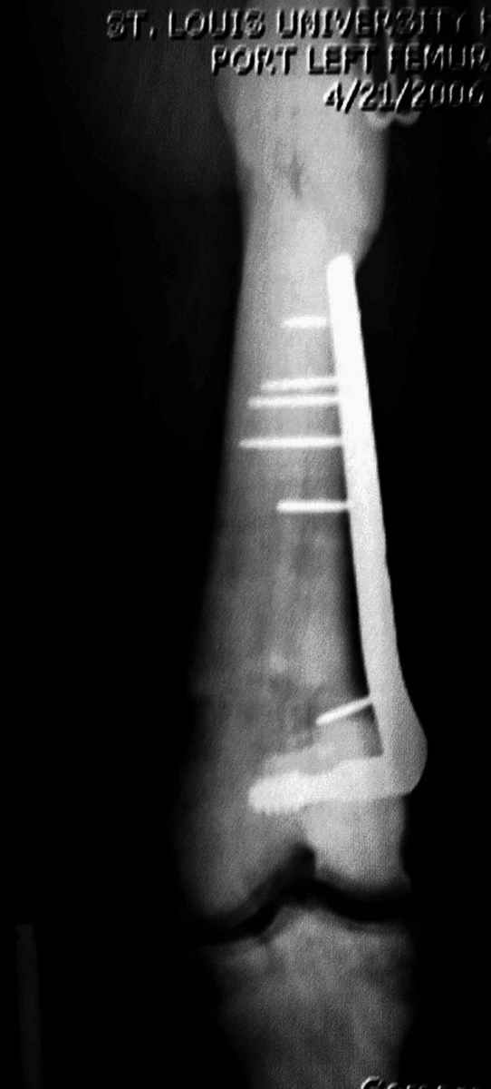
Re: [2/3] Перелом проксимального бедра
послал Djoldas Kuldjanov 30 Апрель 2006, 00:21
|

Здесь у меня дополнительные снимки с большим разрешением и в разных режимах, а то те дигитал снимки совсем очень блеклые, может, эти изображени изменят выбор тактики
Djoldas Kuldjanov, MD
Department of Orthopedic Surgery
St. Louis University Medical Center
|
| Послать ответ |
Обратите внимание: Поля с жирными названиями обязательны.
Старайтесь отвечать в рамках обсуждаемой темы, а не начинать новые обсуждения.
Указывайте адекватную тему сообщения, чтобы было ясно, о чем оно.
Не послайте сообщений не по теме (оффтопик), раздраженных, грубых или обидных комментариев. Здесь это неуместно.
|