Ответить
|
Re: [2/3] Перелом проксимального бедра
Алексей Семенистый 29 Апрель 2006, 15:14
|
Что-то пациенту как-то не везет по жизни... Тоже самое - интрамедуллярный остеосинтез коротким штифтом для проксимального отдела бедра. Ранняя нагрузка сразу...
|
[
Ответить ]
|
Re: [2/3] Перелом проксимального бедра
Alexander Chelnokov 29 Апрель 2006, 15:24
|
Наша тактика была бы - вертельный гамма стержень. Его длина 180 мм, должен поместиться до пластинки. Инструмент для формирования (не рассвреливания!) кнала, если он запаян, у нас есть.
|
[
Ответить ]
|
Re: [2/3] Перелом проксимального бедра
Djoldas Kuldjanov 30 Апрель 2006, 00:21
|

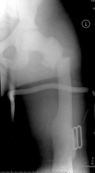
Здесь у меня дополнительные снимки с большим разрешением и в разных режимах, а то те дигитал снимки совсем очень блеклые, может, эти изображени изменят выбор тактики
Djoldas Kuldjanov, MD
Department of Orthopedic Surgery
St. Louis University Medical Center
|
[
Ответить ]
|
Re: [2/3] Перелом проксимального бедра
Отправитель: Алексей Семенистый 01 Май 2006, 00:53
|
Любой стандартный штифт для проксимального отдела бедра пройдет. TGN действительно из всех самый короткий, и поэтому предпочтительнее.
|
[
Ответить ]
|
Re: [2/3] Перелом проксимального бедра
Отправитель: Djoldas Kuldjanov, M.D. 01 Май 2006, 19:05
|
Не вызывает ли подозрение, что отсутствует медуллярный канал, как просверлить канал?
|
[
Ответить ]
|
Re: [2/3] Перелом проксимального бедра
Отправитель: Алексей Семенистый 01 Май 2006, 23:02
|
Djoldas Kuldjanov > Не вызывает ли подозрение, что отсутствует медуллярный канал,
Канал, возможно, действительно запаян. Но разве большие проблемы его создать и рассверлить (если только это мраморная болезн?) Уверен, в вашей клинике есть для этого всё.
Djoldas Kuldjanov >как просверлить канал?
1. Верхушку б\вертела всктыть спицей и рассверлить каннюлированным инструментом (14 мм).
2. Если в диафизарной части канал запаян, то, используя сам штифт, введенный в проксимальный отломок, как центратор, по нему завести спицу в центр дистального отломка и сформировать канал, сначала тонкий 4 мм.
3. Гибкими (неканнюлированными) развертками диаметром 6,7 и 8 мм последовательно расширить канал.
4. Рассверливать каннюлироваными развертками по направляющей спице до нужного диаметра.
|
[
Ответить ]
|
Re: [2/3] Перелом проксимального бедра
Отправитель: Djoldas Kuldjanov, M.D. 02 Май 2006, 18:55
|
А как проверить, "если только это мраморная болезнь"? Какие анализы нужны, чтобы подтвердить предполагаемый диагноз?
|
[
Ответить ]
|
Re: [2/3] Перелом проксимального бедра
Отправитель: Алексей Семенистый 04 Май 2006, 08:11
|
Диагноз клинико-рентгенологический: характерная рентгенологическая картина, частые патологические переломы... Заболевание наследственное, в наших краях редкое, передается рецессивным геном и прявляется в гомозиготном организме, поэтому важна информация о бабушках, прадедушках, пра-пра....
Теоретически возможна молекулярно-генетическая диагностика - анализ ДНК
|
[
Ответить ]
|
|
Re: [2/3] Перелом проксимального бедра
Djoldas Kuldjanov 04 Май 2006, 23:16
|
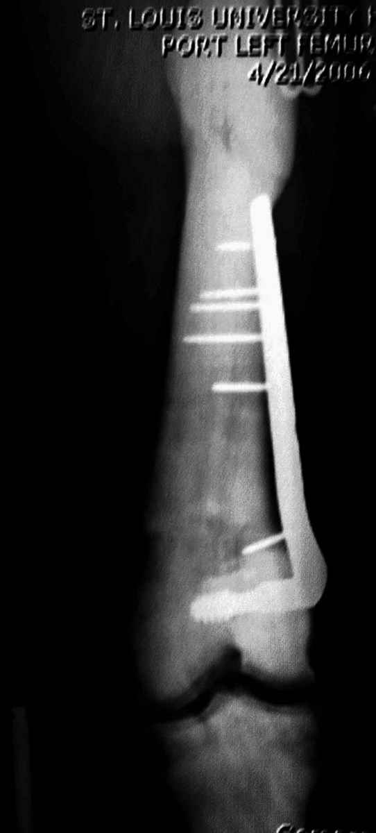
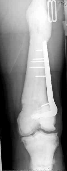
После неудачной попытки скелетного вытяжения в первом мед.учреждении, после осмотра снимков и изучения истории, поставили диагноз “Остеопетроз” или мраморная болезнь, редкая наследственная костная паталогия, где имеется нарушение формации остеокластов.
Конечно, было бы идеальным применение интрамедуллярного остеосинтеза, но учитывая прежний собственный опыт (лечил перелом бедра) и
публикации, предупреждающие о трудностях при обработке кости (иногда из-за неподготовленности инструментария результатом была неадекватная фиксация перелома, или перенос операции из-за фактора усталости оперирующего персонала), решили применить пластину (и в этом же случае был выбран Synthes plate, так что представитель за два дня
зароботал... на десерт тоже).
Заказаны были дополнительные различные дрели, и на следующий день, усиленной бригадой, больного прооперировали, потратив на каждое отверстие около 25-35 минут, хотя сверлили с охлаждением по нарастающей по диаметру сверл и с их заменой каждые 2 мм сверления.

Теперь стоит задача со сращением перелома, из-за отсутствия литературных данных по применению костных стимуляторов при остеопетрозе, и не зная как поведет в этой среде Grafton, все таки надеюсь, что даст толчок к стимуляцию, решил применить пастообразную деминерализованную костную матрицу, расположив спереди между отломками.
Djoldas Kuldjanov, MD
Department of Orthopedic Surgery
St. Louis University Medical Center
|
[
Ответить ]
|
Re: [2/3] Перелом проксимального бедра
Отправитель: Алексей Семенистый 05 Май 2006, 00:54
|
Уважаемый Djoldas, огромное спасибо за представленные наблюдения. Пластины во всех 3-х случаях одинаковые, но насколько разным был путь осмысления.
>...учитывая прежний собственный опыт, ....решили применить пластину..., ..потратив на каждое отверстие около 25-35 минут...
Значит операция длилась часа 4? Один раз имел "удовольствие" участвовать в рассверливании канал мраморной кости (все-таки канал узкий, но был, 5-6 мм). Инструмент был новый... Очень тяжело! Но все-таки получилось. Перелом был похожий, гвоздь - Кюнтчера (других тогда не было-1994г), самый тонкий (кажется 8 мм). Снимков к сожалению нет, судьба пациента и его перелома неизвестна :(.
>Теперь стоит задача со сращением перелома...
Известно, что переломы при этой болезни сратаются хорошо - сам больной тому пример! Питание кости за счет периоста (эндооста просто нет), поэтому мы выбрали гвоздь (техники MIPO и блокированных пластин тогда в помине не было)...
Очень интересно будет если покажете на форуме динамику и результат.
С уважением А.Семенистый.
|
[
Ответить ]
|
|
( Ответить )
|
|