ВХОД ДЛЯ ПАЦИЕНТОВ
вверх
поиск
админ
главная
исходное
|
Re: Последствия открытого переломо - вывиха таранн
послал Alexander Chelnokov 13 Июнь 2006, 00:58
|
> кости. Выполнена ПХО, фиксация голени и стопы стержневым аппаратом.
> Рана зажила без осложнений. Аппарат демонтирован через 1,5 месяца.
> В настоящее время больной предъявляет жалобы на боль в
К заживлению раны как раз был удачный момент для реконструктивной операции.
> В качестве варианта хирургического лечения мы считаем возможным
> выполнить следующее вмешательство: артродез большеберцовой и
> пяточной костей
Этого будет вполне достаточно.
> в сочетании с артродезом переднего края большеберцовой кости и
> головки таранной кости с фиксацией спонгиозными винтами.
Винты, в приницпе, можно использовать для дополнительной фиксации пятки и tibia.
> Считаем выполнение артродеза переднего края большеберцовой кости и
> элементов I луча стопы необходимым для максимального восстановления
> опороспособности конечности.
Специально за этим гнаться не приходится. Обычно передний край большеберцовой кости хорошо прилегает к культе тарана, подравнять поверхности для лучшего контакта - не проблема. Наоборот, как бы слишком много от шейки тарана не оставить. Если сделать полную астрагалэктомию, то есть не оставлять и головку тарана - тоже беда небольшая.
Если есть целые ПК и ТЛ суставы, то для нормальной опороспособности достаточно позаботиться только берцово-пяточном блоке.
> Однако выполнение операции в указанном
> объеме привело бы к относительному укорочению внутреннего свода
> стопы. Мы видим два пути решения данной проблемы:
Учитывая ликвидацию голеностопного и подтаранного суставов, надо поберечь остающиеся, чтобы рессорную функцию стопы сохранить по максимуму. Поэтому лучше избегать всякого рода дополнительных вмешательств поблизости от ТЛ и ПК суставов, а то на некоторых схемах чуть ли не их замыкание предусматривается. Опил большеберцовой кости
нарисован слишком горизонтальный, надо пересекать ее параллельно контактной поверхности пятки, наклонно, т.е. больше убрать сзади.
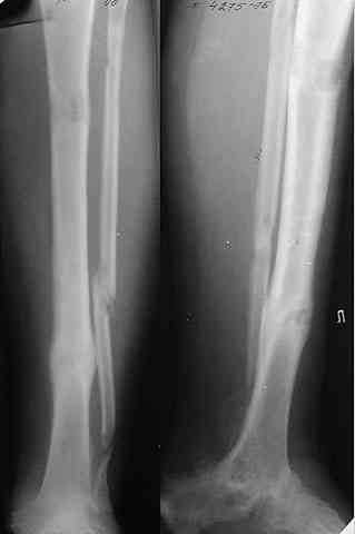
Не адресована другая проблемы - берцово-пяточный блок достигается ценой укорочения конечности на 3-4 см. Поэтому надо предусмотреть что-то для удлинения. У нас в клинике традиционный подход - билокально удлинять большеберцовую кость. Раньше еще и малоберцовую рубили на двух уровнях. Сейчас (спасибо коллегам из форума) пользуемся только
той остеотомией, которая делается для отворачивания кожно-костного лоскута с малоберцовой костью. Фиксируем все это аппаратом (пример в приложении) около 4 мес.

То есть относительно недолго. Про винты поэтому стоит вспомнить, только если опору со стопы хочется снять совсем уж рано. Можно, в принципе, и о штифтовании подумать. Правда, мы пока думаем - они так срастись успевают.
|
Послать ответ |
Обратите внимание: Поля с жирными названиями обязательны.
Старайтесь отвечать в рамках обсуждаемой темы, а не начинать новые обсуждения.
Указывайте адекватную тему сообщения, чтобы было ясно, о чем оно.
Не послайте сообщений не по теме (оффтопик), раздраженных, грубых или обидных комментариев. Здесь это неуместно.
|