вверх
отправить
поиск
админ
главная
|
Последствия открытого переломо - вывиха таранной кости |
 |
 |
 |
Отправлено Павел Иванов 12 Июнь 2006, 16:05
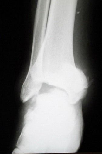
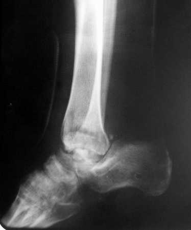
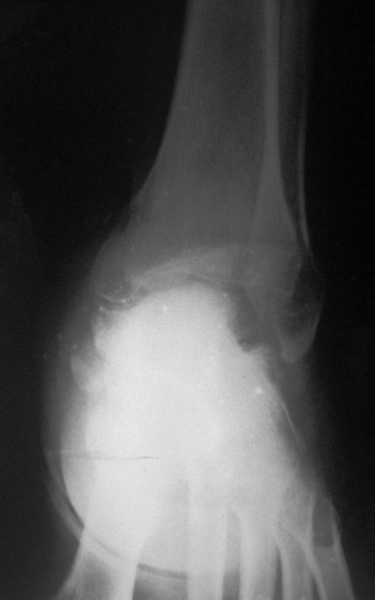
Глубокоуважаемые коллеги! Просим совета в лечении пациента с последствиями тяжелой сочетанной травмы. Пациент С., 41 года, по профессии бизнесмен, в сентябре 2005 г. пострадал в дорожно-транспортном происшествии (упал с мотоцикла). Диагноз: ЗЧМТ, ушиб головного мозга тяжелой степени. Открытый переломо-вывих левой таранной кости. Закрытые переломы лонной и седалищной костей слева. Был доставлен в НИИСП им. Н.В. Склифосовского. При ПХО раны выявлен открытый перелом левой таранной кости (III тип по Hawkins) с утратой вывихнутого тела таранной кости. Выполнена ПХО, фиксация голени и стопы стержневым аппаратом. Рана зажила без осложнений. Аппарат демонтирован через 1,5 месяца. В настоящее время больной предъявляет жалобы на боль в голеностопном суставе при нагрузке. Передвигается с опорой на костыли с дозированной нагрузкой на левую стопу.Голень и стопа фиксированы циркулярной пластиковой повязкой. Сохраняются остаточные явления ЧМТ (в виде сниженной критики к своему состоянию и определенной недисциплинированности в выполнении врачебных рекомендаций) Рентгенограммы – рис. 1, 2 (просим извинения за низкое качество рентгенограмм), схема – рис. 3. В качестве варианта хирургического лечения мы считаем возможным выполнить следующее вмешательство: артродез большеберцовой и пяточной костей в сочетании с артродезом переднего края большеберцовой кости и головки таранной кости с фиксацией спонгиозными винтами. Считаем выполнение артродеза переднего края большеберцовой кости и элементов I луча стопы необходимым для максимального восстановления опороспособности конечности. Однако выполнение операции в указанном объеме привело бы к относительному укорочению внутреннего свода стопы. Мы видим два пути решения данной проблемы: Вариант 1. Применение костного трансплантата (свободного или на сосудистой ножке) для замещения дефекта головки таранной кости и сохранения геометрии внутреннего свода стопы (рис 4). Преимущество: относительная простота операции. Недостаток: высокий риск замедленной консолидации или лизиса трансплантата. Вариант 2. Резекция участка пяточной кости с последующим остеосинтезом винтами для укорочения наружного свода стопы (рис 5, 6). Преимущества: сохранение собственного кровоснабжения всех синтезируемых участков костей. Недостатки: дополнительная травматизация, усугубление деформации стопы в виде нарушения наружного свода. Будем признательны за ваши предложения, включая возможные альтернативные варианты лечения.Заранее благодарны за добрые советы и поддержку. А. Федосов, О. Диденко, П. Иванов. Отделение множественной и сочетанной травмы НИИСП им. Н.В. Склифосовского, г. Москва.
<
|
>
|
|
Ответить
|
Re: Последствия открытого переломо - вывиха таранн
Leonid N.Solomin 13 Июнь 2006, 00:42
|
Уважаемые А. Федосов, О. Диденко, П. Иванов:
В подобных случаях мы используем таранно-большеберцовый артродез с одновременным удлинением голени по Илизарову. Если тактика Вами будет принята, можно обсудить детали.
Всего наилучшего,
Л.Соломин
195427, С.-Петербург,
ул. акад. Байкова, 8,
ФГУ «РНИИТО им. Р.Р.Вредена Росздрава»
Соломин Леонид Николаевич, д.м.н.
|
[
Ответить ]
|
|
Re: Последствия открытого переломо - вывиха таранн
Alexander Chelnokov 13 Июнь 2006, 00:58
|
> кости. Выполнена ПХО, фиксация голени и стопы стержневым аппаратом.
> Рана зажила без осложнений. Аппарат демонтирован через 1,5 месяца.
> В настоящее время больной предъявляет жалобы на боль в
К заживлению раны как раз был удачный момент для реконструктивной операции.
> В качестве варианта хирургического лечения мы считаем возможным
> выполнить следующее вмешательство: артродез большеберцовой и
> пяточной костей
Этого будет вполне достаточно.
> в сочетании с артродезом переднего края большеберцовой кости и
> головки таранной кости с фиксацией спонгиозными винтами.
Винты, в приницпе, можно использовать для дополнительной фиксации пятки и tibia.
> Считаем выполнение артродеза переднего края большеберцовой кости и
> элементов I луча стопы необходимым для максимального восстановления
> опороспособности конечности.
Специально за этим гнаться не приходится. Обычно передний край большеберцовой кости хорошо прилегает к культе тарана, подравнять поверхности для лучшего контакта - не проблема. Наоборот, как бы слишком много от шейки тарана не оставить. Если сделать полную астрагалэктомию, то есть не оставлять и головку тарана - тоже беда небольшая.
Если есть целые ПК и ТЛ суставы, то для нормальной опороспособности достаточно позаботиться только берцово-пяточном блоке.
> Однако выполнение операции в указанном
> объеме привело бы к относительному укорочению внутреннего свода
> стопы. Мы видим два пути решения данной проблемы:
Учитывая ликвидацию голеностопного и подтаранного суставов, надо поберечь остающиеся, чтобы рессорную функцию стопы сохранить по максимуму. Поэтому лучше избегать всякого рода дополнительных вмешательств поблизости от ТЛ и ПК суставов, а то на некоторых схемах чуть ли не их замыкание предусматривается. Опил большеберцовой кости
нарисован слишком горизонтальный, надо пересекать ее параллельно контактной поверхности пятки, наклонно, т.е. больше убрать сзади.
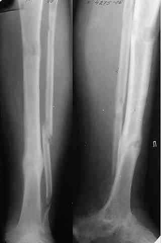
Не адресована другая проблемы - берцово-пяточный блок достигается ценой укорочения конечности на 3-4 см. Поэтому надо предусмотреть что-то для удлинения. У нас в клинике традиционный подход - билокально удлинять большеберцовую кость. Раньше еще и малоберцовую рубили на двух уровнях. Сейчас (спасибо коллегам из форума) пользуемся только
той остеотомией, которая делается для отворачивания кожно-костного лоскута с малоберцовой костью. Фиксируем все это аппаратом (пример в приложении) около 4 мес.

То есть относительно недолго. Про винты поэтому стоит вспомнить, только если опору со стопы хочется снять совсем уж рано. Можно, в принципе, и о штифтовании подумать. Правда, мы пока думаем - они так срастись успевают.
|
[
Ответить ]
|
Re: Последствия открытого переломо - вывиха таранн
Pavel Ivanov 21 Июнь 2006, 17:59
|
Александр Николаевич,
Ваш совет заставил нас еще раз взвесить все «за» и «против», почитать медицинскую периодику и, в итоге, скорректировать наши планы. Предложенный Вами метод лечения в подобной ситуации поддерживают также и другие наши коллеги (например, статья Tibiocalcaneal fusion for avascular necrosis of the talus M. G. Dennison, R. D. Pool, R. B. Simonis, and B. S. Singh J Bone Joint Surg Br 2001 83-B: 199-203). Не вызывает сомнений и необходимость удлинения большеберцовой кости для компенсации укорочения поврежденной конечности.
В итоге: мы планируем выполнить пациенту большеберцово-пяточный артродез в аппарате Илизарова с одновременной остеотомией берцовых костей и их последующим удлинением. Возможно, мы дополним фиксацию артродезируемых костей винтами.
Спасибо за представленные иллюстрации лечения пострадавшего с оскольчатым переломом таранной кости.
Просим Вас, при возможности, описать этот случай, так как мы, например, при закрытых (а, зачастую, и открытых) переломах таранной кости пытаемся выполнить ее остеосинтез, а не удаление.
Леонид Николаевич, предложенный Вами таранно-большеберцовый артродез, нам представляется технически сложным для применения в данной ситуации. У нашего пациента таранная кость представлена небольшим чешуевидным фрагментом головки, толщиной менее 1 см. Поэтому мы полагаем, что выполнение подобной операции было бы крайне затруднительно. Кроме того, выполнение только лишь таранно-большеберцового артродеза не обеспечит должной стабильности заднего отдела стопы.
Большое спасибо всем участникам нашей небольшой, но крайне полезной дискуссии.
А. Федосов, О. Диденко, П. Иванов.
Отделение множественной и сочетанной травмы НИИСП им. Н.В. Склифосовского, г. Москва.
|
[
Ответить ]
|
Re: Последствия открытого переломо - вывиха таранн
Отправитель: Leonid Solomin 21 Июнь 2006, 18:04
|
Возможно, была опечатка: имелся в виду именно большеберцово-пяточный артродез с одновременным удлинением голени.
Всего наилучшего,
Л.Соломин
|
[
Ответить ]
|
|
Re: Последствия открытого переломо - вывиха таранн
Nikolay Koryshkov 23 Июнь 2006, 16:37
|
Здравствуйте, уважаемые коллеги!
Ваша дискуссия заставила перелистать свои наблюдения.
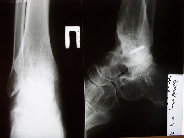
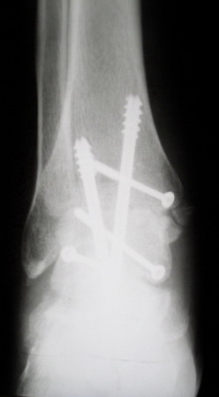
Среди повреждений таранной кости (Hawkins III-IV) с одновременной травмой лодыжек встретилось следующее (см. вложение). Пациент упал в колодец на глубину 10 метров (Х.2002 г.), госпитализирован с диагнозом: з/перелом шейки правой таранной кости (Hawkins IV) с переломовывихом тела назад и кнутри, закрытый перелом внутренней лодыжки и переднего края большеберцовой кости. Оперирован в первые 12 часов после травмы, выполнена открытая репозиция таранной кости, внутренним и передне-внутренними доступами, остеосинтез переломов шейки и тела губчатыми винтами, для реваскуляризации тела таранной кости первичный компрессионный над- и подтаранный артродез. Синтез внутренней лодыжки губчатым винтом. Удаление винтов через 1 год,2 мес. Получен анкилоз указанных суставов с сохранением длины конечности, полная реваскуляризация таранной кости, о чем говорит сращение ее переломов, отсутствие отеков и
цианоза стопы и голени. Компенсаторная подвижность переднего и среднего отделов стопы около 15-20 градусов за счет поперечного (Шопара) сустава стопы. Считаю оправданной подобную тактику, не смотря на угрожаемый прогноз (100% асептический некроз) по классифицкации Hawkins.

С уважением,
Nikolay Koryshkov
|
[
Ответить ]
|
Re: Последствия открытого переломо - вывиха таранн
Djoldas Kuldjanov 24 Июнь 2006, 23:28
|
Некритичным и недисциплинированным больным трудно рекомендовать сложные реконструктивные операции, осбенно лечения аппаратами наружной фиксации, и я бы остановился на вашем первом варианте «применение костного трансплантата для замещения дефекта головки таранной кости» и с внутренней фиксацией шурупами, хотя аппаратное лечение импонирует тем, что в любой момент есть возможность коррекции конструкции в нужное русло.
При создании пяточно-большеберцового артродеза кроме удлинения большеберцовой ещё нужно обратить внимание на положения стопы:
1. дорсифлекция в 5 градусов от нейтральной
2. вальгус в 5 градусов
3. наружную ротацию примерно на 3-5 градусов
4. смещение стопы назад
имеющиеся слабость четырехглавой мышцы компенсируется 10 градусным эквинусом стопы
При применении шурупов для фиксации, рекомендуется применение 6.5 или 7мм каннулированных шурупов с шайбой, через пятку направленному к переднему кортексу (придасть стабильность) большеберцовой и если имеется возможность провести второй паралельно или под углом, причем на разных уровнях кортикального слоя иначе спереди большеберцовой
образуется стрессовая зона. Для контроля ненужного эквинуса при затягивании шурупов рекомендуется
задний шуруп затягивать первым и дополнительный вертикальный шуруп при сомнении на стабильность.
Остеотомия дистального конца малоберцовой с укорочением и с удалением внутренней половины уменьшает диаметр внизу и создает натуральный
контур голени.
Djoldas Kuldjanov, MD
Department of Orthopedic Surgery
St. Louis University Medical Center
|
[
Ответить ]
|
( Ответить )
|
|