ВХОД ДЛЯ ПАЦИЕНТОВ
вверх
поиск
админ
главная
исходное
|
Re: После остеосинтеза лодыжек
послал Djoldas Kuldjanov 24 Июнь 2006, 23:41
|
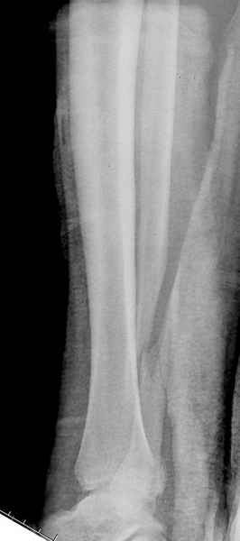
Конечно, компьютерный томограф более информативный метод, но с помощью недорогого обычного стандартного в нейтральном положении стопы: прямого, бокового и косой (ankle mortise) ренгенологического метода можно получить полную информацию о повреждении голеностопного сустава, а сравнительный снимок с другой стороны подтвердить наличие повреждения.
При реконструкции голеностопа, о важности восстановления длины малоберцовой для профилактики пост травматического артроза разбирали в предыдущих дискуссиях. Нарушенную биомеханику голеностопа без восстановления длины малоберцовой, не восстановить только швом медиальной связки.
Расширенная медиальная щель более чем на 4 мм и укорочение малоберцовой более чем 2 мм, а перелом заднего края большеберцовой смещения более 2мм с вовлечением 30% поверхности сустава, считается отходом от нормы голеностопного сустава, и подлежит к оперативному вмещательству.
С мнением «провести позиционный межберцовый винт чуть ниже пластинки в положениий тыльного сгибания стопы» согласен, но я бы нагрузку начал через три недели и удаление шурупа можно провести через 6-8 недель.
Для облегчения удаления сломанных шурупов (случается часто) рекомендую фиксацию двумя 3.5мм кортикальными шурупами на 3 мм длиннее, тот же сломанный шуруп легко удаляется с медиальной стороны.
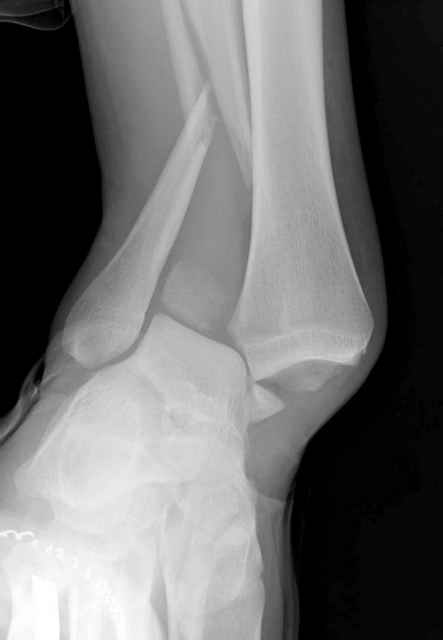
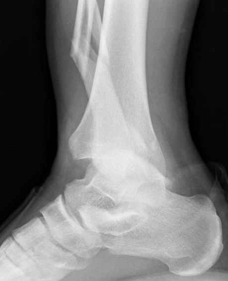
Здесь похожий случай трехнедельной давности, перелом почти сросся и была укорочена малоберцовая, на операции длину малоберцовой смогли восстановить только после того, когда проксимальнее пластины ввели шуруп и использовали его как толкатель, с помощбю дистракционого инструмента (lamina spreader).

Меньше всего волнует положение медиальной лодыжки - в любое время можно провести остео или реостеосинтез, при несращении можно просто резецировать без ущерба для движений в голеностопе. Здесь обошлись фиксацией одним 4 мм канюлированным шурупом.
Djoldas Kuldjanov, MD
Department of Orthopedic Surgery
St. Louis University Medical Center
|
| Послать ответ |
Обратите внимание: Поля с жирными названиями обязательны.
Старайтесь отвечать в рамках обсуждаемой темы, а не начинать новые обсуждения.
Указывайте адекватную тему сообщения, чтобы было ясно, о чем оно.
Не послайте сообщений не по теме (оффтопик), раздраженных, грубых или обидных комментариев. Здесь это неуместно.
|