Ответить
|
Re: После остеосинтеза лодыжек
ерохин александр 21 Июнь 2006, 01:19
|
Через 4 недели что-то снова расковыривать не стоит.Если через 5-7 месяцев будут симтомы нестабильности ,то вместе с удалением конструкций можно подумать о том или ином виде пластики связок.Я бы так и поступил,если Вы всеже прооперируете-интересно будет проследить отдаленные результаты.
|
[
Ответить ]
|
Re: После остеосинтеза лодыжек
vladimir starostenko . харьков 21 Июнь 2006, 01:50
|
я думаю что лучше не трогать дать возможность срастись а затем хорошее физиофункциональное лечении.погонишся за лучшим можно потерять все что было лучшее.пациент судя по всему относительно молодой функция востановиться.
|
[
Ответить ]
|
Re: После остеосинтеза лодыжек
Алексей Семенистый 21 Июнь 2006, 03:06
|
Александр, привет!
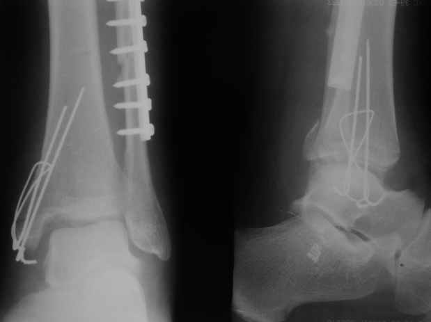
>На сделанных у нас снимках видно, что не все благополучно...
Неравномерность суставной щели может быть связана с разрывом глубокой порции дельтовидной связки и ротацией м/берцовой кости за счет поврежденных структур синдесмоза(репозиция ее на уровне перелома как-будто удовлетворительная).
Мы бы, сблизив берцовые кости чрескожно наложенным репозиционным зажимом, провели позиционный межберцовый винт чуть ниже пластинки в положениий максимального тального сгибания стопы и ... на следующий день разрешили бы полностью наступать без гипса, брейса и т.п., но в обуви с небольшим каблуком 2-3 см и супинатором. Через месяц-полтора -винт удалить (если конечно не сломается).
С уважением А. Семенистый.
|
[
Ответить ]
|
Re: После остеосинтеза лодыжек
В Машталов 21 Июнь 2006, 12:05
|
По моему мнению,ассиметрия суставной щели обусловлена импрессией медиальной части суставной поверхности б/б кости. Да, позиционный винт здесь не лишен, но через 4 недели целесообразность его проведения сомнительна, брейс, ограничение осевой нагрузки достаточно.Есть еще деонтологические аспекты повторной операции, не все так плохо выполнено предыдущим доктором!
|
[
Ответить ]
|
Re: После остеосинтеза лодыжек
Отправитель: Алексей Семенистый 21 Июнь 2006, 18:19
|
> По моему мнению,ассиметрия суставной щели обусловлена импрессией
> медиальной части суставной поверхности б/б кости.
Импрессия медиальной части суставной поверхности бывает при супинационном механизме перелома лодыжек (тип А по классификации АО). Здесь механизм пронациия+наружная ротация (тип С, синдесмоз и межкостная мебрана повреждены),
перелом медиальной лодыжки отрывной, при этом в 20-30% бывает повреждение дельтовидной связки.
>Да, позиционный винт
> здесь не лишен, но через 4 недели целесообразность его проведения
> сомнительна, брейс, ограничение осевой нагрузки достаточно.
Что даст брейс? и ограничение осевой нагрузки?
Если восстановлены взаимоотношения в дистальном межберцовом синдесмозе, какие есть противопоказания для осевой нагрузки и движений?>
>Есть еще
> деонтологические аспекты повторной операции,
Все можно деликатно преподнести ни накого не бросая тень.
>не все так плохо
> выполнено предыдущим доктором!
Выполнено действительно неплохо, только позиционный винт забыли провести.
А.Семенистый
|
[
Ответить ]
|
Re: После остеосинтеза лодыжек
Отправитель: Evgueny Tchekashkine 22 Июнь 2006, 17:40
|
Никогда не приходилось встречать перелом внутренней лодыжки в сочетании с повреждением дельтовидной связки, в своей практике надлюдал либо перелом лодыжки, либо при интактной лодыжке - разрыв дельтовидной связки, которая чаще всего ввернута в сустав, поэтому при остеосинтезе наружной лодыжки (тип В), чтобы вернуть таран на место сначала рекомендуют открывать медиальный
отдел сустава, восстанавливать связку.
Выполнено действительно неплохо, только позиционный винт забыли провести.
Вот и я тоже так думаю.
Евгений Чекашкин
|
[
Ответить ]
|
Re: После остеосинтеза лодыжек
Отправитель: Leonid N. Solomin 21 Июнь 2006, 18:20
|
Клиновидность щели сустава следствие повреждения дельты, невосстановления длины малоберцовой или (хотел сказать "установки в гипсе", но оного, вроде,
нет)? Устранить бы причину. А равно как и тенденцию" к наружному подвывиху. Чрескостный остеосинтез - метод выбора.
Всего наилучшего,
Л.Соломин
|
[
Ответить ]
|
|
Re: После остеосинтеза лодыжек
Anatoly F. Lazarev 21 Июнь 2006, 18:09
|
Сделайте, пожалуйста, снимок с нагрузкой на ногу, стоя на двух ногах, если все устраниться, то и Бог в помощь. Можно нагружать ногу безопасно и безоперативно, но по первости можно наложить лонгету для драматического раздавливания по системе СЕЙКИДИЗМ. Обнимаю ЛАФ.
|
[
Ответить ]
|
Re: После остеосинтеза лодыжек
А.Б.Багиров 21 Июнь 2006, 18:12
|
Надо выполнить КТ исследование. Если имеет место увеличение расстояния между берцовыми костями, надо думать о создании сжимающих усилий в синдесмозе,
например, следующим малотравматичным образом - гипсовый сапожок, окно по внутренной поверхности, дугообразно накостно проведенная спица Киршнера,
прилегающая на внутреннюю поверхность большеберцовой кости с фиксацией на полукольце выпуклой стороной кнаружи с установкой двух дистракционных
стержней вгипсованных в повязку с наружной стороны.
Багиров А.Б.
|
[
Ответить ]
|
Re: После остеосинтеза лодыжек
Лукавин Руслан 21 Июнь 2006, 19:31
|
Мое мнение, что никакой ротации малоберцовой кости здесь нет и синдесмоз тоже впорядке. Все дело в некачественно репозиции медиального мыщелка. Скорее всего его или немного ротировали при операции или сместили латерально. Более склонен ко второму варианту.
Мое мнение, что через 4 недели ничего уже не добьешся. Придется работать "тяжелой техникой" для восстановления его мобильности, что не есть хорошо для сустава. Я бы оставил как есть.
Кстати - я сколько лет пациенту(ке)? Может он(она) спортсмен или танцор? Если нет - то возможно и отдаленные результаты будут вполне приемлимыми для него.
|
[
Ответить ]
|
Re: После остеосинтеза лодыжек
дмитрий бондарь 21 Июнь 2006, 21:09
|
доброго времени суток,коллеги!Имею подобный печальный случай подвывиха.И хоть у меня и позиционный винт проведен,и длина малоберца восстановлена,подвывих сохранен (рецидив)и ф\лечение малоэффективно.Видимо причина все-таки в дельтовидной связке или в импрессии латерального края Б\б кости?Очень хотелось бы узнать какое решение Вы приняли
С уважением Д.Б.
P.S.Огромное спасибо за "Деонтологический аспект" проблемы!
|
[
Ответить ]
|
Re: После остеосинтеза лодыжек
Evgueny Tchekashkine 22 Июнь 2006, 17:38
|
Присоединяюсь к ранее высказанным мнениям о необходимости вмешательства.
Перелом типа Вебер С с эверсионным механизмом травмы всегда сопровождается повреждением дистального межберцового синдезмоза, поэтому вместе с фиксацией переломов лодыжек( малоберцовой кости) автоматом выполняется фиксация синдесмоза винтом, который обычно удаляется через 8 недель -
перед началом полной нагрузки на ногу.
Спустя 4 недели закрытая ( без отрытия зоны синдесмоза) репозиция может оказаться проблематичной, но все равно стоит попробовать из 1см разреза ввести тягловый винт и нтраоперационно проконтролировать межберц. синдесмоз. Предварительно стоит обсудить с больным вероятность открытия синдесмоза при безуспешности закрытой репозиции.
С наилучшими пожеланиями,
Евгений Чекашкин
|
[
Ответить ]
|
Re: После остеосинтеза лодыжек
Каминский Андрей 24 Июнь 2006, 11:32
|
Вот бы снимочек с 30градусной внутренней ротецией на синдесмозик (или это он и есть), определиться с разрывом. А вообще через 4 недели я бы не полез. При застарелом повреждении можно потом аппаратом все устранить, а дельтовидную думаю вы при удалении железяк посмотрите. Удачи. Только расскажите, чего сами-то надумали делать.
|
[
Ответить ]
|
Re: После остеосинтеза лодыжек
Константин Шевырев 24 Июнь 2006, 15:04
|
Анамнестические данные (возраст, профессия, масса тела...)+ снимочки обоих голеностопных суставой (а лучше голеней целиком) с 20-30 градусной внутренней ротацией позволили бы окончательно определиться с тактикой лечения.
С уважением Шевырев К.В., МОНИКИ
|
[
Ответить ]
|
Re: После остеосинтеза лодыжек
Djoldas Kuldjanov 24 Июнь 2006, 23:41
|
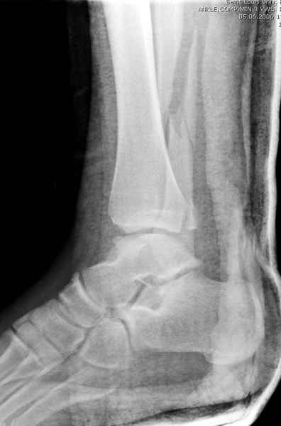
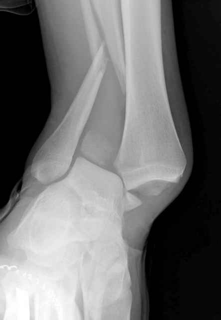
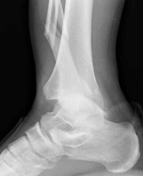
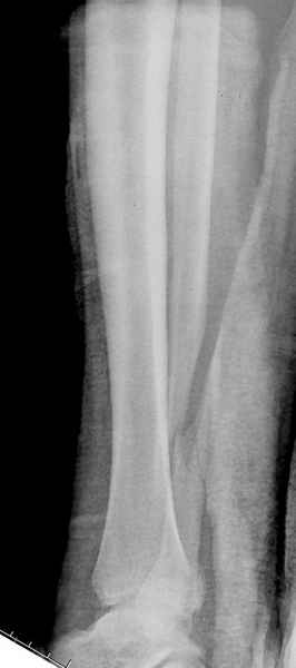
Конечно, компьютерный томограф более информативный метод, но с помощью недорогого обычного стандартного в нейтральном положении стопы: прямого, бокового и косой (ankle mortise) ренгенологического метода можно получить полную информацию о повреждении голеностопного сустава, а сравнительный снимок с другой стороны подтвердить наличие повреждения.
При реконструкции голеностопа, о важности восстановления длины малоберцовой для профилактики пост травматического артроза разбирали в предыдущих дискуссиях. Нарушенную биомеханику голеностопа без восстановления длины малоберцовой, не восстановить только швом медиальной связки.
Расширенная медиальная щель более чем на 4 мм и укорочение малоберцовой более чем 2 мм, а перелом заднего края большеберцовой смещения более 2мм с вовлечением 30% поверхности сустава, считается отходом от нормы голеностопного сустава, и подлежит к оперативному вмещательству.
С мнением «провести позиционный межберцовый винт чуть ниже пластинки в положениий тыльного сгибания стопы» согласен, но я бы нагрузку начал через три недели и удаление шурупа можно провести через 6-8 недель.
Для облегчения удаления сломанных шурупов (случается часто) рекомендую фиксацию двумя 3.5мм кортикальными шурупами на 3 мм длиннее, тот же сломанный шуруп легко удаляется с медиальной стороны.
Здесь похожий случай трехнедельной давности, перелом почти сросся и была укорочена малоберцовая, на операции длину малоберцовой смогли восстановить только после того, когда проксимальнее пластины ввели шуруп и использовали его как толкатель, с помощбю дистракционого инструмента (lamina spreader).

Меньше всего волнует положение медиальной лодыжки - в любое время можно провести остео или реостеосинтез, при несращении можно просто резецировать без ущерба для движений в голеностопе. Здесь обошлись фиксацией одним 4 мм канюлированным шурупом.
Djoldas Kuldjanov, MD
Department of Orthopedic Surgery
St. Louis University Medical Center
|
[
Ответить ]
|
Re: После остеосинтеза лодыжек
Отправитель: Алексей Семенистый 24 Июнь 2006, 23:45
|
> С мнением провести позиционный межберцовый винт чуть ниже пластинки в
> положениий тыльного сгибания стопы согласен, но я бы нагрузку начал
> через три недели и удаление шурупа можно провести через 6-8 недель.
Отсрочченная нагрузка - общепринятый подход. Мы провели наблюдения, разрешая плную нагрузку весом тела без внешней иммобилизапции с 4-7 дня после остеосинтеза лодыжек, и убедились, что реабилитация у этих пациентов прходит быстрее (на 2-3 недели)и комфортнее (костыли не нужны!), чем с отсроченной нагрузкой. 2 случая поторного смещения на более чем 300 операций.
Djoldas Kuldjanov > Для облегчения удаления сломанных шурупов (случается часто)
И как часто?
Djoldas Kuldjanov >рекомендую
> фиксацию двумя 3.5мм кортикальными шурупами на 3 мм длиннее, тот же
> сломанный шуруп легко удаляется с медиальной стороны.
Перелом позиционного винта (одного 3.5 мм введенного через 3 кортикала) наблюдаем в 15% при ранней нагрузке. Винт, введеный через 4 кортикала полностью блокирует ротационные движения м\б кости, и поэтому его перелом более вероятен.
Неудаленная часть винта проблем (жалоб) не вызывает. Межберцовый винт никогда не проводим через синдесмоз. Только выше на 2-3 см, т.е на 4-5 см выше щели г\ст сустава.
Djoldas Kuldjanov > Здесь примерный случай трехнедельной давности, перелом почти сросся и
> была укорочена малоберцовая, на операции длину малоберцовой смогли
> восстановить только после того, когда проксимальнее пластины ввели шуруп
> и использовали его как толкатель, с помощбю дистракционого инструмента
> (lamina spreader).
В застарелых случаях делаем также.
Djoldas Kuldjanov >Меньше всего волнует положение медиальной лодыжки -
> в любое время можно провести остео или реостеосинтез, при несращении
> можно просто резецировать без ущерба для движений в голеностопе.
Согласен на 100%.
С уважением А Семенистый.
|
[
Ответить ]
|
|
( Ответить )
|
|