AOTRAUMA.ORG Центр Илизарова  

Ортопедия и травматология Общие вопросы/General questions Help Информационные технологии в медицине
 вверх
 отправить
 поиск
 админ
 главная


Артродез голеностопного сустава.
Ортопедия и травматология Отправлено Никита Заднепровский 29 Июнь 2006, 00:37
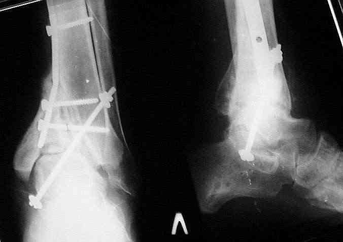
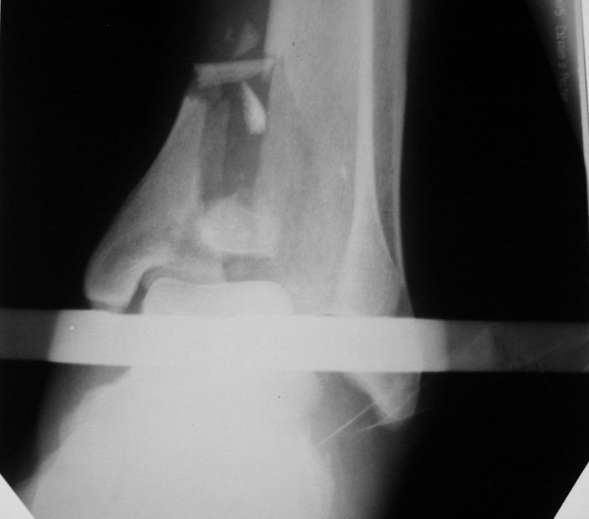
Здравствуйте, коллеги.Больной 26 лет, в 2004 году попал ко мне с диагнозом:синтезированный в аппарате Илизарова неполный внутрисуставной оскольчатый перелом дистального метафиза левой большеберцовой кости со смещением; выраженный остеопороз; множественное спицевое нагноение. Несостоятельность фиксации (костные отломки буквально "елозили" по спицам, несмотря наналичие упорных площадок).
Мной был демонтирован АВФ, удалены все спицы. Больной некоторое время лечился консервативно (шина Белера, антибиотики, перевязки). По заживлению и купировании гнойно-воспалительного процесса была произведена осткрытая репозиция, накостный остеосинтез 1/3 трубчатой пластиной.Такой вариант был принят из-за жуткого остеопороза и отказом больного от предложенного артродезирования голеностопного сустава сразу. Послеоперационный период без особенностей. Через год, больной пришел на осмотр на своих двоих, без дополнительной опоры, с жалобами на боли приходьбе в обл. г/стопа и с желанием замкнуть сустав. В операционной столкнулся с неожиданной проблемой по удалению пластины, она была глубоко вмурована в толщу склерозированного метафиза на глубину 1.5 см; удалить не рискнул (считал, что металл помешает в ходе реконструкции и требуется его удаление).
Было решено, уже по ходу операции, выполнить артродез болтом-стяжкой, тем самым компрессируя резецированные суставные поверхности и смещая стопу латерально, дабы нивелировать варусную деформацию и восстанавливая тем самым опорную ось всей конечности.
Послеоперационный период без особенностей.
Вчера (прошло около 8 месяцев)больной обратился ко мне в очередной раз с жалобами на боли умеренно-жгучего характера в области выстояния концов болта-стяжки. На момент осмотра:укорочение левой нижней конечности на 1,5 см; гипотрофия медиальной группы мышц голени и четырехглавой мышцы бедра; передвигается без дополнительной опоры в ортопедической обуви на растояние до 5 км; работает приемщиком цветных металлов (приходится перетаскивать грузы). Нарентгенограмме, насколько это можно видеть, костного блока сформировать не удалось, но движений в голеностопном суставе нет - ни активных, ни пассивных. Послеоперационные рубцы б/о; свищей и нагноения не было. Активно больногонаблюдать не приходилось, т.к. проживает в другом городе.
Стоит ли необходимость удаления болта-стяжки из-за болевого синдрома?
ЗЫ: Прошу прощения за очень низкое качество представленных ренгенограмм. Буду очень признателен за комментарии.
-- С уважением, Заднепровский Никита Николаевич

<  |  >

 

  • Сообщения о Ортопедия и травматология
  • Также Никита Заднепровский
  • Связаться с автором
  • Ответить

    Re: Артродез голеностопного сустава.
    Савранский Александр 29 Июнь 2006, 02:49
    Уважаемый Никита! На мой взгляд болт-стяжку
    придется удалить.Как правило,если уж пошла миграция металла,то либо ломается, либо нагнаивается. После удаления болта может появиться подвижность в суставе-при несостоятельности артродеза-и усиление болей.
    В этом случае возможно предпринять корригирующую остеотомию большеберцовой- выше места перелома и повторно артродез в аппарате. Необходим тщательный контроль больного- спицевые нагноения чаще всего у недисциплинированных, плохо контролируемых пациентов.
    [ Ответить ]

    Re: Артродез голеностопного сустава.
    дмитрий бондарь 30 Июнь 2006, 00:46
    На мой скромный взгляд оптимально артродез с использованием АВФ.Не совсем понял Вашу мысль насчет"удалить не рискнул (считал, что металл помешает в ходе реконструкции и требуется его удаление)".Боль по-видимому обусловлена именно сохранением останков сустава.Ну и металл по возможности лучше убрать.
    Удачи.
    С уважением Д.Б.

    [ Ответить ]


    ( Ответить )

    Powered by Zope  Squishdot Powered MedLink
    Посетитель: 0215307
      "По форме правильно, а по существу - издевательство" В.И.Ленин
    ©2001-2019Orthoforum Coordinator.
    [ Главная | Отправить сообщение | Поиск | Админ ]