AOTRAUMA.ORG Центр Илизарова  

Ортопедия и травматология Общие вопросы/General questions Help Информационные технологии в медицине
 вверх
 отправить
 поиск
 админ
 главная
 Предыдущее


Re: Повреждение вертлужной впадины 2,5 мес.
Alexaander Chelnokov 18 Сентябрь 2006, 15:28
Все-таки надо бы начать не с КТ, а с обзорного снимка таза и косых проекций впадины.
  • Сообщения о Ортопедия и травматология
  • Также Alexaander Chelnokov
  • Связаться с автором
  • Ответить

    Re: Повреждение вертлужной впадины 2,5 мес.
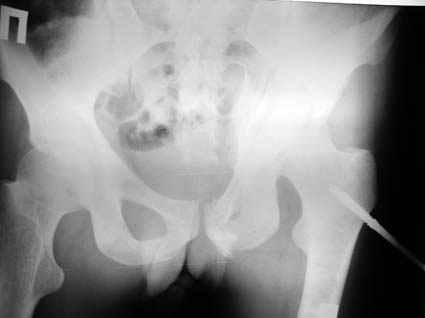
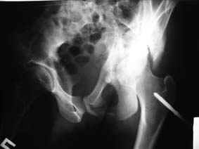
    Leonid Pollyak 18 Сентябрь 2006, 15:30


    Это обзорные и косые снимки

    С уважением,
    Leonid


    [ Ответить ]

    • Re: Повреждение вертлужной впадины 2,5 мес.
      Отправитель: Рунков А..В. 18 Сентябрь 2006, 15:51
      Пришли еще мелкоскоп.



      [ Ответить ]

     

    ( Ответить )

    Powered by Zope  Squishdot Powered MedLink
    Посетитель: 0071853
      "По форме правильно, а по существу - издевательство" В.И.Ленин
    ©2001-2019Orthoforum Coordinator.
    [ Главная | Отправить сообщение | Поиск | Админ ]