ВХОД ДЛЯ ПАЦИЕНТОВ
вверх
поиск
админ
главная
исходное
|
Re: Надмыщелковый перелом плеча после+
послал Alexander Chelnokov 08 Декабрь 2006, 18:50
|
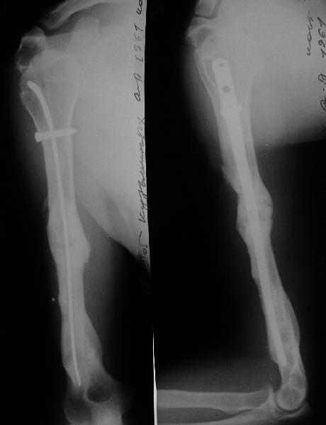
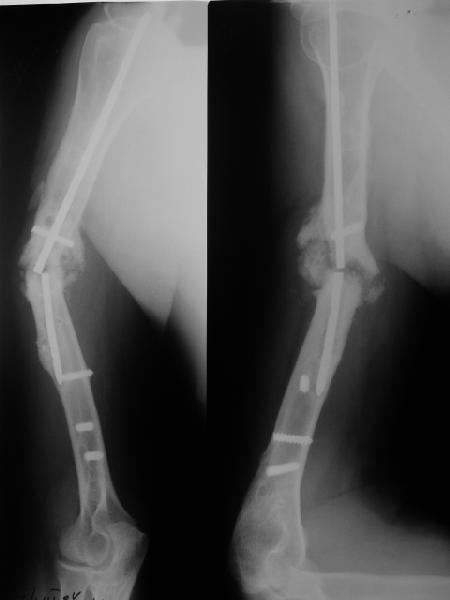
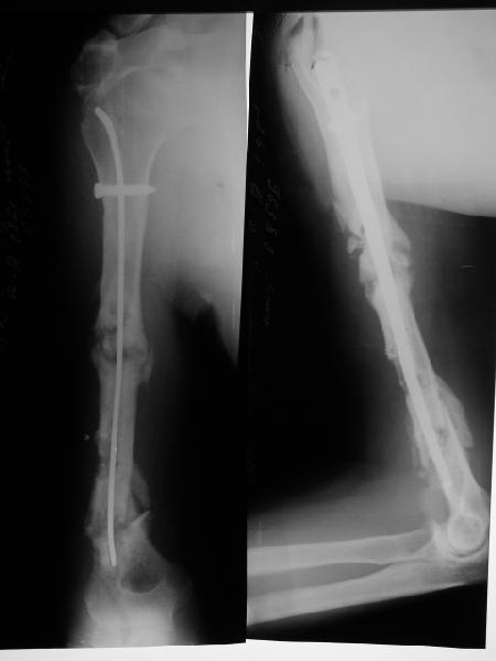
Такие надмыщелковые переломы в изолированном виде у нас в последние годы обычно фиксируются плоским титановым стержнем a la Зверев-Ключевский антеградно. Но тут еще и вышележащие проблемы.
Наверно, можно пойти на укорочение, убрав металлический цилиндр, не такой уж большой дефект. Снимки в чем-то похожего пациента прилагаю - тоже несращение диафиза после многократных операций, и надмыщелковый свежий перелом (случился после удаления обломка стержня аппарата).

Конечно, пьянство с падениями и прочими упражнениями ставит под вопрос любое дальнейшее лечение. Аппарат, что ли, еще и поверх наложить... В качестве внешнего металличкеского каркаса...
|
| Послать ответ |
Обратите внимание: Поля с жирными названиями обязательны.
Старайтесь отвечать в рамках обсуждаемой темы, а не начинать новые обсуждения.
Указывайте адекватную тему сообщения, чтобы было ясно, о чем оно.
Не послайте сообщений не по теме (оффтопик), раздраженных, грубых или обидных комментариев. Здесь это неуместно.
|