Ответить
|
Re: Надмыщелковый перелом плеча после+
Maxim Agalakov 08 Декабрь 2006, 12:10
|
LCP Distal Humerus Plates
|
[
Ответить ]
|
Re: Надмыщелковый перелом плеча после+
Дрягин 08 Декабрь 2006, 12:40
|
Уважаемый Алексей Юрьевич. Я бы пошёл по пути как при перепротезном переломе.Тоесть.Нижний винт удалил.Гвоздь оставил.Пластина метафизарная LCP 3,5-4,5-5,0. С нижней частью всё ясно.В области диафиза войдут несколько монокортикальных винтов и в Матисе взять ввертыши в пластину через которые можно провести серкляжную проволоку шт 4 подлинней пластину. и гипс.С уважением искренне Ваш.Дрягин
|
[
Ответить ]
|
Re: Надмыщелковый перелом плеча после+
Роман дендымарченко 08 Декабрь 2006, 17:52
|
LCP-метафизарная пластина, чтоб как-нибудь постараться винт провести через пластину и штифт. Или же 2 пластины, реконструктивная по задней поверхности и 1/3-трубки по локтевой, с проведением винтов через пластину и штифт. Первый вариант предпочтительнее, конечно.
Или же пластинку для перепротезных переломов с проволокой - у Biomet есть, у Zimmer
|
[
Ответить ]
|
Re: Надмыщелковый перелом плеча после+
Отправитель: Maxim Agalakov 09 Декабрь 2006, 09:30
|
конечно две, все равно доступ задний
|
[
Ответить ]
|
|
Re: Надмыщелковый перелом плеча после+
Alexander Chelnokov 08 Декабрь 2006, 18:50
|
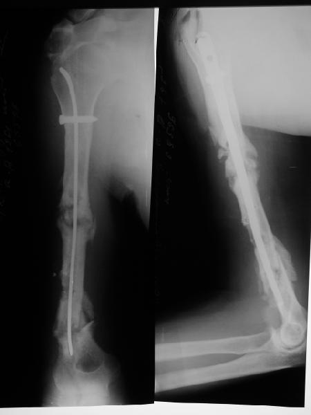
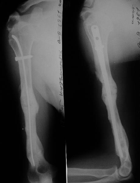
Такие надмыщелковые переломы в изолированном виде у нас в последние годы обычно фиксируются плоским титановым стержнем a la Зверев-Ключевский антеградно. Но тут еще и вышележащие проблемы.
Наверно, можно пойти на укорочение, убрав металлический цилиндр, не такой уж большой дефект. Снимки в чем-то похожего пациента прилагаю - тоже несращение диафиза после многократных операций, и надмыщелковый свежий перелом (случился после удаления обломка стержня аппарата).

Конечно, пьянство с падениями и прочими упражнениями ставит под вопрос любое дальнейшее лечение. Аппарат, что ли, еще и поверх наложить... В качестве внешнего металличкеского каркаса...
|
[
Ответить ]
|
Re: Надмыщелковый перелом плеча после+
Алексей Семенистый 12 Декабрь 2006, 20:57
|
Больная от каких либо операций отказалась в принципе. Выписана домой в удовлетворительном состоянии :).
Всем спасибо за обсуждение!
А.Семенистый.
|
[
Ответить ]
|
Re: Надмыщелковый перелом плеча после+
Отправитель: Дрягин 13 Декабрь 2006, 21:33
|
Жалко.Хотелось посмотреть результат.
|
[
Ответить ]
|
|
Re: Надмыщелковый перелом плеча после+
Anatoly F. Lazarev 15 Декабрь 2006, 17:31
|
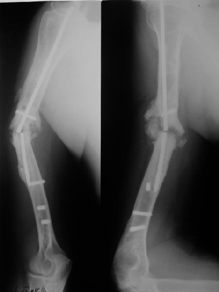
Так то Вы относитесь к подаркам.
В данном случае переверните стержень и добавьте пластину, второй проекции я, что-то не увидел, но думаю самую дешевую бу треть трубки. Привет ЛАФ.
|
[
Ответить ]
|
( Ответить )
|