ВХОД ДЛЯ ПАЦИЕНТОВ
вверх
поиск
админ
главная
исходное
|
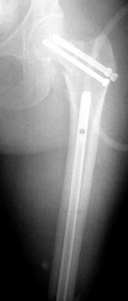
Re: Перелом шейки бедра, 28 лет
послал Djoldas Kuldjanov 14 Апрель 2007, 11:56
|

На снимках ложный сустав шейки бедра, несостоятельность фиксации. По положению шурупа можно предсказать ложный сустав, например, если screw backup за кортикальный слой около 15-20 мм, и также изменение угла от первоначального.
№2-3 типичная ошибка несоблюдения концепции параллельности шурупов, нарушение-фиксация поперечным допольнительным шурупом для приближения отломка в результате не сработало метод параллельных шурупов
№4 результат на КТ
|
| Послать ответ |
Обратите внимание: Поля с жирными названиями обязательны.
Старайтесь отвечать в рамках обсуждаемой темы, а не начинать новые обсуждения.
Указывайте адекватную тему сообщения, чтобы было ясно, о чем оно.
Не послайте сообщений не по теме (оффтопик), раздраженных, грубых или обидных комментариев. Здесь это неуместно.
|