Ответить
|
Re: Перелом шейки бедра, 28 лет
Сувалян Микаэл 06 Апрель 2007, 23:09
|
Из имеющихся фиксаторов лучше уж неканюлированные винты. Использовать 3хлопастной гвоздь в XXI веке преступно (только заведующему не говорите:))
Сомнительно, что при такой локализации перелома в последующем будет асептический некроз головки. Как избежать? Чаще ходить в церковь:)
П.с.: Мы, в нашей практике, не накладываем скелетное вытяжение при переломах шейки бедренной кости.
|
[
Ответить ]
|
Re: Перелом шейки бедра, 28 лет
Антон Лебединец 06 Апрель 2007, 23:17
|
У нас при таком же оснащении синтезировали бы 3-мя винтами (в прошлом году была два молодых человека с шейками - у обоих сращение, функция хорошая), лизис головок после сращения не встречали. Здесь прогноз наверняка хороший - при соблюдении режима больным.
А гвоздь хорош больше для пожилых людей (хотя и у молодых применяли в сочетании с костной пластикой)
|
[
Ответить ]
|
Re: Перелом шейки бедра, 28 лет
Alexander Chelnokov 06 Апрель 2007, 23:36
|
Здесь уже есть варусное смещение, так что хорошее сращение без операции вовсе не гарантировано. Спонгиозные винты 6,5 мм - лучший выбор. Тут, наверно, достаточно двух - в в передне-верхнем и задне-верхнем отделах шейки. Лучше репозицию сделать до введения винтов, ввести спицы по предполагаемому направлению винтов, канюлированным сверлом 5 мм сделать канал (оставив последние 2 см недосверленными).
Успехов. А некроз может развиться и через 3 года, и через 5, и позже.
|
[
Ответить ]
|
Re: Перелом шейки бедра, 28 лет
Ильин Вадим 07 Апрель 2007, 10:50
|
Безусловно надо оперировать. Метод фиксации лучше выбрать такой которым Вы лучше владеете, и который позволяет техническое оснащение вашего учереждения. Я бы поставил DHS с деротационным винтом, возможно и без вертельной накладки.

Успехов.
|
[
Ответить ]
|
Re: Перелом шейки бедра, 28 лет
Станислав Дмитриев 07 Апрель 2007, 17:08
|
3-х лопастный гвоздь? Ни в коем случае. Сам видел расколотые на 3 сегмента головки после такого остеосинтеза( ас. некроз, конечно), когда удалял при эндопротезировании.У нас бы поставили DHS. Если нет, можно винтами. Удачи. Станислав Дмитриев
|
[
Ответить ]
|
Re: Перелом шейки бедра, 28 лет
Игорь Девин 07 Апрель 2007, 19:02
|
Больному показан остеосинтез 3-мя параллельными винтами АО, по классической методике, если нет канюлированных, можно фиксировать не канюлированными под Рентгенконтролем. Винты спонгиозные длина резьбы 32 мм. Вероятность асептического некроза зависит от степени нарушения кровоснабжения и сроков операции. Оперировать было нужно еще вчера.
С уважением, Игорь Девин.
|
[
Ответить ]
|
Re: Перелом шейки бедра, 28 лет
Ильин Вадим 07 Апрель 2007, 23:21
|
Это что-же все на гвоздь так ополчились? При корректном исполнении методика не хуже, а в чём-то лучше винтов или даже канюллированных винтов. С важением.
|
[
Ответить ]
|
Re: Перелом шейки бедра, 28 лет
Отправитель: Alexander Chelnokov 08 Апрель 2007, 14:41
|
> Это что-же все на гвоздь так ополчились? При корректном исполнении
> методика не хуже,
Отчего ж она практически везде в мире уже в музее?
> а в чём-то лучше
И в чем же конкретно лучше?
> винтов или даже канюллированных винтов
Насчет "даже" - канюлированные винты только что удобнее, обычные спонгиозные 6,5 мм фиксируют не хуже.
|
[
Ответить ]
|
Re: Перелом шейки бедра, 28 лет
Отправитель: Ильин Вадим 12 Апрель 2007, 19:46
|
Абсолютно согласен с тем, что канюллированные винты удобнее в применении.И что 6,5 фиксируют не хуже них, а может и лучше. Но ротационная стабильность за счёт площади соприкосновения и собственно лопаток гвоздя выше. Плюс момент импакции.
|
[
Ответить ]
|
Re: Перелом шейки бедра, 28 лет
Отправитель: Лединников Игорь 08 Апрель 2007, 15:14
|
Позволю себе категорически не согласиться. Вопрос даже не в том, что метод старый и музейный, а в том, кому он применяется. Возможно, у старика с тяжёлым остеопорозом, он не хуже (поскольку уплотняет вокруг себя кость, которую винт просто прорезает и в ней не держится). Но у молодого человека, при плотной кости, этот клин просто колет головку и шейку на куски. Что-то худшее, чем гвоздь, для этого больного придумать сложно. При Вашей возможности выбора - только винты. ИМХО.
|
[
Ответить ]
|
Re: Перелом шейки бедра, 28 лет
Отправитель: Ильин Вадим 12 Апрель 2007, 19:50
|
Для того чтобы не расколоть головку всего-то нужно пройти подальше перфоратором и не заколачивать гвоздь до " Упора".
|
[
Ответить ]
|
Re: Перелом шейки бедра, 28 лет
Отправитель: В. Машталов 13 Апрель 2007, 14:45
|
А им еще можно и голову расколоть!!, О ужас!!!!
Стоит ли так рисковать? Но разве ради импакции :-)))?
В. Машталов
|
[
Ответить ]
|
Re: Перелом шейки бедра, 28 лет
Отправитель: Лединников Игорь 14 Апрель 2007, 00:31
|
|
Ну не знаю, какие тут ещё могут быть аргументы... разве только то, что я свою под гвоздь, при наличии винтов, не подставил бы ни при каких обстоятельствах. Хотя, видимо, чужой косточкой рискнуть проще.
Успехов Вам и удачи Вашим больным.
|
[
Ответить ]
|
|
Re: Перелом шейки бедра, 28 лет
Michael Berenstein 08 Апрель 2007, 10:21
|
Уважаемый Исмаил.
Перелом шеки бедра у Вашего пациента благоприятный - основание шейки бедра.
В отличии от трансцервикального или субкапитального вероятность развития аваскульрного некроза относительно низкая т.к. кровоснабжение головки бедра по ретинакулярным сосудам сохранено. Фиксация трехлопастным гвоздем не эффективна т.к. гвоздь да и шурупы не обеспечивают угловой стабильности. Кроме этого, техника установки трехлопастного гвоздя может повредить оставшиеся целыми ретинакулярные сосуды. Наиболее подходящие фиксаторы должны иметь фиксированый угол - шуруп с диафизарной пластинкой типа DHS или любой интрамедуллярный гвоздь имеющий блокирующие шурупы которые можно ввести в шейку бедра типа PFN, Reconstruction nail, Gamma или др. Скелетное вытяжение тоже может сработать, только, конечно, значительно труднее достичь редукции и опять же при перерастяжении возможно нарушение кровообращения головки бедра.
С уважением
М. Беренштейн
|
[
Ответить ]
|
Re: Перелом шейки бедра, 28 лет
Сувалян Микаэл 08 Апрель 2007, 14:36
|
Слушайте, не все так хорошо живут, как многие из вас. Не надо унижать доктора своими знаниями и возможностями ваших клиник.
Цитирую автора: "...Зав.отделением предлагает штифтовать 3-х лопастным. Кроме штифта, в арсенале неканюлированный винт..."
О каких ДэХээС, каких гамма гвоздях и т.д. может идти речь???
|
[
Ответить ]
|
Re: Перелом шейки бедра, 28 лет
Отправитель: Alexander Chelnokov 08 Апрель 2007, 14:58
|
> Слушайте, не все так хорошо живут, как многие из вас. Не надо унижать
> доктора своими знаниями и возможностями ваших клиник.
Михаил ответил, как бы он лечил этого пациента, окажись тот у него в клинике. Это, наверно, наилучший вариант обсуждения. В любом случае, дан обоснованный ответ на заданный вопрос - "оперировать или нет?"
Пытаться представить ситуацию на месте и предлагать план действий в условиях тех или иных ограничений можно, конечно, но... Наше общение обеспечивает не только информационную поддержку, но и создает мотивацию к профессиональному прогрессу. Что, может, самое важное и есть.
> Цитирую автора: "...Зав.отделением предлагает штифтовать 3-х
> лопастным. Кроме штифта, в арсенале неканюлированный винт..."
> О каких ДэХээС, каких гамма гвоздях и т.д. может идти речь???
Когда-то все на постсоветском пространстве были в тех же или немногим лучших условиях, однако практически все названное уже доступно во многих отечественных учреждениях. Полагаю, в какой-то мере благодаря нашему здесь общению.
|
[
Ответить ]
|
Re: Перелом шейки бедра, 28 лет
Отправитель: Сувалян Микаэл 08 Апрель 2007, 15:30
|
Александр, соглашусь с Вами только отчасти: Михаил действительно ответил, как бы он лечил этого пациента в условиях своего мед.заведения. Но на заданный автором вопрос он не ответил "Фиксация трехлопастным гвоздем не эффективна т.к. гвоздь да и шурупы не обеспечивают угловой стабильноститил."
Зря Вы считаете, что "практически все названное уже доступно во многих отечественных учреждениях". Если уж у нас, в Склифе (учреждение на слуху, согласитесь), из названного ничего нет, то что говорить про другие учреждения и, особенно, глубинку?
|
[
Ответить ]
|
Re: Перелом шейки бедра, 28 лет
Отправитель: Alexander Chelnokov 08 Апрель 2007, 16:28
|
> Александр, соглашусь с Вами только отчасти: Михаил действительно
> ответил, как бы он лечил этого пациента в условиях своего
Он представил свой взгляд на проблему, который можно обсуждать.
Вряд ли тут кто-либо общается с намерением обидеть или унизить собеседника, тем более оказавшегося в непростой ситуации, поэтому такие упреки вряд ли уместны.
> Фиксация трехлопастным гвоздем не эффективна т.к. гвоздь да и
> шурупы не обеспечивают угловой стабильноститил."
Мне представляется, что тут и винты сгодятся. Гвоздь с блокированием разве что даст возможность нагрузку пораньше начать.
> отечественных учреждениях". Если уж у нас, в Склифе (учреждение на
> слуху, согласитесь), из названного ничего нет,
То есть DHS или проксимальные гвозди в Склифе до сих пор не применяли?
Или просто подразумеваются давно сошедшее на нет бюджетное снабжение имплантатами и нструментами?
Если позвонить любому из многочисленных в Москве поставщиков, привезут и имплантат, и инструмент.
> то что говорить про другие учреждения и, особенно, глубинку?
Даже глубинка глубинке рознь. Как известно, под лежачий камень вода не течет. Поэтому создаваемая здесь дополнительная мотивация, надеюсь, помогает продвижению современных технологий.
|
[
Ответить ]
|
Re: Перелом шейки бедра, 28 лет
Отправитель: Сувалян Микаэл 08 Апрель 2007, 19:02
|
DHS в нашем отделении (не путать с отделением множественной и сочетанной травмы) применили раз 5. В наших стенах работает главный травматолог-ортопед города Москвы, у которого на столе все больше и больше жалоб пациентов на то, что медицина оказалась почему-то не бесплатной. В качестве свидетельств представляются чеки на N-ую сумму. Именно по этой причине мы не посылаем родственников пациентов на фирмы. В ряде случае мне самому приходилось ездить и покупать фиксаторы, если я сам был лично заинтересован в пациенте и хотел, чтобы у него было все на высшем уровне.
П.с.: постараюсь быть сдержанным, хотя лично меня бы на месте автора этого топика форма некоторых ответов задела (именно форма, а не суть).
Считаю вопрос исчерпанным.
|
[
Ответить ]
|
Re: Перелом шейки бедра, 28 лет
Отправитель: Michael Berenstein 08 Апрель 2007, 21:54
|
Уважаемый Микаэл!
Извиняюсь, если ненароком кого-то обидел, цели такой не было, даже наоборот.
Гвоздь трехлопастной пришлось подержать в руках. Последний инструмент, который используется при установки гвоздя, называется импактор и применяется для закрытия диастаза перелома. Диастаз образуется во время введения гвоздя - вот тут-то и рвутся ретинакулярные сосуды пережившие перелом.
В отношении угловой стабильности. Я напоминаю, что мы говорим о переломе в основании шейки бедра. При введении гвоздя или шурупов есть только одна опорная точка на наружном кортксе. Нагрузка на головку бедра вращает весь проксимальный фрагмент на варус вокруг этой точки без всякой помехи.
Для сохранения редукции необходима жесткая угловая фиксация.
Я попытался изобразить все на рисунке в приложении.

Стоит поискать фиксатор в старых запасах, были в бывшем и двухлопастные фиксаторы с пластинкой и трехлопастной с пластинкой и Г образные пластины.
Кстати, в моей больнице поставили бы DHS Dynamic Hip Screw.
С уважением
Михаил Беренштейн
|
[
Ответить ]
|
Re: Перелом шейки бедра, 28 лет
Отправитель: Сувалян Микаэл 08 Апрель 2007, 22:15
|
Михаил, моей первой операцией, выполненной 9 лет назад был остеосинтез перелома шейки бедренной кости 3хлопастным гвоздем. Так что я представляю о чем идет речь. Если обратите внимание на мой первый пост в этом разделе, то я как раз считаю, что 3хлопастной гвоздь при переломах ШЕЙКИ бедренной кости нужно просто запретить к применению (в отличии, например, от чрезвертельных переломах, где с помощью 3хлопастного гвоздя с диафизарной накладкой почти всегда можно добиться прочной фиксации и последующего сращения перелома).
|
[
Ответить ]
|
Re: Перелом шейки бедра, 28 лет
Отправитель: алексей Семенистый 09 Апрель 2007, 01:00
|
> Михаил, моей первой операцией, выполненной 9 лет назад был остеосинтез
> перелома шейки бедренной кости 3хлопастным гвоздем....
> ...я как раз считаю, что 3хлопастной гвоздь при
> переломах ШЕЙКИ бедренной кости нужно просто запретить...
"Просто" запрещать не нужно. Необходимо организовать (именно организовать, а не придумать, все уже придумано!) другой более эффективный способ, тогда "музейное" само займет место, где ему и положено - в музее.
"Просто запретить" - не метод. Что хорошего в том, что кое-кто кое-где просто запретил покупать больным импланты, и "просто" ничего не делает для решения этой проблемы.
> отличии, например, от чрезвертельных переломах, где с помощью
> 3хлопастного гвоздя с диафизарной накладкой почти всегда можно
> добиться прочной фиксации и последующего сращения перелома).
??? А вот здесь ("почти всегда") поподробнее, пожалуйста, если можно с примерами и фактами, необязательно своими.
С уважением, А.Семенистый.
ГКБ 13, Москва.
|
[
Ответить ]
|
Re: Перелом шейки бедра, 28 лет
Отправитель: Alexander Chelnokov 09 Апрель 2007, 13:56
|
АС> "Просто" запрещать не нужно. Необходимо организовать (именно
АС> организовать, а не придумать, все уже придумано!) другой более
АС> эффективный способ, тогда "музейное" само займет место, где ему и
Очень верное соображение. Не надо силовых и приказных воздействий. Ни запрещать, ни навязывать методы лечения не надо.
Легче организовать получится, если хорошо знать, что именно. Т.е. надо в первую очередь дать актуальные знания о современных способах оперативного лечения, тогда у врача появляется мотивация искать пути использовать эти способы в своей праткике.
Как пример - вот А.Семенистый получил знания про гексаподный аппарат Илизарова, съедил на воркшоп в Гамбург в феврале, и уже в марте организовал в своем отделении гексаподный аппарат.
;-)
АС> "Просто запретить" - не метод. Что хорошего в том, что кое-кто
АС> кое-где просто запретил покупать больным импланты, и "просто"
Если еще это через СМИ сделать, то это хороший популистский жест, мол, деятель X радеет о благе народном, защищает простой народ от поборов.
--
Best regards,
Alexander N. Chelnokov
Ural Scientific Research Institute
of Traumatology and Orthopaedics
7, Bankovsky str. Ekaterinburg 620014 Russia
|
[
Ответить ]
|
Re: Перелом шейки бедра, 28 лет
Отправитель: Сувалян Микаэл 09 Апрель 2007, 22:22
|
Алексей, я заметил, что у Вас "дар" цепляться за слова. Встав перед выбором 3хлопастной гвоздь или спонгиозные винты, разумеется, надо выбрать винты и я это подчеркнул сказав "просто запретить". Если бы выбора не было, то я бы не выступил столь категорично.
Что означают три вопросительных знака и какие именно клинические примеры Вам хотелось бы увидеть? Положительные или отрицательные результаты лечения 3хлопастным гвоздем с диафизарной накладкой? Сразу скажу, отрицательные я вряд ли найду. На моей памяти таких нет. Но, наверняка, по какой-то статистике они существуют.
П.с.: на Вас лично пока не поступала жалоба (-ы) от пациентов, которым Вы выписали рецепт для покупки импланта?
|
[
Ответить ]
|
Re: Перелом шейки бедра, 28 лет
Отправитель: Алексей Семенистый 10 Апрель 2007, 00:41
|
> Алексей, я заметил, что у Вас "дар" цепляться за слова.
Микаэл, поверьте, ничего личного!
> выбрать винты и я это подчеркнул сказав "просто запретить". Если бы
> выбора не было, то я бы не выступил столь категорично.
И я об том же.
> Что означают три вопросительных знака и какие именно клинические
> примеры Вам хотелось бы увидеть?
Ну, например: проперировано Х21 пациентов, в возрасте 75-90 лет с нестабильными вертельными переломами (какую-нибудь классификацию привести), в контрольную гр вошло Y33 пациента, лечившихся (консрвативно или DHS, Gamma, PFN и т.п.). Смертность госпитальная ..., частичная \полная нагрузка - сроки..., средства дополнительной опоры..., возможность жить без постороннего ухода..., выживаемость через 6 мес, 1 год в соответствующих группах в сравнении с естественной убылью населения в этой возрастной группе...
>Положительные или отрицательные
> результаты лечения 3хлопастным гвоздем с диафизарной накладкой?
Достоверные и объективные.
> скажу, отрицательные я вряд ли найду. На моей памяти таких нет. Но,
> наверняка, по какой-то статистике они существуют.
Значит, напрасно все эти DHS, OMEGA, Gamma, PFNA и т.д. и т.п. придумали? Лишь бы больных (или страховые компании) ободрать ("развести") - все было и так хорошо и достаточно???
> П.с.: на Вас лично пока не поступала жалоба (-ы) от пациентов, которым
> Вы выписали рецепт для покупки импланта?
Микаэл, думаю, на эту тему у нас скоро будет возможность поговорить в теплой дружеской обстановке за рюмочкой кофе.
С уважением, А.Семенистый.
ГКБ 13, Москва.
|
[
Ответить ]
|
Re: Перелом шейки бедра, 28 лет
Отправитель: Сувалян Микаэл 10 Апрель 2007, 20:44
|
Алексей, вынужден Вас разочаровать, я не занимался столь подробным изучением анализа результатов лечения больных с вертельными переломами. И вряд ли найду для этого время. Хмм.. да и желания нет. А у Вас есть данные по лечению больных со всеми переломама опорно-двигательного аппарата, пролеченных в вашей клинике?
Я не говорил, что DHS и PFN хуже. Напротив, лучше. Особенно последний, которые выполняется минимально инвазивным. И тот, и другой фиксатор "работают" и позволяют относительно рано нагружать оперированную конечность, в отличии от того же 3хлопастного гвоздя с накладкой. При этом следует отметить один положительный ньюанс при остеосинтезе 3хлопастным: при значительном расхождении отломков можно сделать репозицию "на гвозде" (если Вы понимаете, о чем я), в отличии от упомянутых модных фиксаторов.
При каких, позвольте, обстоятельствах мы будем пить кофе? Да и не пью я его...
П.с.: сегодня видел пациента с переломом шейки бедра (случайно зашел в "гипсовую", где ему оказывали посильную помощь).
|
[
Ответить ]
|
Re: Перелом шейки бедра, 28 лет
Отправитель: Алексей Семенистый 11 Апрель 2007, 11:25
|
> Алексей, вынужден Вас разочаровать, я не занимался столь подробным
> изучением анализа результатов лечения больных с вертельными
> переломами.
Однако, выводы делаете.
> А у Вас есть данные по лечению больных со всеми переломама
> опорно-двигательного аппарата, пролеченных в вашей клинике?
По наиболее частым переломам - да.
> один положительный ньюанс при остеосинтезе
> 3хлопастным: при значительном расхождении отломков можно сделать
> репозицию "на гвозде" (если Вы понимаете, о чем я
С трудом, поясните.
> При каких, позвольте, обстоятельствах мы будем пить кофе? Да и не пью
> я его...
При дружелюбных и взаимополезных!... ну, не кофе..
> П.с.: сегодня видел пациента с переломом шейки бедра (случайно зашел в
> "гипсовую", где ему оказывали посильную помощь).
А именно? Мы за него переживаем.
С уважением, А.Семенистый.
ГКБ 13, Москва.
|
[
Ответить ]
|
Re: Перелом шейки бедра, 28 лет
Отправитель: Сувалян Микаэл 11 Апрель 2007, 18:58
|
Алексей, лучше скажите, не Вы ли будете в пятницу (везет же, в пятницу оперируете) оперировать молодого человека с переломом лодыжек? (кажется обе лодыжки и задний края б/б кости). Мой коллега, нейрохирург, очень хочется связаться с оперирующим хирургом.
Мне сказали, что будет оперировать Алексей...кажется Юрьевич.. Вы кто у нас по отчеству?
Про репозицию "на гвозде" при случае расскажу... мне с трудом дается описание различных методик (посмотрите тему про "поляры") :)
|
[
Ответить ]
|
Re: Перелом шейки бедра, 28 лет
Отправитель: Алексей Семенистый 12 Апрель 2007, 14:43
|
> Алексей, лучше скажите, не Вы ли будете в пятницу (везет же, в пятницу
> оперируете) оперировать молодого человека с переломом лодыжек?
Гражданина Израиля? Да, есть такие планы.
> Мой коллега,
> нейрохирург, очень хочется связаться с оперирующим хирургом.
Что ему мешает? Телефон пациент записал 10-го числа.
>Алексей...кажется Юрьевич.. Вы кто
> у нас по отчеству?
Он самый и есть.
> Про репозицию "на гвозде" при случае расскажу... мне с трудом дается
> описание различных методик (посмотрите тему про "поляры") :)
Очень даже понятно объяснили. Подожду случая!
С уважением, А.Семенистый.
ГКБ 13, Москва.
|
[
Ответить ]
|
Re: Перелом шейки бедра, 28 лет
Отправитель: Исмаил Дибиров 11 Апрель 2007, 11:30
|
С добрым утром Микаэл!С какой стати больной оказался в гипсовой? Накладывали деротационный сапожок? А шины
деротационной в Склифе нет? Кстати,полезная штука.У нас штуки 4,правда трофейные из "Фатерлянда", поистаскались малость, правда, думаем, как бы заказать новые.Каюсь, не додумался, смещения ротационного не было. Не наступило же в дороге? И спица моя оказалась некстати, досада...
|
[
Ответить ]
|
Re: Перелом шейки бедра, 28 лет
Отправитель: Сувалян Микаэл 11 Апрель 2007, 19:01
|
Исмаил, не волнуйтесь, все нормально..:) этап "гипсовой" подразумевает очередной осмотр травматолога, где при необходимости делают какие-либо манипуляци. Что делали нашему больному я точно не знаю, т.к. забежал на секунду, чтобы забрать гипсовые бинты. Буду держать в курсе дела:)
Смещения не произошло, т.к. были выполнены Р-контроль при поступлении в Склиф.
|
[
Ответить ]
|
Re: Перелом шейки бедра, 28 лет
Отправитель: Алексей Семенистый 08 Апрель 2007, 21:58
|
Микаэл, Вы писали:
>Если уж у нас, в Склифе (учреждение на
> слуху, согласитесь),...
Микаэл, Вы себе льстите!
>из названного ничего нет, ...
Микаэл, за чтож Вы так "опустили" своих коллег по уважаемому учреждению?
>то что говорить про
> другие учреждения
Микаэл, в Вас говорит имперское самосознание!
>и, особенно, глубинку?
Многие отделения в очень далеких глубинках можно поставить в пример некоторым столичным клиникам, особенно в стремлении узнавать и использовать самое новое и продвинутое.
С уважением, А.Семенистый.
ГКБ 13, Москва.
|
[
Ответить ]
|
Re: Перелом шейки бедра, 28 лет
Отправитель: Сувалян Микаэл 08 Апрель 2007, 22:19
|
Алексей, не совсем понял, Ваши "наезды" в мою сторону. "Не совем" - это мягко сказано. Но это Ваше мнение. Я лишь честно отразил реальность наших дней. Если Вы считаете, что это стоит порицания, пусть так. Все мы разные и это радует. Так интересней жить.
|
[
Ответить ]
|
Re: Перелом шейки бедра, 28 лет
Отправитель: Maxim Agalakov 09 Апрель 2007, 21:01
|
грустно за ваше учереждение, у нас в Е-бурге перечисленные методы доступны во всех ЦГБ травматологического профиля (3 больнички) и институте травматологии. Последний трехлопастной гвоздь забили лет 8 назад, сейчас такие варианты не рассматриваются. А по сути проблемы, DHS либо проксимальный гвоздь. Личное впечатление - такие
проксимальные переломы на винтах и спицах смещаются, хотя и срастаются
--
С уважением,
Агалаков
|
[
Ответить ]
|
|
Re: Перелом шейки бедра, 28 лет
Максимов Сергей 08 Апрель 2007, 21:57
|
Данные переломы не так уж редки. Мне кажется, относиться к ним надо как к "обычному" латеральному перелому шейки бедра. Соответственно и предполагаемые методы фиксации. Категорически против трехлопастного гвоздя (можете передать заведующему, с извинениями в сторону Смит-Петерсена), уж лучше фиксатор Бакычарова! Приемлемы все перечисленные методики (кроме гвоздя!), гораздо важнее качество исполнения и соблюдение больным требований послеоперационного периода. По моему мнению, нагрузку на оперированную конечность разрешить можно не ранее чем через 3 месяца после операции. Впрочем , решусь утверждать, что эндопротезирования больному все равно не избежать, сроки уже озвучены - через 3 - 5 лет. По крайней мере тогда возникнут показания для артропластики.
И еще, уважаемые Антон и Игорь, вы явно погорячились с утверждением, что трехлопастной гвоздь хорош для пожилых людей! Это отдельная, тема для разговора и данному случаю не относящаяся. Но, работая с пациентами пожилого и старческого возраста, мы не наблюдали НИ ОДНОГО положительного (даже удовлетворительного)результата после фиксацией данным фиксатором в сроки после 1 года после операции. "уплотненная" кость лизируется быстрее у стариков, чем в ней в ней появляются элементы восстановления, а потеря стабильности фиксатора ведет к полному разрушению сустава.
Уважаемые коллеги, был -бы очень благодарен, если бы кто-нибудь предоставил рентгенограммы положительных результатов оперативного лечения перелома шейки бедра в сроки от 3 лет и далее. Возраст больных и метод фиксации не важен. Желательно собственные наблюдения, а не представления фирм изготовителей имплантатов.
С уважением, Сергей.
|
[
Ответить ]
|
Re: Перелом шейки бедра, 28 лет
Отправитель: Лединников Игорь 08 Апрель 2007, 23:31
|
Уважаемый Сергей!
> вы явно погорячились с утверждением,
> что трехлопастной гвоздь хорош для пожилых людей
возможно, я недостаточно ясно выразил мысль, но <не хуже> в моём понимании не означает <хорошо>. Я говорил
> Возможно, у старика с тяжёлым остеопорозом, он не хуже
подразумевая именно тяжёлый остеопороз, когда от головки не осталось ничего, кроме <скорлупы> кортикала, и когда никакой фиксатор не имеет достаточных перспектив на сохранение репозиции. Если вариант эндопротезирования по каким-либо причинам не рассматривается, получим мы миграцию винтов, или миграцию гвоздя, на мой взгляд, разница невелика. При этом шансы на первичную стабильность у винтов даже ниже. Вы не сталкивались с ситуацией, когда винт, пройдя кортикал в вертельной области, сразу <проваливается> на всю свою длину? После чего его можно без отвёртки извлечь за головку двумя пальцами, зато отверткой можно вывинчивать до бесконечности, поскольку он крутится в <пустоте> - спонгиозы, за которую могла бы <зацепиться> резьба просто нет. Гвоздь хотя бы не вываливается обратно при снятии швов с раны (он сделает это позже). Впрочем, в последние лет 10-12 гвоздей забивать не приходилось. Поэтому это больше их области воспоминаний, и снимков <в качестве доказательства> не приложу.
Если говорить об отдалённых результатах, при этой локализации их изучение очень большая проблема везде. Но положительные результаты видел и на гвоздях, и с винтами. Один раз видел даже сросшийся <в coxа vara> смещённый медиальный перелом, который не лечили вообще никак. А он сросся. У старика за 70 лет. Поверьте, бывает всё. Даже то, чего быть не может, тоже бывает. Пардон за оффтопик. Но по данному случаю согласен с Вами - что угодно, только не трёхлопастной гвоздь. Лично я бы выбрал винты (вариант с DHS тоже неплох, если сделан грамотно).
С уважением
Игорь
|
[
Ответить ]
|
Re: Перелом шейки бедра, 28 лет
Отправитель: Michael Berenstein 09 Апрель 2007, 08:46
|
Уважаемый Сергей!
Вы пишете -
По моему мнению, нагрузку на оперированную конечность разрешить можно не ранее чем через 3 месяца после операции. Впрочем, решусь утверждать, что эндопротезирования больному все равно не избежать, сроки уже озвучены - через 3 - 5 лет. По крайней мере тогда возникнут показания для артропластики.
Мой вопрос - почему по Вашему мнению нельзя давать нагрузку именно 3 месяца?
И ещё Почему не избежать эндопротезирования? И как Вы представляете эндопротезирование у больного 28 + 3-5 = 31-33 года?
С уважением
Михаил Беренштейн
|
[
Ответить ]
|
Re: Перелом шейки бедра, 28 лет
Отправитель: Максимов Сергей 11 Апрель 2007, 21:26
|
Уважаемый Михаил! Прошу прощения за задержку с ответом, были проблемы с сетью.
Три месяца <безнагрузочной> ходьбы на костылях, на мой взгляд, оптимальный срок, для того, что бы произошло не только первичное заживление кости (сращение), но и появились первые признаки ремоделирования костной структуры, характерной для данного участка. Последующая дозированная, возрастающая нагрузка будет стимулировать этот процесс. Более ранняя нагрузка, на фоне нарушения кровообращения и питания костной ткани, скорее всего, приведет к несращению перелома. Правило классическое для внутрисуставных переломов - <раннее движение - поздняя нагрузка>.
Что касается эндопротезирования... Мне не надо напрягать воображение, а только память...
В прошлом году в нашем отделение проведено эндопротезирование обоих тазобедренных суставов (поэтапно) пациенту 26 лет, с врожденной дисплазией. Ранее в нашем отделение, по той же патологии оперированы его родители. За последние годы в нашем отделение проведено не менее десятка артропластик у больных в возрасте 30-40 лет. Основная патология: асептический некроз головки, диспластический коксартроз, посттравматический и послеоперационный коксартроз. Это притом, что основной наш контингент - люди пожилого возраста. Я думаю, что центральные клиники Москвы и крупных городов России имеют гораздо больший опыт по данной проблеме. Неоднократно появлялись сообщения о эндопротезирование у детей (как правило, при онкологической патологии).
С уважением, Сергей.
|
[
Ответить ]
|
Re: Перелом шейки бедра, 28 лет
Отправитель: Alexander Chelnokov 11 Апрель 2007, 23:37
|
> Три месяца Lбезнагрузочной¦ ходьбы на костылях, на мой взгляд,
Это умозрительные соображения. То же самое можно сказать и про 4 мес., или 2,5, или еще какой-то промежуток.
Все-таки перелом перелому рознь, и пациенты разные, и фиксаторы, и располагаются они в кости по-разному, и отломки тоже по-разному.
Если сделан остеосинтез в расчете на телескопирование фрагментов - вальгусная репозиция, фиксация параллельными винтами, DHS, гамма или подобными конструкциями, то вполне уместна ранняя нагрузка. Вплоть до неограниченной, если уж совсем человек дряхлый, и ему трудно пользоваться костылями.
> заживление кости (сращение), но и появились первые признаки
> ремоделирования костной структуры, характерной для данного участка.
Сращение перелома шейки не означает одновременного восстановления кровоснабжения головки бедра.
|
[
Ответить ]
|
|
Re: Перелом шейки бедра, 28 лет
Исмаил Дибиров 09 Апрель 2007, 00:06
|
Спасибо всем! Будем ломать голову и копья. Насчет "в церковь чаще" - разумно, рядом Троице-Сергиева Лавра. Кстати: на территории больницы строится церковь, будем обходиться с "божьей помощью" и вовсе без операций. Фиксировать будем с использованием того, что в наличии, это будет мало зависеть от меня. Вопрос: что менее разрушит шейку? 3 винта или штифт? А может, штифт с диафизарной накладкой и компрессирующий винт? Вытяжение символическое -груз 3 кг, на время обследования. Не надо смеяться на чужим горем - это дней 10-12 минимум. Долго не отвечал,дежурил "на пасху". Всю ночь поступала одна пьянь. Знаниями обидеть нельзя. Мы тоже за, но за прикладные знания. А фиксаторы у нас больные не приобретают. Помните недалекие прошедшие времена - у каждого советского человека есть "своя железная дорога"... Буду держать в курсе.
|
[
Ответить ]
|
Re: Перелом шейки бедра, 28 лет
Отправитель: Alexander Chelnokov 09 Апрель 2007, 00:42
|
ИД> того, что в наличии, это будет мало зависеть от меня. Вопрос: что
ИД> менее разрушит шейку? 3 винта или штифт?
Если даже не брать площадь сечения, винты ведь не молотком забивают, так что они куда менее травматичны.
Кстати - еще менее травматична фиксация шейки пучком спиц. Можно ввести штук 6-8 спиц потолще по оси шейки, концы загнуть над костью и зашить.
И недавно упоминавшиимися напряженнными спицами по методике проф. Лазарева из ЦИТО - ее и для шейки коллеги с успехом приеняли. Уж спицы-то не проблема нигде.
Если вести перелом как вертельный и рассчитывать на быстрое сращение, то можно наложить и аппарат - пучок спиц в шейку закрепить на опоре ("диафизарной накладке") - планке на 2 стержнях 5-6 мм.
ИД> А может, штифт с диафизарной накладкой и компрессирующий винт?
Винт в этом случае избыточен.
ИД> Вытяжение символическое -груз 3 кг, на время обследования. Не надо смеяться
ИД> на чужим горем - это дней 10-12 минимум.
Обследование 10-12 дней? А что за это время делается?
ИД> А фиксаторы у нас больные не приобретают. Помните недалекие
ИД> прошедшие времена - у каждого советского человека есть "своя
ИД> железная дорога"...
Коллеги, у кого какие есть варианты решения этой проблемы? Похоже, такая ситуация для многих учреждений актуальна.
ИД> Буду держать в курсе.
Успехов!
|
[
Ответить ]
|
Re: Перелом шейки бедра, 28 лет
Отправитель: Игорь Кучерявый 09 Апрель 2007, 12:23
|
> Коллеги, у кого какие есть варианты решения этой проблемы? Похоже,
> такая ситуация для многих учреждений актуальна.
У нас в отделении оперируются только те переломы, которые не встают на вытяжении. Оперируются фиксаторами, купленными больницей - деостовские, с рыбинского завода обычные пластины, штифты ЦИТО. Приобретение родственниками фиксаторов руководством больницы категорически не приветствуется. Мало операций, методики не новые - но проблемы с фиксаторами нет. У нас своя железная дорога, правда не скоростная :)))
С уважением,
Кучерявый Игорь,
г. Сергиев Посад
|
[
Ответить ]
|
Re: Перелом шейки бедра, 28 лет
Отправитель: Michael Berenstein 09 Апрель 2007, 08:47
|
Уважаемый Исмаил!
Я совершенно согласен с доктором Челноковым. В Вашей ситуации использование пучка спиц 8-12 введенных вразных направлениях конечно после репозиции перелома могут быть не оптимальным но всетаки лучшим решением проблемы решением проблемы
М.Беренштейн
|
[
Ответить ]
|
|
Re: Перелом шейки бедра, 28 лет
Игорь Кучерявый 09 Апрель 2007, 15:55
|
Уважаемый Микаэл!
Путь к выздоровлению у некоторых пациентов иногда очень замысловат...
Этот пациент с переломом шейки бедра завтра по собственной инициативе переводится для дальнейшего лечения в Склиф :))
Если доедет до вас, напишите пожалуйста о его дальшейшей судьбе!
--
С уважением,
Кучерявый Игорь,
г. Сергиев Посад
|
[
Ответить ]
|
Re: Перелом шейки бедра, 28 лет
Отправитель: Сувалян Микаэл 09 Апрель 2007, 22:27
|
Да? Забавно, действительно:)
Скорее всего больной поступил в I-ое травматологическое отделение, где сосредоточен основной контингент больных с подобными повреждениями.
О судьбе сообщу, если найду его там:)
(сам работаю во II-м отделении)
|
[
Ответить ]
|
|
Re: Перелом шейки бедра, 28 лет
Исмаил Дибиров 09 Апрель 2007, 23:07
|
Интернет-могучая сила! Пока готовил аргументированную речь для заведующего, об единственно верном в условиях нашей РБ методе в виде пучка из 6 2х мм-ровых спиц,проведенных в разных направлениях, больной утром заявляет о желании лечиться в славном НИИ им.Склифософского.О наших консультациях и сомнениях больной и не догадывался.Пришлось высказать "сожаление",что выбрали не нашу "клинику". Уважаемые коллеги! Завтра больной будет переведен,спицу оставлю.Кусачки если что, найдутся? Не сочтите за перебор,если сохраним интерес к судьбе пациента. Спасибо огромное.
|
[
Ответить ]
|
Re: Перелом шейки бедра, 28 лет
Отправитель: Сувалян Микаэл 09 Апрель 2007, 23:34
|
Хочется надеяться, что все закончится для пациента все самым замечательнейшим образом. Уже как "сын полка" все-таки:)
Забавно будет увидеть завтра на утренней конферецнии Р-мы этого больного:)
"интернет-могучая сила" нельзя не согласиться!
|
[
Ответить ]
|
Re: Перелом шейки бедра, 28 лет
Отправитель: Alexander Chelnokov 10 Апрель 2007, 00:07
|
ИД> Интернет-могучая сила!
Интернет - это среда, транспорт, а сила - это МЫ сами! ;-)
ИД> в виде пучка из 6 2х мм-ровых спиц,проведенных в разных
ИД> направлениях,
Спасибо, что напомнили - еще после письма Михаила Беренштейна с упоминанием спиц в разных направлениях хотел на этом моменте остановить внимание, но переключился на другое и забыл.
Почему в разных-то направлениях??? Эта концепция 20-летней давности (отраженная, например, в канд. дисс. В.М.Шигарева из Кургана, 1987), насколько я знаю, уже давно ушла в прошлое.
Ведь про спонгиозные винты все согласны, что их надо проводить в шейку параллельно, чтобы не было препятствий телескопированию фрагментов? Почему же прямые спицы надо проводить так, чтобы они мешали шейке по ним, как по направляющим, внедряться в головку? Напряженные V-спицы - немножко другое дело.
|
[
Ответить ]
|
|
Re: Перелом шейки бедра, 28 лет
Сувалян Микаэл 12 Апрель 2007, 17:12
|
Глубокоуважаемые коллеги, прошу прощения за дезинформацию: пациент поступил в другое подразделение нашего медучреждения, потому не смогу держать вас в курсе дела.
|
[
Ответить ]
|
Re: Перелом шейки бедра, 28 лет
Djoldas Kuldjanov 13 Апрель 2007, 19:49
|
Переломы шейки бедра у молодых относится к экстренным травмам, и лечение проводят ургентно, обычно в первые часы после поступления или утром следующего дня, тем более у молодых больных не требуется длительное обследование.
После закрытой репозиции фиксацию проводят:
-параллельными шурупами в форме “V” 6.5, 7.0 или 7.3 мм в зависимости от диаметра шейки
- каннюлированными легче и механически лучше из-за трубчатости шурупа
-желательно титановыми для оценки сращения в будущем с помощью МРТ
-два сверху для закрытия варуса, спереди и сзади шейки и один в нижнем
отделе шейки, в редких случаях 4 в положении diamond или ромб
- концы шурупов довести до эпихондральной зоны, в зависимости от перелома длина резьбы шурупов 16 или 32 мм
-расположение шурупов дальше от центра шейки и ближе к кортексу -под углом 130 градусов, введение под большим углом или ниже малого вертеля может осложниться субтрохантерными переломами из-за ослабления латерального кортекса, поэтому внизу рекомендуется только один шуруп - при явном остеопорозе применяются шайбы
Несмотря на любую методику фиксации, осложнения, ложные суставы шейки бедра, очень частые явления, особенно у пожилых больных, у них осложнения встречаются больше 40%.
При консервативном лечении вальгусных вколоченных переломов осложнения из-за вторичного смещения и ложные суставы достигают 39%.
В мультицентровой обработке материала 844 переломов шейки бедра (Bernes et al), осложнения вследствие применения DHS составили 57% и поэтому у многих отношение к этим имплантам скептическое.
Большинство осложнений связано с применением неадекватных фиксаторов, то есть не предназначенных для фиксации чистых переломов шейки бедра, например DHS, CHS, Blade Plate и разных других реконструктивных интрамедуллярных гвоздей, которые предназначены для лечения чрезвертельных переломов.
Среди 5 ортопедов с одинаковой техникой, за 4 года у нас прооперированы 82 случая, из них в 6% переломы шейки сопровождались переломом диафиза бедра. Применили стандартную технику, после репозиции фиксацию проводили канюлированными шурупами, прооперированы в основном в первые 3 дня, самому старшему больному 81, и самый молодой 21, в 30% использовали титановые шурупы, только у 3 открыли сустав, двое поступили с открытым переломом.
Среднее ожидание сращения составило 5.5 месяцев, осложнения 14% с ложным суставом, хотя все больные умеренную нагрузку начинали почти с самого начала после операции.
Критерием подозрения на отсутствие сращения считали 2 см отхода шурупа за кортекс и изменения угла положения шурупа на 10 градусов от послеоперационной ренгенограммы, также проводили КТ.
У 3 больных развился AVN, закончили лечение артропластикой (затем у одного был вывих протеза), у 4 вальгусная остеотомия, хотя у двоих был небольшой остеонекроз головки, и у всех после вальгусной остеотомии наступило сращение ложного сустава.
Насчет повреждения сосудов.
В последнем номере журнала JOT (Journal of Orthopedic Trauma) March 2007 “A Predictive Method for Subsequent Avascular Necrosis of the Femoral Head (AVNFH) by observation of Bleeding From the Cannulated Screw Used for Fixation of Intracapsular Femoral Neck Fractures”
Рвбота из Кореи, во время операции проводили наблюдение кровотечения из отверстия каннулированных шурупов и если кровотечение наблюдалось в течение 5 минут, то больной брался на учет о возможном AVN в будущем.
Несмотря на экстренность операции, наличие малоинвазивных имплантов и ренгенмониторинга во время операции, мы встретили около 14% осложнений. Считаем, что причины приведшие к осложнениям: это
результат скоростной травмы, оскольчатость задней поверхности шейки и пожилой возраст больных.
Djoldas Kuldjanov, MD
Department of Orthopedic Surgery
St. Louis University Medical Center
|
[
Ответить ]
|
Re: Перелом шейки бедра, 28 лет
Отправитель: Никита Заднепровский 14 Апрель 2007, 11:38
|
DKMD> -параллельными шурупами в форме “V” 6.5, 7.0 или 7.3 мм в
Можно поподробнее про "V"-образные шурупы? Есть ли картинки?
DKMD> Критерием подозрения на отсутствие сращения считали 2 см отхода шурупа
DKMD> за кортекс
Не совсем понятно. Что подразумевается "2 см отхода шурупа за кортекс"? Пожалуйста, поясните. А еще лучше - покажите :)) Pls.
Спасибо за мини-лекцию ...
--
С уважением, Заднепровский Никита Николаевич
|
[
Ответить ]
|
Re: Перелом шейки бедра, 28 лет
Отправитель: Alexander Chelnokov 14 Апрель 2007, 11:42
|
> Можно поподробнее про "V"-образные шурупы? Есть ли картинки?
Если линией соединить точки введения винтов на скате вертела (один ниже и два повыше), получится V.
> Не совсем понятно. Что подразумевается "2 см отхода шурупа за
> кортекс"? Пожалуйста, поясните. А еще лучше - покажите :)) Pls.
Телескопирование, когда шейка укорачивается, соответственно, винты вылезают из кости.
|
[
Ответить ]
|
|
Re: Перелом шейки бедра, 28 лет
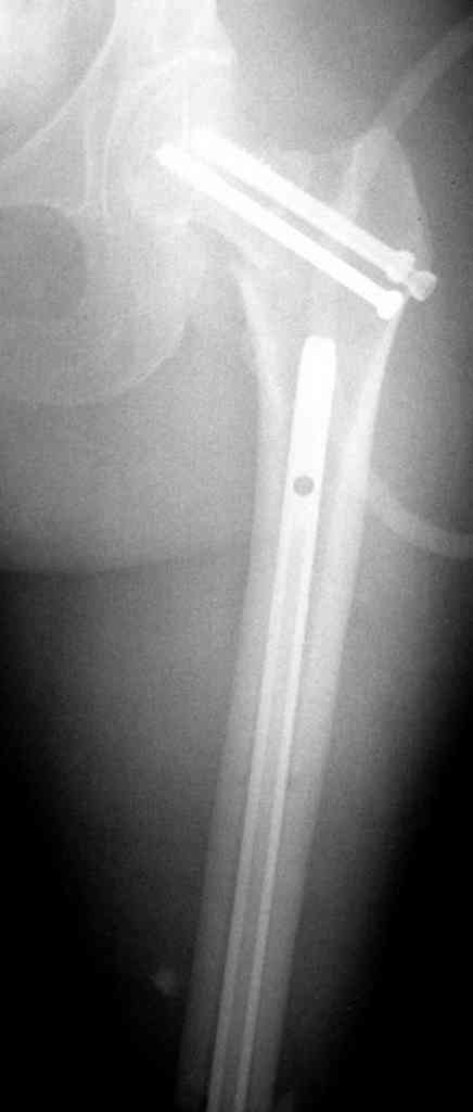
Djoldas Kuldjanov 14 Апрель 2007, 11:56
|

На снимках ложный сустав шейки бедра, несостоятельность фиксации. По положению шурупа можно предсказать ложный сустав, например, если screw backup за кортикальный слой около 15-20 мм, и также изменение угла от первоначального.
№2-3 типичная ошибка несоблюдения концепции параллельности шурупов, нарушение-фиксация поперечным допольнительным шурупом для приближения отломка в результате не сработало метод параллельных шурупов
№4 результат на КТ
|
[
Ответить ]
|
( Ответить )
|
|